presentado por Michael
Palomino (2009 / 2025)
11. Los dos amigos y el carnicero

Fueron dos tontos chicos a una carnicería y uno robo
trozos de carne y los puso en el bolso del otro...
|

... y juraban los dos por los dioses que no tenían
la carne...
|

Así el carnicero echó una maldición que sean
castigados por el enojo de los dioses.
|
<A la carnicería del mercado fueron dos amigos para hacer
sus compras. Mientras el carnicero atendía a una cliente, uno
de los muchachos, en son de broma, tomó unos trozos de carne y
los puso en el bolso del otro.
Cuando el dueño se dio cuenta, gritó:
- ¡Mozos pícaros!
¡Devuelvan la carne robada!
El amigo inocente protestó:
- ¡Señor, yo no he sido; lo
juro por los dioses!
El bromista, que no tenía la carne, dijo:
- ¡Yo también juro que no
lo tengo! Puedes buscar mi bolso, si prefieres.
El carnicero, no sabiendo qué hacer, exclamó:
- ¡Está bien! Pueden
engañarme con falsos juramentos, pero no podrán librarse del
enojo de los dioses.> (p.6)
11. Los dos amigos y el carnicero (español simple)
<Dos amigos vinieron a a carnicería para hacer compras.
Cuando el carnicero sirvió a un cliente, uno de los chicos
hizo un chiste malo robando unos pedazos de carne poniéndolos
en la bolsa del otro.
Cuando el dueño se dí cuenta, gritó:
"¡Hombres pillos jóvenes! ¡Que me devuelvan la carne robada!
El amigo inocente protestó:
"Señor, yo no fui; ¡lo juro con por los dioses!
El choro que no tenía ninguna carne, dijo:
"Juro, no lo tengo tampoco! Puede buscar mi bolsa si quiere."
El carnicero no sabía qué hacer y llamó:
"¡Bueno! Ustedes me pueden engañar con juramentos falsos, pero
no se vayan a liberar de la ira de los dioses.> (p.6)
Interpretación
El Gran Espiritú ve
todo cuando hay mentiras.
(Michael Palomino 2009)
-----
12. El criado negro

Fue un niño negro...
|

... y los blancos querían lavarlo hasta sea blanco
el niño negro...
|

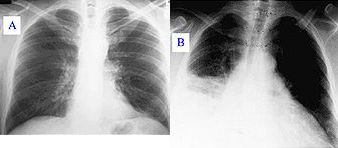
... hasta el niño negro recibió una pulmonía fuerte.
|
<Cierto sujeto tomó por criado a un negro y, como era la
primera vez que veía un hombre de color, creyó que aquel color
oscuro se debía a su falta de limpieza.
- Metedle en una cuba de
agua -
dijo el amo a los otros criados -,
lavadle, restregadle cuanto
podáis hasta que quede blanco como nosotros.
Los domésticos, poniéndose a la obra, enjabonaron y frotaron
una y mil veces al negro. Pero al criado seguía tan negro como
antes.
Tan exagerado aseo provocó al infeliz una pulmonía fulminante,
que casi se lo lleva al otro mundo.> (p.6)
12. El sirviente negro (español simple)
<Un cierto hombre se organizó un negro como sirviente, y
como fue la primera vez viendo una persona de color creyendo
que el color oscuro sería por la falta de limpieza.
El maestro ordenó a otro sirviente: "Ponlo en una tina con
agua, lávalo, frótelo tanto que puedas hasta que sea un blanco
como nosotros."
El sirviente cumplió su trabajo con jabón y frotándolo el
negro 1000 veces pero el sirviente se quedó negro como antes.
Esta limpieza exagerada tenía la consecuencia que la víctima
salió con una pulmonía fulminante que casi le trasladó al otro
mundo.> (p.6)
Interpretación
Antes de tratar una enfermedad se necesita un buen
diagnóstico, si no la persona enferma puede morir del
tratamiento falso.
(Michael Palomino 2009)
12. El sirviente negro (español más simple)
Un jefe de casa se organizó un sirviente negro y lo quería
lavar para ser un blanco. Otro sirviente lavó ese negro 1000
veces pero se quedó negro. Ahora, el sirviente negro salió
enfermo con una pulmonía y casi murió, pero sobrevivió. Solo
entonces han realizado que no se puede lavar un negro para ser
un blanco.
Interpretación
Antes de un tratamiento infórmate bien con la medicina natural
lo que es posible y lo que no. Puede ser letal cuando no te
informas bien.
(Michael Palomino 2025)
-----
13. Las ranas pidiendo rey

Un grupo de ranas pensaron que sea bien...
|

... a pedir al dios Júpiter que él vaya a mandar un
rey para las ranas para educarlas.
|

Júpiter daba una viga, pero las ranas protestaban
que una viga en el agua no sea bastante para un
rey...
|
xxxxxxxxxxxxxxxxxxxxxxxxxxxxxxxxxxxxxxxxxxxxxxxxxxxxxxxx
|
Pues
Júpiter mandó una cigüeña que comió una
a la otra rana, y las ranas protestaban
de nuevo, pero Júpiter dijo que la
cigüeña siempre vaya a gobernar sobre
ellas... |
|
En homenaje a los atenienses
<Vivían las ranas libremente en sus lagunas, cuando se les
antojó pedir a Júpiter, con grandes voces, que les envíase un
rey para que refrenase con todo vigor sus licenciosas
costumbres. Sonrióse el padre de los dioses al oír tal
pretensión, y les echó una gran viga. Oyendo las ranas el
estruendo que causó el madero al caer en las aguas, huyeron
espantadas; pero para conocer al nuevo rey, sacó una de ellas
la cabeza poco a poco, y viendo que era una viga, llamó a las
demás, que se acercaron nadando y sin miedo, se subieron
encima y la ensuciaron pidiendo a voz en grito otro rey,
porque aquel era inhábil.
Júpiter les envió entonces una cigüeña, que comenzó a
comérselas una tras otra. Quejáronse amargamente a Júpiter las
angustiadas ranas, suplicándole las librase de aquel tirano;
pero el dios les contestó:
- Sufrid las consecuencias
de vuestra importuna súplica, y ya que con tanto afán
pedisteis rey, ése reinará siempre sobre vosotras.>
(p.6)
13. Las ranas pidiendo rey (español simple)
<Había ranas en sus lagunas. Tenían la idea de pedir al
dios Júpiter de mandarles un rey especial para educarlas. El
padre de los dioses sonreía de esta idea y lanzó una viga.
Cuando las ranas escucharon el estruendo de la madera cayendo
al agua tomaron la fuga por susto. Pero una rana quería ver el
nuevo rey. Considerando que solo fue una viga, entonces usaron
la viga como isla nueva sentándose encima ensuciándolo y
gritando para otro rey.
Ahora el dios Júpiter les mandó una cigüeña que comió una y
otra rana. Las ranas ahora se quejaron mucho pidiendo de
liberarlas de esta tiranía; pero el dios le contestó:
"Vayan a sufrir las consecuencias de su importuna súplica, y
como pidieron mucho de un rey especial, él siempre vaya a
gobernar sobre vosotras.> (p.6)
Interpretación
Con la viga Júpiter mando una isla, lo mejor que puede ser.
Pero las tontas ranas no vieron eso. Pues el Júpiter colérico
- en su decepción y ravia - mando un asasino. Falta pues un
crecimiento mental y un equilibrio mental para todos.
(Michael Palomino 2009)
-----
14. La liebre y la tortuga

La tortuga terrestre venció una corrida contra la
liebre porque... |

... la liebre fue un dormilón. |
<Viendo una tortuga que una liebre se burlaba de sus pies,
le invitó a correr juntas para ver cuál de las dos llegaría
antes al término señalado. Eligieron por juez a la raposa, por
ser astuta; pero sucedió que fiando en su ligereza la liebre,
quiso descansar un momento en el camino y se durmió, mientras
que la tortuga llegó mucho antes al sitio indicado, sin
correr, pero sin perder la perseverancia, con lo que ganó la
apuesta.> (p.7)
14. La liebre y la tortuga (español simple)
<La liebre vio una tortuga, hizo chistes malos, le invitó
de correr con ella para ver quién es más rápido. Eligieron
como juez una zorra porque fue hábil; pero la liebre corriendo
mucho salió cansada y durmió en la calle un rato. Entonces la
tortuga llegó al final más temprano sin correr, pero con
resistencia. Y entonces la tortuga ganó la apuesta.> (p.7)
Interpretación
Dormilones que no
duermen bastante siempre van perder.
(Michael Palomino 2009)
-----
15. El cuervo y la raposa

Un cuervo tenía un queso como presa...
xxxxxxxxxxxxxxxxxxxxxxxxxxxxxxxxxxxxxxxxxxxxxxxxxxxxxxx
|

... y la raposa daba tan muchos elogios al cuervo de
manera que el cuervo hablaba y perdió la presa - y
la zorra ganó el queso.
|
<Habiendo robado un queso cierto cuervo, se lo llevó a la
copa de un árbol. Lo vio una raposa, y con intención de
quitárselo, comenzó a adularlo de esta manera:
"Ciertamente, hermosa ave,
no existe entre todos los pájaros quien tenga la brillantez
de tus plumas, tu gallardía y belleza. Si tu voz es también
tan hermosa como hermoso es tu cuerpo, no hay quien te
iguale entre las aves."
Envanecióse el cuervo con este elogio, y queriendo demostrar a
la raposa la armonía de su voz, comenzó a graznar, cayéndosele
el queso del pico, que era lo que deseaba la raposa, porque se
lo robó y le dejó burlado. (p.7)
15. El cuervo y la raposa (español simple)
<Un cierto cuervo ha robado un queso y está en la copa de
un árbol. Una raposa ha visto todo y quería robarle su queso.
Entonces ella dijo lo siguiente para manipularlo:
"Hola, bello pájaro, no hay uno con plumas más brillantes, que
es más valiente y bello. Cuando tu voz sea tan bella como tu
cuerpo entonces no hay otro pájaro que sea como tú."
Al cuervo le gustaron esos elogios y mostrando su voz a la
raposa inició su bulla de rana, el queso cayó, la raposa robó
el queso y le dejó con burlas.> (p.7)
Interpretación
Hombres van a perder cuando se dejan seducir por mujeres; la
seducción es un juego planificado.
(Michael Palomino 2009)
Fuente
Fabulas. De Esopo. Editorial Toribio Anzarin Injante; Jr. Puno
406-203; Lima, Perú; tel. 0051-(0)1-428-1660
Fuentes de fotos
-- carnicería:
http://www.am-sur.com/am-S/peru/Lima/Surquillo-2007-D.html
-- juramento:
http://aluchecantabro.wordpress.com/2009/02/11/el-juramento/
-- enojo de los dioses:
http://www.flickr.com/photos/12828914@N00/2347471947/
-- niño negro:
http://www.healthdev.org/viewmsg.aspx?msgid=%7BFB744BA0-86B0-433A-985F-2CC3055ED700%7D
-- lavar:
http://www.bgw-online.de/internet/generator/Inhalt/OnlineInhalt/Medientypen/Presseinformation/Aktuelle
__Pressemeldungen/PI__1__2009__Haende__waschen.html
-- neumonía / pulmonía, radiográfica:
http://en.wikipedia.org/wiki/Pneumonia
-- ranas:
http://view.stern.de/de/picture/Wasser-Blatt-Teich-Frosch-sonnenbad-Froesche-Teichlandschaft-783907.html
-- dios Júpiter:
http://thegrumpyowl.wordpress.com/2009/05/01/bury-me-naked-in-the-roman-coffin/
-- viga en el agua:
http://www.mediaculture-online.de/Punkt-und-Linie.511.0.html
-- cigüeña:
http://view.stern.de/de/picture/Storch-Stoerche-Storch-09-(DSC_033977-01)-Braun-Animal-1399231.html
-- tortuga terrestre:
http://www.flickr.com/photos/ricardocaba/385747987/
-- liebre durmiendo: http://www.tsv-leise-pfoten.de/patenges.htm
-- cuervo con presa:
http://www.schachclub-badsoden.de/sc_10_archiv_meldungen_2005_Januar.html
-- raposa, zorra:
http://senhoradolago.blogs.sapo.pt/arquivo/2004_02.html
^