Kontakt     zur Hauptseite     zurück
<<        >>

Formación de la capacidad exprimir la identidad

3. John Wayne Schlatter: El amor es más fuerte

Un amor perfecto vive también con cáncer


y cuando tenían 17 se daben el
                            primer beso (aqui dos peces dandose un
                            beso)  y después de todo fue un médico con un
                            diagnóstico que el papá tiene cáncer  pero el padre todavía vivió 17 años más
                            hasta tenía 86 años (aquí un hombre con 86
                            años)


presentado por Michael Palomino (2010)

Compartir:

Facebook







de: Chocolate caliente para el Alma; Historias inspiradoras de crecimiento personal. Edición Atlantida; Buenos Aires, México, Santiago de Chile; http://guerrerocultural60.blogspot.com/2008/04/un-nio-de-helen-e-buckley.html

Ver la historia: El amor es más fuerte

x

Fueron dos niños
                          siempre juntos como alumnos ya
Fueron dos niños siempre juntos como alumnos ya

y cuando tenían 17
                          se daben el primer beso (aquí dos peces
                          dándose un beso)
y cuando tenían 17 se daben el primer beso (aquí dos peces dándose un beso)

y después han
                          hecho familia
y después han hecho familia

y después de todo
                          fue un médico con un diagnóstico que el papá
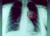
                          tiene cáncer (aquí un cáncer de pulmón)
y después de todo fue un médico con un diagnóstico que el papá tiene cáncer (aquí un cáncer de pulmón)

pero el padre
                          todavía vivió 17 años más hasta tenía 86 años
                          (aquí un hombre con 86 años)
pero el padre todavía vivió 17 años más hasta tenía 86 años (aquí un hombre con 86 años)

x

Tener un objetivo basado en el amor es el seguro de vida más grande del mundo.

Si ustedes le hubieran preguntado a mi padre por qué se levantaba por las mañanas, habrían descubierto que su respuesta era de una simplicidad asombrosa:

-- Para hacer feliz a mi esposa.

Mamá y papá se conocieron cuando tenían nueve años. Todos los días, antes de ir a la escuela, se encontraban en un banco de plaza con las tareas que habían hecho en su casa. Mamá corregía el inglés de papá, y él hacía lo mismo con la aritmética de ella.

Cuando se graduaron, sus maestros dijeron que los dos eran el mejor "estudiante" de la escuela. ¡Adviertan el singular!

Se tomaron su tiempo para construir la relación, aun cuando papá siempre supo que ella era la mujer para él. El primer beso ocurrió cuando los dos tenían diecisiete años, y su romance siguió en continuo crecimiento hasta los ochenta.

Todo el poder generado por su relación salió a la luz sólo en 1964. El médico le dijo a papá que tenía cáncer y calculó que, como máximo, le quedaban de seis meses a un año de vida.

-- Lamento disentir con usted, doctor -- dijo mi padre --. Pero yo le diré cuánto tiempo tengo. Un día más que mi esposa. La amo demasiado para dejar este mundo sin ella.

Y así fue, para sorpresa de todos aquellos que en realidad no conocían a esta pareja unida por el amor: mamá falleció a la edad de ochenta y cinco años y papá la siguió un año después, a los ochenta y seis. Cerca del final, nos dijo a mis hermanos y a mí que esos diecisiete años fueron los mejores seis meses que pasó jamás.

Para los excelentes médicos y enfermeros del Centro Médico para Veteranos en Long Beach, él era un milagro ambulante. Lo controlaban con afecto y no podían entender cómo un cuerpo tan minado por el cáncer podía seguir funcionando tan bien.

La explicación de papá fue sencilla. Les contó que él había sido médico en la Primera Guerra Mundial y que había visto brazos y piernas amputados y notó una cosa: que ninguno de ellos podía pensar. De modo que decidió decirle a su cuerpo cómo debía comportarse. En un oportunidad sintió un dolor punzante al levantarse. Entonces bajó la mirada hasta su pecho y gritó: "¡Cállate! Vamos a tener una fiesta aquí".

Dos días antes de dejarnos, nos dijo:

-- Muchachos, muy pronto estaré con su madre y algún día, en algún lugar, estaremos otra vez todos juntos. Pero tómense su tiempo para unirse a nosotros; su madre y yo tenemos muchas cosas que hacer para ponernos al día.

Suele decirse que el amor es más fuerte que las paredes de una prisión. Papá demostró que era un entramado más fuerte que las minúsculas células del cáncer.

Bob, George y yo estamos todavía aquí, armados con el regalo final de papá.


Interpretación

Dice la edición que la moral sería:

"Un objetivo, un amor y un sueño te dan el control total de tu cuerpo y tu vida."

Pero no es tan simple:

17 años han vivido en lugar de 6 meses que el doctor les había dado después de su diagnosis de cáncer, con amor y con voluntad. El padre con su cáncer vivió más que la madre.

El cáncer también es un símbolo para otro impedimento en la vida. Así se puede superar dificultades de la vida con la voluntad, con una escuela de voluntad.

Pero hay un peligro cuando la voluntad es demasiado fuerte. Así puede ser que se destruye. Y el hombre de la historia no fue curado del cáncer, solo vivió 17 años con cáncer. Así es posible que hubiera sido otra solución para curar el cáncer, y el hombre no hubiera vivido 17 años más, pero 30 años más. Considerando eso la historia no es tan perfecta porque la historia dice que no se puede curar el cáncer - pero se puede curar, con un cambio de vida con menos estrés, con un cambio de alimentación según los grupos sanguíneos y con hierbas de naturistas buenas.

Michael Palomino (2010)

<<         >>

Compartir:

Facebook







Fuentes de dibujos y de fotos

-- niños: http://www.verkehrssicher.nrw.de/aktuelles/archiv/Schulstart.php
-- beso: http://diepresse.com/home/panorama/oesterreich/431443/index.do?parentid=347440&showMask=1
-- familia: http://www.wdr.de/themen/panorama/gesellschaft/familie/politik/index.jhtml?pbild=2
-- foto radiográfica de cáncer de pulmón: http://www.krebsgesellschaft.de/pat_ka_lungenkrebs_diagnose.html?markierung=bronchial
-- 86 años de edad: http://www.kursana.de/kursana/publikationen/berichte-reportagen/archiv/cat/10/jahr/2007/artikel/2429/hermann-heuschkel-laedt-zum-unterricht/


^