Das Stillen an der Mutterbrust ist die beste
Voraussetzung für eine gesunde
Gesichtsentwicklung, weil das Kind kräftig
saugen muss und das Kieferwachstum dadurch
ein grosser Wachstumsreiz gegeben ist. Dann
haben später auch alle Zähne Platz.
|
x
|
Ein sogenannter Engstand der Zähne entsteht
dann, wenn die Babys nur mit der Flasche
ernährt wurden und der Saugvorgang so
einfach war, dass er kein grosses
Kieferwachstum provozierte. Dann haben die
Zähne später keinen Platz und das Gebiss
sieht aus wie ein Birchermüesli.
|
von Michael Palomino (2009)
Das Gebiss generell
Zuerst hat das Kind die "Milchzähne", die ab ca. 6
Jahren schrittweise ausfallen, und ab diesem Zeitpunkt
brechen schrittweise die bleibenden Zähne
("Erwachsenenzähne") durch.
Zähne bestehen aus Calcium, und wer viel Calcium zu
sich nimmt, hat automatisch bessere Zähne.
<Ein 60kg schwerer menschlicher Körper beinhaltet
ca. 1,1 kg Kalzium, davon 99% in den Knochen und
Zähnen. Das restliche 1% wird für andere vitale
Funktionen wie Leitung der Nervenimpulse,
Muskelkontraktion usw. gebraucht. Wird dieses vitale
1% nicht täglich mit der Nahrung zugeführt, wird das
Kalzium aus den Knochen entzogen> [18] und auch aus
den Zähnen entzogen, z.B. bei Schwangeren oder bei
stillenden Frauen [17].
Im Normalfall sollten ca. 800 mg Kalcium täglich
aufgenommen werden. Nahrungsmittel, die besonders
reich an Calcium sind (in einer leicht resorbierbaren
Form):
-- Milch
-- Milchprodukte, vor allem Hartkäse [18].
Vorbeugung gegen Verletzungen und Entzündungen im
Mundraum und am Zahnfleisch erfolgt durch Kamillentee
bzw. als Kamille-Mundspühlung [18].
Milchzähne - das
Milchzahngebiss
Das Kleinkind bekommt seine Milchzähne (lat.: dentes
decidui, dentes lactales [12]). Ein Zahndurchbruch
wird "Dentition" genannt [12].
Einzelne Milchzähne können erblich bedingt schon bei
der Geburt vorhanden sein und heissen dann "Dens
natalis" [12]. In diesen Fällen hat die Dentition
schon vor der Geburt eingesetzt [12].
Die Wölbung vor dem Durchbruch heisst
"Dentitionszyste" (Ausbuchtung des "Zahnsäckchens")
[12].
Aus kieferorthopädischer Sicht ist es von grösstem
Interesse, dass die Milchzähne alle erhalten bleiben
[6].
|
Ein farbiges Modell eines des
Milchzahngebisses mit Schneidezähnen,
Eckzähnen und Backenzähnen |
x
|
Das Milchzahngebiss (Kindergebiss) in einem
farbigen Schema mit den Monatsangaben, wann
die Zähne etwa durchbrechen: zentrale
Schneidezähne mit 6-8 Monaten, die zweiten
Schneidezähne mit 8-12 Monaten, die ersten
Backenzähne mit 12-16 Monaten, die Eckzähne
mit 16-20 Monaten, und die zweiten
Backenzähne mit 20-24 Monaten. [16]. In
jedem Kiefer sind 10 Milchzähne. Das
komplette Milchzahngebiss umfasst 20
Milchzähne [6].
|
Fieber kann Zahndurchbrüche provozieren, weil beim
Fieber ein erhöhter Stoffwechsel vorhanden ist [28].
Der Zahnwechsel
("Dentition") [28]
 |
Der
Zahnwechsel:
Über bzw.
unter den Milchzähnen warten die
Erwachsenenzähne, bzw. die
Erwachsenenzähne vertreiben in der
Kindheit und Jugend die Milchzähne [16].
|
Das Gebiss mit Milchzähnen und bleibenden Zähnen
gleichzeitig wird als "Wechselbiss" bezeichnet. Es
gilt dabei verschiedene Faktoren zu beachten:
a) der Zahnschmelz ist noch nicht fertig gereift
b) je mehr Zahnflächen vorhanden sind, desto mehr
Keime sind vorhanden
c) die Zähne haben einen geringeren Abrieb beim Kauen,
wenn die Zähne ihre Schlussstellung noch nicht
erreicht haben, und entsprechend können sich mehr
Beläge bilden [26].
Milchzähne können länger bleiben als normal. Man
spricht dann von einer Milchzahnpersistenz. Das kommt
vor z.B. wenn Erwachsenenzähne fehlen oder sich
verlagert haben [20].
Die bleibenden Zähne
- das Dauergebiss ("Erwachsenengebiss")
Das "Dauergebiss" (lat. dentes permanentes [12], das
"permanente Gebiss" [21]) hat dann mehr Zähne
(16+16=32), im Gegensatz zum Milchgebiss [12].
Die 20 Milchzähne werden durch 32 starke Zähne
abgelöst [6]. Die 12 zusätzlichen Zähne nennt man auch
"Zuwachszähne" [28]. Es kann auch zu
Zahnverschmelzungen kommen, so dass eine Unterzahl der
Zähne entsteht [28]. In gewissen Kulturkreisen werden
die Frontzähne beschliffen [28]. Manche Zähne haben
genetisch bedingt eine reduzierte Zahnkrone und sehen
dann wie Zahnstümpfe aus und werden "Zapfenzähne"
genannt [39].
![Gebiss
("Dauergebiss" von erwachsenen
Personen), der Oberkiefer, Schema [12] Gebiss ("Dauergebiss" von
erwachsenen Personen), der Oberkiefer,
Schema [12]](d/merkblatt-zahnfehlstellungen-d/gebiss-oberkiefer-schema.jpg)
Gebiss ("Dauergebiss" von erwachsenen
Personen), der Oberkiefer, Schema [12]
|
Ein
farbiges Modell eines Dauergebisses einer
erwachsenen Person mit Schneidezähnen,
Eckzähnen und Backenzähnen und
Weisheitszähnen
|
|
Das
Erwachsenengebiss in einem farbigen Schema
mit den Jahresangaben, wann die Zähne etwa
durchbrechen: die ersten Mahlzähne
(Molaren) mit 5-6 Jahren, die zentralen
Schneidezähne mit 6-8 Jahren, die zweiten
Schneidezähne mit 7-9 Jahren, die ersten
Backenzähne (Prämolaren) mit 9-11 Jahren,
die zweiten Backenzähne (Prämolaren) mit
10-12 Jahren, die Eckzähne mit 11-13
Jahren, die zweiten Mahlzähne (Molaren)
mit 12-17 Jahren, die dritten Mahlzähne
(Molaren, Weisheitszähne) mit 18-30 Jahren
[16].
Der erste
Molar der bleibenden Zähne bricht
normalerweise mit 6 Jahren durch und wird
entsprechend als "Sechsjahrmolar" oder
einfach als "der Sechser" bezeichnet
[22].
Die Weisheitszähne werden auch als
Serotinus, plural: Serotini, bezeichnet,
lat. Dentes serotini [22].
Zapfenzähne sind Zähne, die genetisch
bedingt eine reduzierte Zahnkrone haben,
also stumpfartig aussehen,
wie hier auf dem Foto die zweiten
Schneidezähne.
|
Weitere Bezeichnungen
für die Zähne ("Zahnarztsprache")
-- Schneidezähne (lat.: dens incisivus, pl. dentes
incisivi) [12]
-- Eckzähne [12], Hundszahn [6], (lat.: dens caninus)
[12]
-- Backenzähne (Prämolar, lat.: dens bicustildatus,
dens praemolaris) [12]
-- Mahlzähne (der Molar, pl. die Molaren, lat. dens
molaris, pl. dentes molares), die grössten Zähne des
Gebisses mitmehrhöckriger Kaufläche [12]
-- Weisheitszähne (lat.: dens sapientiae, dens
serotinus) [12].
![Gebiss ("Dauergebiss" von
erwachsenen Personen), Unterkiefer, Schema
[12] Gebiss
("Dauergebiss" von erwachsenen
Personen), Unterkiefer, Schema [12]](d/merkblatt-zahnfehlstellungen-d/gebiss-unterkiefer-schema.jpg)
|
Gebiss
("Dauergebiss" von erwachsenen Personen),
Unterkiefer, Schema [12]
Schneidezähne - Eckzähne - Backenzähne -
Mahlzähne - Weisheitszähne
|
Die Zahnstellung
Die Zahnstellung bei einem gesund entwickelten Gebiss
ist folgendermassen mit einem "Scherenbiss":

Schneidezähne im "Scherenbiss", Schema
Die Kieferentwicklung beim Kleinkind
Die Entwicklung von
grossen Kiefern an der Mutterbrust - zu enge Kiefer
durch Flaschennahrung - die fehlende
Kieferentwicklung durch die Milchflasche mit dem
leichten Sauger
Das Neugebohrene hat in der Regel einen sehr kurzen
Unterkiefer. Dies wird durch Trinken an der
Mutterbrust ausgeglichen, denn das kräftige Saugen ist
ein Wachstumsreiz und Oberkiefer wie Unterkiefer
werden gut ausgeformt und die Erwachsenenzähne werden
später alle gut Platz haben.
Wenn das Kind aber Flaschennahrung mit einem kleinen,
spitzen Sauger bekommt, dann muss das Baby nicht
kräftig saugen, und so findet keine optimale
Mundformung statt und die Kiefer bleiben zu klein. So
entsteht bei Kindern mit Milchflasche oft ein
fliehendes Kind und ein schmaler Oberkiefer, der
Mundraum ist viel zu klein geworden und die Zunge legt
sich zwischen die vorderen Zähne bzw. wandert nach
vorne. Das Gesicht bleibt schmal, und auch die Nase
mit den oberen Atemwegen bleibt schmal, oft in
Verbindung mit geschlossenen Atemwegen und Mundatmung.
Im Kleinkindalter kann eine Mundvorhofplatte das
weitere Kieferwachstum korrigieren, im Schulalter eine
Kieferspange, der Bionator. [2]
Stillen,
Flaschennahrung und verschiedene
Kieferentwicklung
|
|
Das
Stillen an der Mutterbrust ist die beste
Voraussetzung für eine gesunde
Gesichtsentwicklung, weil das Kind kräftig
saugen muss und ein grosser Wachstumsreiz
für das Kieferwachstum und die
Kieferentwicklung gegeben ist. [2]
|
x
|
Wird das
Baby mit der Milchflasche grossgezogen,
muss das Baby nicht nur zweitklassige
Flaschennahrung akzeptieren, sondern das
Saugen geht so leicht, dass kein
Wachstumsreiz für das Kieferwachstum und
die Kieferentwicklung und somit für die
Gesichtsentwicklung besteht. Die Kiefer
und das Gesicht werden viel zu schmal. [2]
|
|
Die
Mundvorhofplatte wird im frühen
Kindesalter zum Abgewöhnen des
Daumenlutschens und zur Korrektur zu enger
Kieferentwicklungen und Zahnstellungen
eingesetzt. Wird das Baby an der Brust
gestillt, sind keine engen
Kieferentwicklungen zu erwarten [3].
|
|
Die
Kieferspange "Bionator" kann bei zu
kleinem Kiefer im Schulalter angewandt
werden [2].
|

In Afrika
haben viele Menschen keine Probleme mit
Zahnstellungen, weil sie einen breiten
Kiefer haben, der daher kommt, weil die
Kinder alle an der Mutterbrust gestillt
werden [8]. Und da in Afrika die Eier mit
der Schale gegessen werden, ist auch für
genügend Kalk für die Zähne gesorgt...
[17]
|
Wenn man nun
berücksichtigt, dass in der westlichen "zivilisierten
Welt" das Stillen als erotische oder missliebige,
lästige Handlung gilt und entsprechend zensiert bzw.
in der Öffentlichkeit z.T. verboten ist, und dass die
Kinder entsprechend weniger oder gar nicht mehr
gestillt werden, so wird klar, dass die Kiefer immer
zu klein sind und dass Fehlstellungen der Zähne immer
mehr zunehmen und die Weisheitszähne entsprechend fast
immer herausoperiert werden müssen. Bevölkerungen, die
viel stillen, haben diese "Weisheitsprobleme" nicht so
sehr... [8].
Zahnfehlstellungen ("traumatische
Okklusionen")
Die
Zahnfehlstellungen und die Folgen: Karies,
Infektionsherde, Behinderung der Essenseinnahme,
Sprachstörungen
Fehlstellungen von Zähnen sind die vom Ideal
abweichenden Positionen der Zähne im Zahnbogen, also
gedrehte Zähne, gekippte Zähne, oder ein Falschstand
als Ganzes [7].
Fehlstellungen der Zähne können Karies provozieren
oder Infektionsherde bilden, weil die Zähne mit der
Zahnbürste dann z.T. nicht mehr zugänglich sind [8].
Schiefe Zähne können auch die Essenseinnahme
behindern, und können zu Sprachstörungen führen [29].
Ein paar Fehlstellungen sind wichtig zu wissen, um
sich selber eine Diagnose geben zu können und um zu
wissen, wann man beim Zahnarzt die Zahnstellung
korrigieren sollte, denn Fehlstellungen müssen absolut
nicht sein [1].
Jede Fehlstellung läuft unter der Bezeichnung
"traumatische Okklusion", übersetzt heisst das
"Bissstörung" [24], wörtlich übersetzt heisst das etwa
"unregelmässiger Schliessvorgang" der oberen und
unteren Zahnreihe [8].
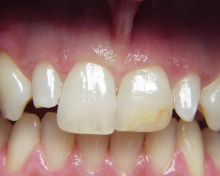
Milchzahntrauma
(mehrfacher Zahnausfall bei Unfall) und nachfolgende
Zahnfehlstellungen
Nach Unfällen (meist Stürzen im privaten Umfeld) mit
Teilzahnverlusten oder kompletten Zahnverlusten
(meistens sind die Schneidezähne betroffen) sind
traumatisch bedingte Fehlbildungen an den bleibenden
Zähnen nicht unwahrscheinlich. Es kommt zu Spätfolgen
im bleibenden Gebiss, wenn keine Massnahmen
eingeleitet werden: wulstige Zahnfleischränder,
Schmelzverfärbungen und verlagerte Durchbrüche von
bleibenden Zähnen [23].
Zahnverluste sind durch Gewalteinwirkung
hervorgerufene Veränderungen des Zahnhalteapparates,
bzw. "traumatogene Paradontopathien" [24].
Es können Sichelzähne (sichelförmige Zähne) entstehen
(Sichelzahn, Dens falciformis), das heisst, die oberen
Schneidezähne wachsen mit einer in der Zahnhalsgegend
abgeknickten Wurzel, verursacht durch eine
Keimstauchung bei einem Milchzahntrauma [22].

Auf diesem Foto sind die beiden vorderen
Schneidezähne Sichelzähne, "gekippte", "abgeknickte"
Zähne
Zahnfehlstellung
"offener Biss" durch Sauger oder durch langes
Daumenlutschen ("bad habits")
Eine erste Zahnfehlstellung kann sich schon im
Kindesalter durch falsche Angewohnheiten ergeben
(Engl. "bad habits"). Diese falschen Angewohnheiten
sind Daumenlutschen, Lippensaugen bzw. Lippenbeissen
[4] oder dauerndes Nuggeln an der Trinkflasche oder am
Schnuller (alemannisch: Nuggi) [5]. Die vorderen
Schneidezähne werden dann jeweils nach oben gehoben,
der Kiefer wächst falsch, und das Gebiss weist dann
vorne ein grosses "Loch" auf [8].
![Zahnfehlstellung
(Darstellung) durch zu viel Saugen an
Saugern (Flaschensauger), Schnullern und
Nuggis (Beruhigungssauger) und durch zu
viel Daumenlutschen [5]: Die vorderen
Schneidezähne werden nach oben gehoben
[8]. Zahnfehlstellung
(Darstellung) durch zu viel Saugen an
Saugern (Flaschensauger), Schnullern und
Nuggis (Beruhigungssauger) und durch zu
viel Daumenlutschen [5]: Die vorderen
Schneidezähne werden nach oben gehoben
[8].](d/merkblatt-zahnfehlstellungen-d/sauger-u-daumenlutschen-schema.jpg)
Zahnfehlstellung
(Darstellung) durch zu viel Saugen an
Saugern (Flaschensauger), Schnullern und
Nuggis (Beruhigungssauger) und durch zu
viel Daumenlutschen [5]: Die vorderen
Schneidezähne werden nach oben gehoben
[8].
|
x
|
![Durch zu
viel Daumenlutschen oder Sauger
(Flaschensauger oder Nuggi) ergibt sich
die Zahnfehlstellung des "offenen
Biss" bei den bleibenden Zähnen.
[21] Durch zu viel Daumenlutschen
oder Sauger (Flaschensauger oder Nuggi)
ergibt sich die Zahnfehlstellung des
"offenen Biss" bei den
bleibenden Zähnen. [21]](d/merkblatt-zahnfehlstellungen-d/offener-biss-wegen-daumenlutschens.jpg)
Durch zu
viel Daumenlutschen oder Sauger
(Flaschensauger oder Nuggi) ergibt sich
die Zahnfehlstellung des "offenen Biss"
bei den bleibenden Zähnen. [5]
|
Zahnfehlstellung
Distalbiss und Mesialbiss

Distalbiss: Der Unterkiefer ist nicht fertig
ausgebildet, der Oberkiefer ist viel grösser
als der Unterkiefer
|

Mesialbiss: Der Unterkiefer ist grösser als
der Oberkiefer |
Die Kieferorthopädie kann mit Dehnplatten (z.B.
Vorbissdehnplatte, Vorbissschild) die Kiefer je nach
Bedarf nach vorne "ziehen" [25].
Zahnfehlstellung
Tiefbiss (tiefer Biss)
Die oberen Schneidezähne überlappen die unteren
Schneidezähne mehr als 3 mm und man sieht die unteren
Schneidezähne kaum noch [24].

Beim Tiefbiss überdecken die oberen Schneidezähne
die unteren Schneidezähne fast komplett.
Man sieht die unteren Schneidezähne kaum noch (Foto
von Praxis Dr. Kuster).
Zahnfehlstellung Engstand
Engstand nennt sich der Platzmangel der Zähne bei
einem zu kleinen Kiefer [6]. Kiefer werden zu klein
-- durch zu wenig Wachstumsreiz, wenn das Kind nicht
gestillt wird, sondern immer die Flasche bekommt [2]
-- durch Verlust der Milchzähne im frühen Kindesalter
durch Flaschenkaries, so dass die Milchzähne ihre
Rolle als "Platzhalter"nicht mehr wahrnehmen können
[5].
Ein Engstand kann z.B. einen Zahndurchbruch erschweren
("erschwerter Zahndurchbruch") [6]. Folgen können sein
-- Zahndurchbrüche an falschen Positionen, wenn
bereits durchgebrochene Zähne den Durchbruch andere
Zähne blockieren [8]
-- erhebliche Schmerzen
-- starke Entzündung und Fieber [6].
-- Engstände der Zähne können Karies provozieren oder
Infektionsherde bilden, weil die Zähne mit der
Zahnbürste dann z.T. nicht mehr zugänglich sind [8].

Engstand der Zähne, eine Frontalansicht |

Engstand bei einem Unterkiefer, eine Sicht
von oben (mit Sicht auf die Oberflächen,
lat. Facies [7]) |
Im Falle eines Engstands wegen zu kleiner Kiefer
müssen oft Zähne gezogen werden
("Extraktionstherapie"), um Platz für andere Zähne in
einer schönen Zahnstellung zu schaffen [6]. Dieses
Vorgehen bedingt ein Röntgenfoto, BEVOR die letzten
Zähne durchbrechen, das heisst ein
Panorama-Röntgenfoto im Alter von ca. 11 Jahren [8].
Der Platzbedarf der letzten noch nicht
durchgebrochenen Zähne (Eckzähne und Prämolaren) wird
dann mittels der "Huckaba-Tabelle" ermittelt [9].
Jedes Zähneziehen ("Extraktion") ist dabei mit einem
hohen Infektionsrisiko verbunden [10].
Es ist auch möglich, mittels einer Dehnplatte
(Y-Platte) den Kiefer zu dehnen [27].
Im Falle von noch nicht herausgekommenen Zähnen werden
Zähne gezogen, damit die fehlenden Zähne noch durch
brechen können ("gesteuerte Extraktionstherapie") [6].
Wenn die Zähne durchbrechen, aber keinen Platz haben,
so wachsen die Zähne ausserhalb der Zahnreihe auf und
sind in einem "Falschstand" [1].
Wenn die zweiten Zähne wegen falsch liegender Zähne
nicht ganz durchbrechen können, so können die Zähne
die Kauebene nicht erreichen und befinden sich je nach
Sichtweise in einem "Hochstand" bzw. "Tiefstand", mit
einem Fremdwort ausgedrückt in einer "Halbretention"
[9]. Betroffen sind die Zähne, die an der
Zahnbogen-Vorderseite als letzte durchbrechen, also
meistens die Eckzähne (caninus) [8]. Eingeklemmte
Zähne sind "impaktierte Zähne". Die ist v.a. bei
Weisheitszähnen der Fall [10].
Im Falle, dass Zähne fehlen, spricht man von einer
"Unterzahl von Zähnen" ("Hypodontie"). Wenn zu viele
Zähne da sind, spricht man von einer "Hyperodontie"
[9], von einer angeborenen "Zahnüberzahl" [11].
Zahnfehlstellung
Drehstand
Es gibt Zähne, die sich um die eigene Achse drehen und
dann falsch im Gebiss stehen. Das ist ein "Drehstand".
[12]
![Wenn die beiden
vorderen Schneidezähne nicht genügend
Platz haben, brechen sie oft in einem
"zentrischen Drehstand" in der
sogenannten "Pflugscharstellung"
durch. Auf dem Foto sind ausserdem auch
viele weisse Flecken
("Kreideflecken") zu sehen, die
Vorstufe von Karies, und man sieht auch
zwei grosse Karies zwischen den Prämolaren
[13]. Wenn die beiden vorderen
Schneidezähne nicht genügend Platz haben,
brechen sie oft in einem "zentrischen
Drehstand" in der sogenannten
"Pflugscharstellung" durch. Auf
dem Foto sind ausserdem auch viele weisse
Flecken ("Kreideflecken") zu
sehen, die Vorstufe von Karies, und man
sieht auch zwei grosse Karies zwischen den
Prämolaren [13].](d/merkblatt-zahnfehlstellungen-d/drehstand-pflugschartenstand.jpg) |
Wenn die beiden vorderen
Schneidezähne nicht genügend Platz haben,
brechen sie oft in einem "zentrischen
Drehstand" in der sogenannten
"Pflugscharstellung" durch. Auf dem Foto
sind ausserdem auch viele weisse Flecken
("Kreideflecken") zu sehen, die Vorstufe von
Karies, und man sieht auch zwei grosse
Karies zwischen den Prämolaren [13]. |
Aber auch die Eckzähne (caninus) oder die Backenzähne
können in einen Drehstand geraten.
 |
Hier
befinedet sich der zweite Schneidezahn oben
links im Drehstand und "schaut aus der
Reihe".
|
Kopfbiss
 |
Beim
sogenannten "Kopfbiss" beissen Kanten
der Schneidezähne und die Höcker der
Backenzähneund Mahlzähne aufeinander und
schleifen sich gegenseitig ab
|
Kreuzbiss seitlich
 |
Beim sogenannten "Kreuzbiss" [30]
stehen beim "seitlichen Kreuzbiss" die
unteren Backenzähne und Mahlzähne mehr nach
aussen als die oberen. Die zur Wange
gerichteten Höcker ("bukkale Höcker") der
unteren Backenzähne und Mahlzähne stehen
frei [31]. |
Nonokklusionen
(Nicht-Aufeinandertreffen, Nicht-Verschluss der
gegenüberliegenden Zähne)
 |
Bei dieser
Nonokklusion steht eine gesamte Zahnreihe
"daneben" |
 |
Bei dieser
Nonokklusion stehen die Eckzähne frei im
Raum. Die Eltern haben keine
Röntgenkontrolle gemacht, als das Kind 11
Jahre alt war, und so sind die Eckzähne, die
als letzte vordere Zähne herauswachsen,
neben den Schneidezähnen hervorgebrochen.
Mit einer Röntgenkontrolle mit 11 Jahren
wäre dies nicht passiert, sondern man hätte
den Kiefer vergrössern können oder die
hinteren Schneidezähne ziehen können, um für
die wichtigen Eckzähne Platz zu schaffen
[14]. |
Kreuzbiss frontal
 |
Beim
frontalen Kreuzbiss stehen die unteren
Schneidezähne vor den oberen Schneidezähnen. |
Seitlicher, offener
Biss
 |
Beim seitlichen, offenen Biss
kommen die oberen Backen- und Mahlzähne
nicht an die unteren heran. |
"Verrutschte" Zähne
Wenn Zähne im Gebiss fehlen, so rücken die
Nachbarszähne nach, und zwar immer in Richtung "vorne"
zu den Schneidezähnen hin ("Mesialwanderung") [19].
Abhilfe und Prävention gegen
Zahnfehlstellungen
Stillen an der Brust
für die Kieferentwicklung
Wenn viele Babys mit der Flasche grossgezogen werden,
so werden die Kiefer kleiner und die
Zahnfehlstellungen nehmen zu [15]. Langes Stillen des
Babys an einer weiblichen Brust ist also die beste
Prävention dagegen, dass die Kinder später zu kleine
Kiefer bekommen, bzw. ist die beste Vorsorge dafür,
dass alle Kinder später genug grosse Kiefer bekommen,
so dass alle Zähne Platz haben [8].
Röntgenfotos zur
Feststellung der Platzverhältnisse
Mit einem Zahnkontrollsystem im Schulalter durch eine
landesweite Zahnkontrolle in einer Schulzahnklinik mit
Röntgenfotos kann man viele Zahnfehlstellungen
voraussehen und ihnen entsprechend entgegenwirken, so
dass gewisse Zähne gezogen werden können, um z.B. für
die wichtigen Eckzähne Platz zu schaffen, oder um mit
Apparaturen den Kiefer zu korrigieren [15].
Elternkurse, die das
Wissen über die Ursachen von Zahnfehlstellungen
vermitteln
In Pflichtelternkursen können alle Eltern vor der
ersten Geburt über die Problematik von
Flaschennahrung, Schnullern und Daumenlutschen in
Verbindung mit der Kieferentwicklung beim Kind
informiert werden [8].
Die Regierungen, die
keine Ahnung haben, sollten endlich instruiert
werden
So lange die Regierungen aber nicht merken, dass die
Flaschenernährung für die Kinder ein vermindertes
Kieferwachstum zur Folge hat, und so lange dies nicht
auf der Babyflasche steht, so lange wird es immer
wieder Kinder mit unterentwickelten Kiefern geben, und
die Kinder werden dann zu leiden haben, und auch das
Portemonnaie der Eltern, die meinten, man könne auf
das Stillen an der Mutterbrust verzichten [8].
Vollkorn-Ernährung 1.4.2024: für einen
voll entwickelten, grossen Kieferbogen+perfekte
Zähne
aus: Kate Rhéaume-Bleue: Vitamin K2 und das
Calcium-Paradoxon; Kopp-Verlag 2016 - siehe Link
-- ein intelligenter Zahnarzt Dr. Weston A. Price in
den "USA" fand in den 1930er Jahren auf einer
Weltreise heraus, dass Ureinwohner mit der
vollwertigen Ur-Ernährung immer einen vollen Kiefer
entwickeln, so dass alle Zähne genug Platz haben und
die Zähne ohne Löcher bleiben
-- wenn die Ureinwohner aber auf die "zivilisierte
Ernährung" mit totem Konservenfood, Giftlimos und
toten Weissmehlprodukten umstellten, dann hatten sie
genau dieselben Zivilisationskrankheiten wie die
Weissen in den "USA": zu kleine Kieferentwicklung,
schiefe Zähne ohne Platz, Zähne ausserhalb der
Zahnreihe, und viele Löcher und Zahnfleischprobleme
-- es liegt also an der Ur-Ernährung, die man
einhalten muss, um perfekte Zähne zu behalten und den
Kindern die Entwicklung eines perfekten, grossen
Kiefers zu ermöglichen, so dass alle Zähne genug Platz
haben - und dann haben die Zähne auch keine Löcher und
das Zahnfleisch keine Entzündungen.
(S.34-44)
Details
Link
Buch beim Kopp-Verlag kaufen
Link
Buch bei Amazon kaufen
Link
Buch bei Buchhaus.ch kaufen
Link