Kontakt / contact     Hauptseite / page
                  principale / pagina principal / home     zurück
                  / retour / indietro / atrás / back
D

Nota: efecto curativo de bórax y boro (agua curativa de bórax)

Artritis, artrosis, dolores de articulaciones, osteoporosis, cáncer, psoriasis, rosácea, impotencia, ojos, cerebros, memorias, Candida, hongos en los pies, vaginitis etc.

El mineral de bórax cura artritis, osteoporosis, cáncer, psoriasis, rosácea, impotencia, ojos, cerebros, memorias, Candida, hongos en los pies, vaginitis etc. -- El funcionamiento de boro en el cuerpo -- La tomada de bórax -- Las curaciones con bórax: artritis, artrosis, dolores de articulaciones, osteoporosis, cáncer, psoriasis, rosácea, impotencia, ojos, cerebros, memorias, Candida, hongos en los pies, vaginitis etc. -- El tiempo curativo con bórax: 2 días a 3 meses -- La loca Unión Europea corrupta prohíbe bórax en 2010 para proteger la industria química tóxica (!): 2010: La intriga en Bruselas contra bórax -- 2011-2017: La intriga mundial contra bórax -- Mi llamada de 2017: no se dejan prohibir nada lo que es natural - la industria química cambie a la medicina natural

Bórax en bolsa  Bórax en una
                cucharita, la dosis para 1 Litro de solución curativa
Bórax en bolsa - bórax en una cucharita, la dosis para 1 Litro de solución curativa

Para tomarlo por vía oral: mezcle 1/8 de cucharadita de bórax en 1 litro de agua - 1 sorbo al día durante 5 días - tome un descanso de 2 días - continúe hasta que el dolor desaparezca (información de Matterhorn el 8-12-2024)

Para frotar: mezcle bórax en polvo y aceite de oliva u otro aceite de la cocina y frote - 1 dl de aceite de oliva con 2-3 pizcas de bórax en polvo (niformación de Matterhorn el 30-01-2025)

de Michael Palomino (2017 / 2024 / 2025)

Teilen / share:

Facebook









Literatura

de: Walter Last: entrevista: la conspiración de bórax (original alemán: Interview: Die Bórax-Verschwörung: "Das Aus für die Arthrose-Heilung");
https://einfachemeditationen.wordpress.com/2013/07/13/borax-ein-lebenswichtiges-metall-bewirkt-wunder-in-der-richtigen-dosierung/



Usar el bórax como remedio: tomar en agua, frotar en agua, frotar en aceite (¡mejor!)

-- Tomar agua de bórax: disolver el bórax en agua y beber (1/8 cucharadita de bórax en 1 litro de agua) - beber 1 sorbo al día durante 5 días - hacer pausa por 2 días - continuar en este ritmo hasta que el dolor desaparezca (informante Matterhorn el 8-12-2024)
(todo el mundo lo sabe)

-- Frotar articulaciones con agua de bórax: disolver el bórax en agua y frotar
(todo el mundo lo sabe)

-- Frotar bórax: mezclar bórax en un aceite de la cocina y frotar (funciona más rápido que con agua)
   Proporción de mezcla para frotar: 1 dl de aceite de oliva con 2 a 3 puntas de cuchillo (1/4 cucharadita) de bórax en polvo
   (Información de la informante Matterhorn el 30-01-2025 - ella se curó sus propias articulaciones con bórax)




El mineral de bórax cura artritis, artrosis, dolores de articulaciones, osteoporosis, cáncer, psoriasis, rosácea, impotencia, ojos, cerebros, memorias, Candida, hongos en los pies, vaginitis etc. El funcionamiento de boro en el cuerpo

Bórax contiene boro. Se lo compra en ferreterías usándolo para la soldadura. En altas concentraciones se puede usar bórax como protector para madera contra hongos y bichos - así solo tiene una ligera toxicidad. En bajas concentraciones es un REMEDIO GIGANTE. Funciona así:

Bórax en bolsa
Bórax en bolsa

El elemento de boro arregla las hormonas en la glándula paratiroides. Boro hay en la comida en la fruta y verdura natural sin pesticidas y sin abono químico. Con abono químico las plantas casi no toman boro de la tierra más. Con pesticidas las plantas tienen más tóxicos que minerales. Cuando no hay bastante boro en el cuerpo así la glándula paratiroides sale hiperactiva y no sabe comportarse más y salen hormonas malas
1) sacando calcio de los huesos y dientes con el efecto que
2) ese calcio se deposita en todo el cuerpo en órganos y vasos destruyendo y calcificando órganos, articulaciones y vasos sanguíneos.

Por eso el mineral de bórax con boro puede corregir todas las enfermedades por calcio y calcificaciones en los falsos lugares corrigiendo el comportamiento de la glándula paratiroides y se reinstala todo calcio a su lugar propio en los huesos y dientes.

La tomada de bórax

El mineral de bórax con su boro se toma 1/8 cucharita de bórax por litro de agua. Sale una agua medicinal curativa. Se lo toma todo el día paso a paso (5 días se toma, después 2 días pausa para dejar recuperar los riñones) hasta se va la molestia de dolores de artritis
etc. Con esa dosis el agua es como un agua curativo de una fuente de aguas minerales. ¡Efectos laterales solo hay positivos!

Bórax en una cucharita,
                          la dosis para 1 Litro de solución curativa
Bórax en una cucharita, eso es la dosis para 1 Litro de solución de agua curativa

Las curaciones con bórax:
artritis, artrosis, dolores de articulaciones, osteoporosis, cáncer, psoriasis, rosácea, impotencia, ojos, cerebros, memorias, Candida, hongos en los pies, vaginitis etc.

Aquí hay la lista de curaciones por el mineral de bórax:


-- reinstala el calcio en los huesos y dientes, hay menos fracturas de huesos y huesos fracturadas curan más rápidamente, y hay menos daños dentales
-- limpia vasos sanguíneos y órganos de los depósitos de calcio, así
-- curan en uno artritis, artrosis, dolor de articulaciones, osteoporosis (huesos flojos), dientes y
-- estabilizan las membranas de las células en general curando cáncer e insuficiencia cardíaca
-- curan células de la piel así cura psoriasis y rosácea
en la cara
-- arreglan glándulas con hormonas sexuales contra impotencia, tb.
-- indican que ojos y cerebros y la memoria mejoran tb.
-- cura el germen de Candida en el estómago recuperando el estómago
-- impide el desarrollo erróneo de tejidos [así puede ser que curan quistes].


Efectos de bórax contra hongos:
-- aplicando bórax directamente frotándolo en los pies elimina hongos en los pies,
-- aplicando bórax en cápsulas en la vagina curan infección de hongos de la vagina.

Artritis cura con Bórax  Dolores
                      de articulaciones por artritis curan con Bórax  Osteoporosis cura con bórax  Caries
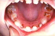
                      es reducica con bórax 
Artritis cura con bórax [3] - dolores de articulaciones por artritis curan con bórax [4] - osteoporosis cura con bórax [5] - caries es reducica con bórax [6] -

Cáncer cura con bórax  Corazón
                      flojo cura con bórax  Psoriasis (p.e. en los codos) cura con bórax  Rosácea
                      en la cara cura con bórax
Cáncer cura con bórax [7] - corazón flojo cura con bórax [8] - psoriasis cura con bórax [9] - rosácea en la cara cura con bórax [10]

Impotencia cura con bórax  Ojos
                      salen más fuertes con bórax  El
                      cerebro es más fuerte con bórax  La
                      memoria es más fuerte con bórax  Gérmenes de cándida en el estómago curan con
                      bórax
Impotencia cura con bórax [11] - ojos salen más fuertes con bórax [12] - el cerebro es más fuerte con bórax [13] - la memoria es más fuerte con bórax [14] - gérmenes de cándida en el estómago curan con bórax [15]

Probablemente quistes curan con bórax  Hongos
                      en el pie curan con bórax  Hongos
                      vaginales curan con bórax
Probablemente quistes curan con bórax [16] - hongos en el pie curan con bórax [17] - hongos vaginales curan con bórax [18]


Así es Madre Tierra que cura casi todo, la tele y la Biblia no curan.


El tiempo curativo con Bórax: 2 días a 3 meses

Se toma el agua curativa 5 días y después una pausa de 2 días para no sobrecargar los riñones. Se continua ese ritmo hasta los dolores han pasado.

El tiempo curativo de una cura de Bórax puede ser muy diferente. Cuando solo son dolores lijeros de articulaciones con una artritis inicial así la curación puede venir en 2 a 3 días. Para una artritis profunda se necesita 2 a 3 meses.

Puede ser que las molestias se agravan primero porque hay tóxicos de hongos muertos que "nadan" en el cuerpo que tienen que ser eliminados. Durante una curación de una artritis profunda puede ser que los riñones son muy cargados provisionalmente lo que causa dolores. En ese caso se interrumpe la cura hasta los dolores han pasado y sigue la cura.


La loca Unión Europea corrupta prohíbe Bórax en 2010 para proteger la industria química tóxica (!)

2010: La intriga en Bruselas contra bórax
En la loca Unión Europea de Bruselas corrupta de Rothschild la industria química manipuló los políticos en Bruselas así han prohibido Bórax en las tiendas normales en el año 2010 por UN ÚNICO ESTUDIO falso de 1972. ¿Por qué es falso ese estudio? Han probado una sobredosis gigante provocando menos peso de los fetos de ratas. Simplemente dicen: lo que vale para ratas vale tb. para hombres, y no importa si fue una sobredosis gigante o no. Sí, IMPORTA, porque con cada sobredosis una substancia buena se transforma en una substancia mala. Y lo que hacen es eso: niegan todos los otros estudios que prueban el efecto positivo curativo de Bórax contra artritis, artrosis, osteoporosis, la fertilidad y potencia en general etc. La loca Unión Europea de Bruselas prohíben Bórax porque se dejan corrumpir por las gerencias de la industria química que protege su industria química tóxica - lo que provoca siempre más enfermedades para más provechos - siempre con la argumentación política que la industria química tóxica da puestos de trabajo. No quieren cambiar la industria a productos sanos... [web01]

2011-2017: La intriga mundial contra bórax
Es aun peor: La Unión Europea corrupta de Bruselas y el Gobierno Mundial de Rothschild en Londres (Comité de 300) quieren prohibir Bórax en todo el mundo para proteger su industria química tóxica de las curaciones fáciles con Bórax. Manipulan la Organización Mundial de Salud (que es una organización de Bill Gates con vacunas), manipulan Wikipedia, manipulan gobiernos etc.

Mi llamada de 2017: no se dejan prohibir nada lo que es natural - la industria química cambie a la medicina natural
Así hay la clara llamada a todo el mundo: sálvanse de la industria química, cambien la industria química a otros productos y usen las curaciones naturales de Madre Tierra y no se dejen prohibir nada lo que es natural, ni el bórax ni otro remedio natural. Así se guarda mucha plata para otros productos.




2024/2025: Usar el bórax como remedio: tomar en agua, frotar en agua, frotar en aceite (¡mejor!)

-- Tomar agua de bórax: disolver el bórax en agua y beber (1/8 cucharadita de bórax en 1 litro de agua) - beber 1 sorbo al día durante 5 días - hacer pausa por 2 días - continuar en este ritmo hasta que el dolor desaparezca (informante Matterhorn el 8-12-2024)
(todo el mundo lo sabe)

-- Frotar articulaciones con agua de bórax: disolver el bórax en agua y frotar
(todo el mundo lo sabe)

-- Frotar bórax: mezclar bórax en un aceite de la cocina y frotar (funciona más rápido que con agua)
   Proporción de mezcla para frotar: 1 dl de aceite de oliva con 2 a 3 puntas de cuchillo (1/4 cucharadita) de bórax en polvo
   (Información de la informante Matterhorn el 30-01-2025 - ella se curó sus propias articulaciones con bórax)






Compartir:

Facebook






Fuentes
[web01] de: Walter Last: entrevista: la conspiración de Bórax (original alemán: Interview: Die Borax-Verschwörung: "Das Aus für die Arthrose-Heilung");
https://einfachemeditationen.wordpress.com/2013/07/13/borax-ein-lebenswichtiges-metall-bewirkt-wunder-in-der-richtigen-dosierung/


Fuentes de fotos
[1] bórax en sachet grande: foto de Michael Palomino (2017)
[2] bórax en una cucharita con la dosis para 1 litro de agua para un día: foto de Michael Palomino (2017)
[3-18] fotos de la colección de Powerpoint


 ^