6.
[Quecksilbermengen im Mund -
die Quecksilberverhältnisse je nach Temperatur,
Kaubewegungen und Anzahl Füllungen - Faktor Kaugummi bei
Quecksilber im Speichel]
Der Vollständigkeit halber soll im folgenden aufgezeigt
werden, auf Grund welcher toxikologisch relevanten Fakten
die Schlussfolgerungen des zitierten Degussa-Fachautors
Loebich ausserhalb des Kreises der Amalgamhersteller
bestätigt wurden und auch aus heutiger Sicht als
zutreffend zu beurteilen sind. Hierbei wird im Hinblick
auf die zu klärenden juristischen Fragen (u.a. Schuld)
zusätzlich zu der aktuellen auch die Fachliteratur der
vorhergehenden Jahre einbezogen. (S.50)
a)
Quecksilbermenge im Mund
Mehrere Gramm Quecksilber trägt eine mit einer
durchschnittlichen Anzahl von Amalgamfüllungen versehene
Person im Mund.

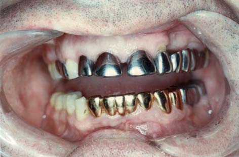
Amalgamgebiss mit Amalgam in Backenzähnen [1]
|

Amalgamgebiss
mit
Frontzähnen aus Amalgam [2]
|
b)
Bestätigung des
Giftcharakters von Quecksilber auch in der
zahnmedizinischen Fachliteratur
Quecksilber ist kein essentielles Spurenelement. Es ist
ein Gift und auch in der zahnmedizinischen Literatur
bekannt als "hochtoxisches Schwermetall mit kumulativer
Wirkung" (Willershausen-Zönnchen et al. 1994; Zimmermann
1993) bzw. als "ausgesprochenes Zell- und Protoplasmagift
von allgemeiner Wirkung, das ausserdem besonders in seinen
chronisch vergiftenden Wirkungen Beziehungen zum zentralen
und vegetativen Nervensystem zeigt" (Kirsch 1961 S.246).
An dieser Beurteilung des Quecksilbers hat während der
zurückliegenden Jahrzehnte nie ein Zweifel bestanden.
c)
Quecksilberfreisetzung
aus Amalgamfüllungen
Das Quecksilber ist im Amalgam nicht fest gebunden.
Vielmehr wird Quecksilber aus den Füllungen freigesetzt,
solange sie sich im Mund befinden.
[Appelle 1926 und 1927,
Amalgame nicht mehr einzusetzen]
- Bereits Stock (1926), Mayer (1927) und El Cheikh (1927)
berichteten über eigene Studien, die eine Hg-Freisetzung
aus Silberamalgamfüllungen ergeben hatten. El Cheikh
(1927), Zahnärztliches Universitätsinstitut der Stiftung
"Carolinum" und Pharmakologisches Institut der Universität
Frankfurt am Main, appellierte als Ergebnis seiner Studien
zur Quecksilberfreisetzung aus Silberamalgamfüllungen an
die Verantwortlichen:
"Die Ungefährlichkeit von
Amalgamfüllungen für den Patienten ist durchaus nicht
erwiesen. Die Anwendung der Amalgame in der
Zahnheilkunde ist deshalb einzuschränken oder tunlichst
ganz zu unterlassen." (S.51)
[Tierversuch 1957:
Quecksilber im Urin und im Stuhl nachgewiesen]
- Die "Zahnärztlichen Mitteilungen" (1957) informierten im
Jahre 1957 über Tierversuche, bei denen zwei Hunden
Silberamalgamfüllungen gelegt worden waren, die
radioaktives Quecksilber enthielten. Anhand der
Radioaktivität der Ausscheidungen (Urin, Kot), der Leber
und der Nieren, liess sich eindeutig nachweisen, dass eine
Quecksilberfreisetzung aus den Füllungen erfolgt war.
[Tierversuch 1961:
Quecksilber reichert sich in Organen an]
- Später veröffentlichte Bönig-Keibel (1961), Klinik für
Zahn-, Mund- und Kieferkrankheiten der Universität des
Saarlandes, einen ausführlichen Forschungsbericht über
eine vergleichbare Tierstudie. Die Autorin stellte dabei
fest:
"Aus dem Hg-Gehalt der Organe ist zu ersehen, dass schon
eine geringe Hg-Resorption genügt, um Speicherung des
Metalles zu veranlassen. ...
Die Untersuchung der Organe ergab, dass sich Nieren und
Leber aller drei Tiere mit Quecksilber angereichert
hatten."
[Kröncke et al. 1963:
Quecksilberdampf kommt auch aus erstarrtem Amalgam]
- Kröncke et al. (1963), Zahnärztliches Institut der
Universität Tübingen, erklärten zwei Jahre später:
"Weiterhin ist bekannt, dass Quecksilber auch aus
erstarrtem
Amalgam verdampft" (ebenso bereits Mayer (1927): Auch nach
vollkommener Aushärtung gaben Silberamalgamfüllungen
"während einer Untersuchungsdauer von vier Wochen
fortgesetzt wägbare Menschen reinen metallischen
Quecksilbers ab.").

Amalgam dampft Tag und Nacht Quecksilber aus
(hochgiftiger Quecksilberdampf) [3]
[Tests des Austritts von
Quecksilber aus Zahnfüllungen je nach Mundtemperatur -
"Amalgamprüfkörper" - "Thermische Belastungen"]
- Schon vor Jahrzehnten wussten die Amalgamhersteller,
dass das Ausmass der Quecksilberfreisetzung aus
Amalgamfüllungen u.a. von der Höhe der Temperatur abhängig
ist, die auf die Füllungen einwirkt. Als Folge der
durchaus üblichen Aufnahme bis auf 90°C erhitzter Speisen
und heisser Getränke (S.52)
können an den Amalgamoberflächen Temperaturen von 60°C bis
65°C entstehen.

Eine normale, heisse Suppe gibt jedem, der
Amalgamfüllungen hat,
einen Quecksilberschub, bis heute (2008) in der Schweiz
ganz legal... [4]
Strassburg / Özkan (1965; später dazu auch Schwickerath
1977 S.261; Geurtsen 1984), Universitätszahnklinik
Düsseldorf, untersuchten, in welchem Ausmass unter diesen
Temperatur- und Feuchtigkeitsbedingungen ein
Quecksilberaustritt aus Silberamalgamfüllungen zu
beobachten ist. Es wurden hierbei Amalgamprüfkörper in
einer speziellen Versuchsmethodik im Wasserbad
unterschiedlichen Wärmegraden ausgesetzt (jeweils 60, 100,
200, 600 und 1.200 Sekunden lang).
Schon bei einer Wassertemperatur von 37°C - insoweit
entsprechend den normalen Mundhöhlenbedingungen - zeigte
sich ein "eindeutig registrierbarer Gewichtsverlust" an
vollständig unter Wasser aufbewahrten Prüfkörpern, der von
den Autoren mit der Abgabe von Quecksilber erklärt wird.
Bei einer Wassertemperatur von 50°C entstanden farbliche
Veränderungen an den Amalgamoberflächen sowie
Rissbildungen an den Rändern. Bei einer Temperatur von
60°C waren zu beobachten:
Quecksilberanreicherung an
der Füllungsoberfläche;
Erweichung der Füllungsoberflächen;
Verformung der Füllungsoberflächen;
deutliche Gewichtsverluste, die von den Autoren als
"bemerkenswert" bezeichnet werden und - so die Autoren -
"zweifellos in erster Linie aus der Abgabe von
Quecksilber" resultieren; auch die Freisetzung anderer
metallischer Komponenten wie Silber (S.53) und Zinn wird
von den Autoren als möglich erachtet;
eine Steigerung dieser
Gewichtsverluste je nach Fortdauer der Wärmeeinwirkung;
mit blossem Auge erkennbare farbliche Veränderung der
Oberfläche von mattgrau über hellgrau schliesslich bis
silbrig glänzend;
mit blossem Auge an den Oberflächen eindeutig
wahrnehmbare "Quecksilberperlchen", "deren Zahl und
Grösse mit stärkerer Erwärmung weiter zunahm. Bei
Temperaturen um 70°C konfluierten diese zahlreichen
Quecksilberperlen
bzw. quecksilberreichen
Amalgampartikel zu mehreren Gruppen, in manchen Fällen
sogar zu einem einheitlichen, die gesamte Oberfläche
bedeckenden Film. ...
Nach erneutem Erhitzen der inzwischen abgekühlten
Prüfkörper auf nunmehr 80°C Wasserbadtemperatur lagerten
sich die
Quecksilberteilchen an
der Oberfläche zu blumenartigen Gebilden
zusammen."
Zum weiteren Verbleib der an den Füllungsoberflächen
während der Erwärmung angesammelten "Quecksilbermassen"
(Strassburg / Özkan 1965) bemerkten die Autoren (S.54):
"Es besteht berechtigter
Grund zu der Annahme, dass ein grosser Teil des
Quecksilbers durch reine Abdampfung verlorenging. An den
der freien Luft zugänglichen Oberflächen konnte
Quecksilber schon während des Versuches verdampfenb.
Auch an den intermittierend unter Wasser aufbewahrten
und erwärmten Amalgamproben hatte das Quecksilber - wie
bereits erwähnt - Gelegenheit, in den zwischenzeitlichen
Abtrocknungs- und Abkühlungsphasen an der Luft zu
verdampfen."
Der nicht verdampfte Teil der an der Oberfläche
angesammelten "Quecksilbermassen" kehrt nach Ansicht der
Autoren zu seinem ursprünglichen Platz im Gefüge zurück.
Als weitere Folge der Erwärmung des Amalgams auf die im
Munde erreichten Temperaturen nannten die Autoren: "Die
nach Wärmeeinwirkung ebenfalls zu registrierende
Aufrauhung der Oberfläche bedeutet einen locus minoris
resistentiae für nachfolgende Korrosionsvorgänge. Nach
Sato sind Amalgame, die einer Temperatur von 45 bis 70°C
ausgesetzt waren, in gesteigertem Masse
korrosionsanfällig. Da das Amalgam gleichzeitig
Quecksilber verliert, wird die Widerstandsfähigkeit dieses
Füllungswerkstoffes zweifellos herabgesetzt."
["Mechanische
Belastungen": Tests von Amalgamzahnfüllungen beim Kauen
- "Thermische
Belastungen"]
Zusätzlich zu diesen thermischen Belastungen werden in der
Mundhöhle, worauf die Autoren ausdrücklich hinweisen, auch
mechanische Belastungen "beim Zerkleinern der Speisen an
den Oberflächen von Amalgamfüllungen wirksam. Diese
Abnutzung beim Kauvorgang sah auch Bönig-Keibel als einen
der ursächlichen Faktoren für die Quecksilberabgabe aus
Amalgamfüllungen in den Organismus an." Dass über diese
mechanischen Einflüsse hinaus also auch die täglich
mehrfach (S.55)
erfolgenden thermischen Einwirkungen die Hg-Freisetzung
aus Amalgamfüllungen steigern, besagen die abschliessenden
Worte von Strassburg / Özkan (1965), wonach
"unter den in der
Mundhöhle wirksam werdenden thermischen Einflüssen
Gewichtsverluste und Oberflächenveränderungen an
Amalgamfüllungen durch Quecksilberabgabe entstehen
können."
[Radics et al. 1970
untersuchen Amalgamfüllungen von Verstorbenen -
"quecksilberarme" Füllungen!]
- Radics et al. (1970; ebenso Radics 1966 S.44),
Zahnärztliches Institut der Universität Basel, bewiesen
auf einem zusätzlichen Weg die Hg-Freisetzung aus
Amalgamfüllungen: Alte, korrodierte Silberamalgamfüllungen
aus extrahierten Zähnen wurden mit der elektronischen
Röntgenmikrosonde untersucht. Die Autoren stellten fest:
"Die Untersuchungsergebnisse zeigen, dass in vivo
korrodierte Amalgamfüllungen - verglichen mit den darunter
liegenden Schichten - quecksilberarm sind. Daraus muss
geschlossen werden, dass infolge der Korrosion eine
andauernde Quecksilberabgabe aus Amalgamfüllungen erfolgt.
Die Quecksilberabgabe ist mengenmässig nicht unbedeutend
... Aus den Untersuchungen geht hervor, dass infolge der
Korrosion eine ständige Hg-Abgabe aus Amalgamfüllungen
besteht und dadurch eine Sensibilisierung des Patienten
durch Quecksilber im Bereiche der Möglichkeit liegt."
Die Quecksilberfreisetzung aus Amalgamfüllungen konnte
also bereits vor Jahrzehnten nicht mehr ernsthaft
bestritten werden.
[Hanson / Pleva 1989 und
1991: Werte über die tägliche Hg-Freisetzung bei
Personen aus Schweden]
Hanson / Pleva (1991) und Pleva (1989; vgl. auch Hanson
1990) beschreiben in ihren Fallberichten
Amalgamrestaurationen, die insgesamt zu einer
Quecksilberexposition in einer Grössenordnung von 120 -
160 µg / Tag [Mikrogramm pro Tag] bei den jeweiligen
Amalgamträgern (S.56)
geführt haben. Skare / Engqvist (1994), National Institute
of Occupational Health, Stockholm, fanden bei ihrer
vergleichsweise kleinen Probandengruppe von 35 Personen
ebenfalls Hg-Freisetzungsraten aus Amalgamfüllungen von
bis zu 125 µg / Tag.
Ein direkter metallischer Kontakt des Amalgams mit einer
Goldrestauration kann Ursache sein für eine zusätzliche
Hg-Exposition von 250 µg täglich (Pleva 1989).
Metallographische Untersuchungen an Non-Gamma-2-Amalgamen
ergaben, dass sich bei einer im durchschnittlichen Ausmass
mit Amalgam behandelten Person (in Schweden: 10 cm2
Amalgamoberfläche) die amalgambedingte
Quecksilberexposition auf 450 µg täglich belaufen kann
(Pleva 1995).
[WHO 1991, BGA 1994,
BfArM 1995 u.a.: Die Aufnahme von Amalgam-Quecksilber
ist bis 6,5-fach oder 9-fach so hoch wie Quecksilber aus
anderen Quellen]

WHO, Logo [5] |
|

BfArM, Logo [6]
|
Die
Weltgesundheitsorganisation (WHO), das
Bundesgesundheitsamt (BGA) und das
Bundesinstitut für Arzneimittel und
Medizinprodukte (BfArM) stellen fest, dass die
Quecksilberaufnahme durch Amalgam 6,5- bis
9-fach so hoch ist wie durch Lebensmittel.
Aber verboten wird Amalgam bis heute (2008)
nicht. Scheinbar sind alle drei Organisationen
doch auch daran interessiert, dass die
Menschen krank werden, denn sonst bräuchte es
die Organisationen nicht. Die staatliche
Vergiftungspolitik hört nicht auf...
|
d)
Quecksilberaufnahme aus
Amalgamfüllungen
Die Hg-Abgabe aus Amalgamfüllungen hat eine Aufnahme von
Quecksilber im menschlichen Organismus zur Folge.
Die amalgambedingte durchschnittliche Quecksilberaufnahme
in Form von eingeatmetem Hg-Dampf liegt nach Angaben der
WHO [Weltgesundheitsorganisation] (1991 S.36), des BGA
[Bundesgesundheitsamt] (1994) und des BfArM
[Bundesinstitut für Arzneimittel und Medizinprodukte]
(1995 a) zwischen 3,8 µg bis 21 µg pro Tag. Sie beträgt
nach Ansicht des BfArM 1995 a) und des BGA (1994) maximal
das 6,5fache der durchschnittlichen Aufnahme pro Tag aus
anderen Quellen, also insbesondere aus der Nahrung.
Unberücksichtigt bleiben bei diesen Angaben die
zusätzliche amalgambedingte Hg-Aufnahme in Form von
Hg-Ionen, die mit dem Schlucken von Speichel dem
Organismus zugeführt werden, sowie z.B. die Diffusion von
Hg-Dampf aus Amalgamfüllungen in das die Mundhöhle
umgebende Gewebe (Clarkson 1992; vgl. auch Ziff 1995).
Zahnfüllungen aus Amalgam bilden bei der Normalbevölkerung
(d.h. bei beruflich nicht Quecksilber exponierten
Personen) die primäre Quelle nicht nur für die Aufnahme
anorganischen Quecksilbers (Visser 1993 S.94; Clarkson et
al. 1988 b (S.57); vgl. auch Schupp 1994 S.191), sondern
auch für die tägliche
Gesamtaufnahme an Quecksilber
(Medical Devices Bureau, Health, Canada, (1994):
"the largest source of
mercury" [die Grösste Quelle für Quecksilber].
Amalgamfüllungen verursachen nach den Feststellungen am
Hygiene-Institut des Ruhrgebiets (Ewers 1991) bei der
Normalbevölkerung eine weit höhere tägliche
Quecksilberaufnahme als die Summe der Hg-Aufnahme aus
allen anderen Hg-Quellen. Nach einer Studie am Institut
für Toxikologie der Universität Düsseldorf (Wilhelm et al.
1993 i.V.m. Wilhelm 1994) vermag bei grossen
Füllungsflächen die amalgambedingte Quecksilberzufuhr die
Hg-Aufnahme durch Luft, Lebensmittel und Trinkwasser sogar
um das 9fache zu überschreiten.
[Faktoren Kauen,
Zähneknirschen, Schnarchen, Zähnebürsten, saure und
heisse Speisen: Noch höhere Lösung von Quecksilber bis
zu 10-fach so hoch wie Quecksilber aus anderen Quellen]
Durch häufiges Kauen, durch Zähneknirschen, Schnarchen,
Zähnebürsten, durch ein saures Mundmilieu und - wie seit
1965 bewiesen - durch heisse Nahrungsmittel, kann sich die
Hg-Freisetzung aus den Amalgamoberflächen drastisch
erhöhen mit der Folge, dass die Menge des aus
Amalgamfüllungen aufgenommenen Quecksilbers sich auf das
Zehnfache des Durchschnittswertes beläuft (Vimy /
Lorscheider 1990). Schiele (1991 b), damals Institut für
Arbeits- und Sozialmedizin der Universität Erlangen, geht
dementsprechend von einer täglichen Hg-Aufnahme aus
Amalgamfüllungen in Höhe von bis zu ca. 100 µg aus (ebenso
Lorscheider et al. 1995; Lorscheider / Vimy 1991).
|
Hitze und
Kauen provozieren beide einen hohen
Quecksilberschub aus Amalgamfüllungen, Hitze
durch Dampf, und Kauen durch Abrieb, z.B. beim
Kauen von heissen Kartoffeln [7]
|
|
Zähneknirschen provoziert Abrieb bei
Amalgamfüllungen und provoziert einen hohen
Quecksilberschub [8]
|
|
Zähneputzen
provoziert Abrieb bei Amalgamfüllungen und
provoziert einen hohen Quecksilberschub [9]
|
|
Ein saures
Mundmilieu, z.B. durch Orangen oder
Orangensaft, greift die Amalgamfüllungen an
und provoziert einen Quecksilberschub [10]
|
|
|
|
[Proportional höhere
Hg-Werte in Blut, Urin, Stuhl, Speichel, Atemluft und in
Organen]
e)
Diese gegenüber allen anderen Hg-Quellen bei der
Normalbevölkerung dominierende Quecksilberaufnahme aus
Amalgamfüllungen geht einher mit erhöhten Hg-Werten in
Blut, Urin und Stuhl, Speichel, Atemluft und in Organen
von Amalgamträgern im Vergleich zu den entsprechenden
Werten bei Nichtamalgamträgern. Sie ist insofern die
"wesentliche Dominante" (S.58)
(Schiele et al. 1989) für die Quecksilberbelastung der
Allgemeinbevölkerung.
aa)
Amalgambedingte
Quecksilberbelastungen im Blut
Das Blut zeigte sich u.a. in Studien von Pallotti et al.
(1979), Kuntz et al. (1982), Gasser (1984) und Abraham et
al. (1984) bei Amalgamträgern erhöht mit Quecksilber
belastet. Es besteht eine Korrelation zwischen der Zahl
bzw. der Oberflächengrösse der Amalgamfüllungen einerseits
und der Höhe der Hg-Kontamination andererseits. Dass diese
Korrelation nicht zufallsbedingt, sondern mit beweisend
ist für die Giftfreisetzung aus Amalgam, wird von
niemandem bestritten.
|
Blut am Finger [11]:
Menschen mit Amalgamfüllungen haben eine erhöhte
Quecksilberbelastung im Blut. Eigentlich dürften
Menschen mit Amalgamfüllungen also kein Blut
spenden, weil ihr Blut quecksilberverseucht ist.
Aber das hat bis heute kein Richter germerkt...
|
bb)
Amalgambedingte
Quecksilberbelastungen im Urin
Auch im Urin sind durch Amalgam verursachte erhöhte
Hg-Werte nachweisbar. Bereits bei Kindern
(Landesgesundheitsamt Baden-Württemberg 1994; Schulte et
al. 1994) hat eine zunehmende Anzahl von Amalgamfüllungen
im Mund u.a. einen proportional ansteigenden Hg-Gehalt im
Urin zur Folge. Eine derartige Korrelation ist auch bei
Amalgamträgern im Erwachsenenalter nachgewiesen. Die
Studien hierzu u.a. von Zander et al. (1990); Schiele /
Kröncke (1989); Langworth et al. (1988) und Olstad et al.
(1987) werden in der wissenschaftlichen Diskussion als
eindeutige Beweise dafür gewertet, dass Amalgamfüllungen
Ursache eines permanent - im Vergleich zu den Werten bei
Nichtamalgamträgern - erhöhten Hg-Gehalts im Urin sein
können. Festgestellt wurden bei Amalgamträgern Werte bis
zu 14 µg / g [Mikrogramm pro Gramm] Kreatinin
[Ausscheidungsprodukt des Kreatins (Stoffwechselprodukt
des Eiweisses im Muskelsaft von Wirbeltieren und des
Menschen)], während der Hg-Gehalt im Urin bei
Nichtamalgamträgern normalerweise unter 1 µg / g Kreatinin
liegt (Ewers 1991). Weiner et al. (1990) berichten über
amalgambedingte Werte von mehr als 20 µg Hg / l Urin bei
Amalgamträgern (S.59).
|
Urin in einer
Flasche [12]: Menschen mit Amalgamfüllungen
haben eine erhöhte Quecksilberbelastung im Urin.
Dann geht das in die Kläranlage, und das
Quecksilber landet im Klärschlamm oder in den
Flüssen, Seen und Meeren, bis heute (2008) ganz
legal... |
[Hg-Konzentrationen bei
frischen Amalgamzahnfüllungen: Zander et al. 1990: 14
Tage Spitzenwerte - Molin et al. 1990: Anstieg der
Hg-Ausscheidung während dreier Monate]
Besonders signifikant ist der Anstieg der Hg-Konzentration
nach dem Legen einer Amalgamfüllung: Bei den 23 Probanden
einer Studie am Zentrum für Rechtsmedizin der Universität
Frankfurt / M. (Schneider 1976 S.32 u. 34) zeigte sich
eine Erhöhung des Hg-Gehalts im Urin auf durchschnittlich
mehr als das 7fache des Ausgangswerts. Der festgestellte
Spitzenwert (31,8 µg Hg / l Urin) lag um das 39fache über
dem Ausgangswert (0,8 µg Hg / l Urin).
Auch bei Forschungen am Medizinischen Institut für
Umwelthygiene der Universität Düsseldorf zeigte sich, dass
das Legen einer Amalgamfüllung den Quecksilbergehalt im
Urin signifikant erhöht. Die Autoren Zander et al. (1990)
stellen des weiteren fest: "Die Quecksilberausscheidung
wies bei diesen Personen über einen Zeitraum von 14 Tagen
keinen statisch signifikanten Trend zu abfallenden Werten
auf."
Molin et al. (1990 a), Universitätszahnklinik Umea,
Schweden, fanden sogar während eines Zeitraums von drei
Monaten einen ständigen Anstieg des Hg-Gehalts im Urin
nach dem Legen von Amalgamfüllungen.
[Hickel et al. 1995:
Amalgamzahnfüllungen im Mund sind schlimmer als die
zahntechnische Arbeit mit Amalgam]
Hickel et al. (1995), Universitätszahnklinik Erlangen,
untersuchten "Die Quecksilberbelastung von
Zahnmedizinstudenten nach beruflicher Exposition". Nach
siebenmonatiger beruflicher Tätigkeit mit Amalgam ergab
die Auswertung von Urinanalysen auf Quecksilber bei den 51
Probanden: "Die Zahl der eigenen Amalgamfüllungen hatte
einen grösseren Einfluss als die noch kurze berufliche
Exposition der Studenten."
Sowohl vor als auch nach diesem siebenmonatigen
beruflichen Umgang mit Amalgam bestand im Gesamtkollektiv
eine Korrelation zwischen der Zahl der eigenen
Amalgamfüllungen und der Hg-Belastung des (S.60)
Urins. Zu beiden Zeitpunkten war der Unterschied zwischen
Probanden mit und ohne eigene Amalgamfüllungen "hoch
signifikant". Zwar stiegen die Hg-Konzentrationen im Urin
durch den Umgang mit Amalgam an, "die Zahl der eigenen
Amalgamfüllungen hatte in dieser Studie aber einen
wesentlich höheren Einfluss" (Hickel et al. 1995). Eine
Korrelation der Hg-Ausscheidung im Urin mit der Zahl der
Oberflächen der eigenen Amalgamfüllungen ist auch bei
Zahnärzten festzustellen (Skare et al. 1990).
cc)
Amalgambedingte
Quecksilberbelastungen im Stuhl
|
Der Menschenkuchen
[13] (analog zu Hundekuchen, volkstümlich auch
"Scheisse" genannt) ist schwer mit Quecksilber
belastet, wenn man Amalgamfüllungen hat. Dann
geht das in die Kläranlage, und das Quecksilber
landet im Klärschlamm oder in den Flüssen, Seen
und Meeren, bis heute (2008) ganz legal... |
[Je mehr
Amalgamzahnfüllungen - desto mehr Quecksilber im Stuhl]
Stuhluntersuchungen bei zehn der in der schwedischen
Studie von Skare / Engqvist (1994) einbezogenen Probanden
ergaben bei Amalgamträgern eine tägliche Hg-Ausscheidung
über den Stuhl in Höhe von bis zu 190 µg. Dieser Wert
liegt um den Faktor 100 über der - nach einer aktuellen
Studie (Becker / Kumpulainen 1991) mit 1,8 µg / Tag
anzusetzenden - durchschnittlichen Quecksilberaufnahme mit
der Nahrung in Schweden und übersteigt um den gleichen
Faktor den von Skare / Engqvist (1994) bei amalgamfreier
zahnärztlicher Versorgung festgestellten Hg-Gehalt im
Stuhl. Es bestand bei den Probanden eine Korrelation
zwischen der Anzahl der Amalgamoberflächen im Mund und dem
Ausmass der Hg-Ausscheidung im Stuhl.
[Malmström 1992:
Amalgamfüllung bewirkt ein Ansteigen von 23 auf 3.200 µg Quecksilber pro kg Stuhl]
Malmström (1992) berichtet über einen Anstieg des
Hg-Gehalts im Stuhl nach dem Legen einer kleinen
Amalgamfüllung bei einem 11jährigen Mädchen, das zuvor
noch nicht mit Amalgam behandelt worden war: Von 23 µg /
kg auf 3.200 µg / kg erhöhte sich die
Quecksilberausscheidung im Stuhl (Höchstwert am dritten
Tag nach der Behandlung) und blieb einen Monat lang bei
erhöhten Werten von über bzw. um 100 µg / kg. (S.61)
dd)
Amalgambedingte
Quecksilberbelastungen im Speichel [Quecksilber im
Speichel, z.B. durch Kaugummi kauen]
Der Speichel ist bei Amalgamträgern ebenfalls signifikant
höher mit Quecksilber kontaminiert als bei
Nichtamalgamträgern. Um mehr als das 16fache lag bei einer
Studie der Universitätszahnklinik Erlangen (Ott et al.
1984) der Hg-Gehalt im Speichel von Amalgamträgern (4,9 µg
/ l) über der Hg-Belastung des Speichels bei
Nichtamalgamträgern (0,3 µg/l); angegeben ist jeweils der
Medianwert (das ist derjenige Wert, von dem 50 % der
untersuchten Proben nach oben und 50 % der untersuchten
Proben nach unten abweichen).
Das Kauen von z.B. Kaugummi führt im Speichel zu einer
deutlichen Erhöhung des Hg-Werts bei Amalgamträgern. Am
Ende einer 10minütigen Kauperiode (Kaugummi) beliefen sich
bei der Studie von Ott et al. (1984) die
Hg-Konzentrationen bei Amalgamträgern auf 13,0 µg / l
Speichel, während sich die Hg-Konzentrationen im Speichel
von Personen ohne Amalgamfüllungen nicht signifikant
veränderten (0,4 µg / l nach der Kauphase). Der nach dem
Kaugummikauen bei Amalgamträgern vorgefundene Maximalwert
belief sich auf 193,8 µg Hg / l Speichel und lag damit um
mehr als das 120 fache über dem bei Nichtamalgamträgern
gemessenen Höchstwert von 1,5 µg Hg / l Speichel (Ott et
al. 1984). Auch Daunderer (1990) berichtet über einen
Anstieg des Hg-Gehalts im Speichel auf 190 µg / l nach nur
10minütigem Kaugummikauen bei einem Probanden mit neun
Amalgamfüllungen.
Engin-Deniz et al. (1992), Universitätszahnklinik Wien,
untersuchten den Speichel von 32 Kindern im Altern von 10
Jahren. Als Ausgangswerte ergaben sich Hg-Anreicherungen
von bis zu 6 µg / l Speichel bei Amalgamträgern
(Vergleichswert bei amalgamfreien Kindern: 0,08 µg / l
maximal). Ein 10minütiges Kaugummikauen verursachte einen
(S.62)
Anstieg der Hg-Belastung im Speichel bis auf mehr
als das 250fache des Ausgangswerts (demgegenüber
verbleiben bei amalgamfreien Kindern auch nach dem
Kaugummikauen sämtliche Hg-Werte unter 0,1 µg / l
Speichel).

Wenn Sie
Amalgamfüllungen haben und küssen [14], dann
geben Sie ihrem Partner durch Ihren Speichel
Quecksilber mit, ganz legal...
|
|

Und Kaugummi
[15] bewirkt bei Amalgamträgern mit seiner
Klebrigkeit, dass sich noch mehr Quecksilber
im Speichel befindet, ganz legal, ohne dass
ein Richter diese Volksvergiftung stoppen
würde...
|
Wenn Sie also
küssen und gleichzeitig Amalgam und einen
Kaugummi im Mund haben, dann übertragen Sie am
meisten Quecksilber durch ihren Speichel an
die Partnerperson, ganz legal, ohne dass ein
Richter das stoppen würde...
|
In einer Studie der Universitätszahnklinik Ulm (Mayer et
al. 1994) wiesen Probanden mit mehr als 12
Amalgamfüllungen als ständige Hg-Belastung des Speichels
einen Wert von 32,7 µg / l auf. Die Hg-Konzentrationen im
Speichel stiegen bei den Probanden mit Amalgamfüllungen
während eines 5minütigen Kaugummikauens auf den 2 -
10 fachen Wert an. Die Probanden ohne
Amalgamfüllungen zeigten weder vor noch nach der Kauphase
nachweisbare Hg-Werte im Speichel.
Zinecker (1992) berichtet über Werte von 52 - 138 µg Hg /
l Speichel vor und von bis zu 240 µg Hg / l Speichel nach
der Kauphase.
Auch in einer Studie an der Universitäts-Frauenklinik
Heidelberg (Gerhard et al. 1992) ergaben sich
ausgesprochen hohe Hg-Werte im Speichel von Amalgamträgern
mit einer überdurchschnittlichen Anzahl von Füllungen:
Personen mit 11 und mehr Amalgamfüllungen wiesen einen
Hg-Gehalt im Speichel von 101 µg / l auf, der sich durch
10minütiges Kaugummikauen zusätzlich erhöhte. Nach
10minütigem Kaugummikauen wurden in der
Universitäts-Frauenklinik Heidelberg (Gerhard / Runnebaum
1992 b) Werte bis zu 800 µg Hg / l Speichel festgestellt.
Brune / Evje (1985) untersuchten den Anteil des ionischen
Quecksilbers an der Gesamt-Hg-Kontamination des Speichels
aus Amalgamfüllungen. Die Untersuchungsergebnisse sprechen
dafür, dass allein schon der Anteil des (S.63)
ionischen Hg im Speichel zu einer Hg-Zufuhr von 18 µg
führen und damit - so die Bewertung durch die Autoren -
der nahrungsbedingten Hg-Aufnahme entsprechen kann (ebenso
Brune 1986). Mit diesen an natürlichem Speichel
ermittelten Untersuchungsergebnissen wurden vorhergehende
an künstlichem Speichel durchgeführte Forschungen (Herö et
al. 1983) zur amalgambedingten Quecksilber-Kontamination
des Speichels und insbesondere zum Anteil des ionischen Hg
bestätigt.
Diese Forschungsergebnisse übersieht Ott (1993), wenn er
ausführt, es sei "nicht bekannt, in welcher Form -
elementar, ionisch- anorganisch oder organisch gebunden -
diese Spuren von Quecksilber vorliegen, die im Speichel
analysiert werden können ..." Unzutreffend und eindeutig
verharmlosend ist des weiteren die Vermutung Otts (a.a.
O.), die im Speichel von Amalgamträgern vorzufindenden
Hg-Mengen seien "mechanisch abradierte Metallpartikel aus
der Füllungsoberfläche." Die Existenz amalgambedingten
ionischen
Quecksilbers im Speichel, die im Vergleich zu
Amalgampartikeln deutlich höhere Resorptionsquote und die
toxikologisch relevante Nierentoxizität dieser Form der
Hg-Freisetzung aus Amalgamfüllungen in den Speichel werden
von Ott völlig verkannt.
ee)
Amalgambedingte
Quecksilberbelastungen in der Atemluft [Hg-Dampf in der
Mundhöhle - Faktor Kaugummi kauen: 100fach mehr Hg in
der Atemluft]
In der Atemluft steigt der Quecksilbergehalt als Folge der
Anwendung von Amalgam ebenfalls drastisch an. Studien an
in- und ausländischen Universitäten erbrachten Beweise
dafür, dass die Quecksilber-Kontamination der intraoralen
und der Ausatemluft bei Amalgamträgern permanent um ein
Mehrfaches über den bei Nichtamalgamträgern gefundenen
Werten liegt (Gay et al. 1979; Svare et al. 1981; Ott et
al. 1984; Fredin 1988). Durch Kauen z.B. (S.64)
von Kaugummi erhöht sich der Hg-Dampf-Gehalt in der
Mundhöhle bei Amalgamträgern zusätzlich.
|
Frischer Atem [16],
z.B. bei einem Mund-zu-Mund-Flirt, ist nicht
möglich, wenn Sie Amalgam im Mund haben, denn
Sie haben immer Quecksilberluft im Mund, die
eigentlich zuerst gefiltert und gereinigt werden
muss. Wenn man auch noch gerade einen Kaugummi
kaut, dann wird die Atemluft um das zig-fache
mehr mit Quecksilber belastet, ganz legal... |
Bei einer Studie an der Universität Iowa (Svare et al.
1981) ergab sich nach 10minütigem Kaugummikauen bei
Amalgamträgern ein Anstieg von 0,88 µg / m
3
Ausatemluft auf 13,74 µg / m
3
Ausatemluft (angegeben sind die Durchschnittswerte). Der
Spitzenwert nach der Kauphase betrug 87,5 µg / m
3
Ausatemluft. Demgegenüber wies bei Nichtamalgamträgern die
Ausatemluft nach dem Kaugummikauen (0,13 µg / m
3)
keinen höheren Hg-Anteil auf als vor dem Kauen (0,26 µg /
m
3).
Nach dem Abschluss der 10minütigen Kauphase lag der
durchschnittliche Hg-Gehalt in der Ausatemluft von
Amalgamträgern daher um mehr als das 100fache über dem von
Nichtamalgamträgern.
Die interorale Luft von Amalgamträgern erwies sich in
einer Studie an der Universität Calgary (Vimy /
Lorscheider 1985 a) mit 4,9 µg / m
3
ebenfalls um ein Vielfaches des entsprechenden Werts bei
Nichtamalgamträgern (0,54 µg / m
3)
höher quecksilberbelastet. Durch eine Kauphase (Kaugummi)
von 10 Minuten erhöhte sich die Hg-Kontamination bei
Amalgamträgern auf 29,1 µg / m
3
und lag damit um das 54fache über dem Ausgangswert bei
Nichtamalgamträgern, dieser hatte sich durch das Kauen
nicht signifikant verändert. Bei Personen mit 12 und mehr
Amalgamfüllungen stieg der Hg-Gehalt der intraoralen Luft
während einer 30minütigen Kauphase auf 45 µg / m
3
(Vimy / Lorscheider 1985 b). Anschliessend sank er
ausgesprochen langsam und lag nach einer Stunde immer noch
bei 19,5 µg / m
3; dies
entspricht mehr als dem dreifachen Hg-Wert vor dem Beginn
der Kauphase (6 µg / m
3) dieser
Probandengruppe (S.65) (Vimy / Lorscheider 1985 b). Bis
auf 400 µg / m
3 stieg in einer
Studie von Utt (1985) der Hg-Gehalt in der intraoralen
Luft bei Amalgamträgern nach 5minütigem Kaugummikauen.
Ebenso wie das Kauen können auch das Trinken einer heissen
Flüssigkeit (BGA 1992 a; Fredin 1988), ein saures
Mundmilieu (Vimy / Lorscheider 1990), Zähnebürsten (Dérand
1989; Patterson et al. 1985; Kropp / Hausselt 1983) und
Alkohol (Ott 1993) die Hg-Freisetzung aus Amalgamfüllungen
erhöhen. Die Folgen sind u.a. ein Anstieg des
Hg-Dampf-Gehalts in der Mundhöhle und eine gesteigerte
Quecksilberaufnahme seitens des Organismus. Es besteht
eine Korrelation zwischen der Zahl bzw. Füllungsgrösse der
Amalgamfüllungen und dem Ausmass der Hg-Kontamination der
intraoralen bzw. der Ausatemluft.
ff)
Amalgambedingte
Quecksilberbelastungen in Organen wie Gehirn,
Knochenmark, Leber, Niere u.v.a.m. [die
"Organanreicherung" von Quecksilber durch
Quecksilberdampf aus Zahnfüllungen]
Gehirn [17]:
Quecksilber aus Amalgam wird ins Blut
übertragen und reichert sich im Gehirn an,
ganz legal, ohne dass ein Richter eingreifen
würde...
|
|
Knochenmark
[18] ist in Brustbein, Rippen, Schädelknochen,
Schlüsselbeinen, Wirbelkörpern, Becken, und in
den Oberarm- und Oberschenkelknochen. Das
Knochenmark bildet fast alle Blutzellen des
Körpers.
|
 Leber
[19]: Quecksilber aus Amalgam wird ins Blut
übertragen und reichert sich in der Leber an,
ganz legal, ohne dass ein Richter eingreifen
würde...
|
|
Niere [20]:
Quecksilber aus Amalgam wird ins Blut
übertragen und reichert sich in den Nieren an,
ganz legal, ohne dass ein Richter eingreifen
würde. Ein Nierenschaden durch
Quecksilbervergiftung ist bis heute keine
Körperverletzung... Eine transplantierte Niere
"hält" durchschnittlich nur 10 Jahre...
|
[Generelle Angaben, dass
Amalgamquecksilber die Organe verseucht]
Amalgamfüllungen führen zu Quecksilberanreicherungen in
verschiedenen untersuchten Organen, vor allem in den
Zielorganen dieses Gifts.
Dies ist seit Jahrzehnten bekannt.
Bereits der unter III. 6. c) erwähnte Tierversuch von
Bönig-Keibel (1961) sprach für eine messbare Ablagerung
von Quecksilber aus Amalgamfüllungen in Leber und Nieren.
Unter Einbeziehung mehrerer bereits damals
wissenschaftlich anerkannter Literaturnachweise stellte
Reis (1960 S.380) in seiner Dissertation fest:
"Allgemein ist die
Tatsache anerkannt, dass Amalgamträger in allen Organen
einen höheren Quecksilbergehalt aufweisen als
Quecksilber-Fremde." (S.66)
Eine ganze Seite seiner von der Universität Erlangen mit
der Verleihung des Doktorgrades gewürdigten Ausarbeitung
widmet Reis (1960 S.381) einer tabellarischen Übersicht,
aus der sich ergibt, um welchen Faktor Träger von
Amalgamfüllungen in den jeweiligen Organen höher
quecksilberbelastet sind als Nichtamalgamträger. Ob
Nieren, Leber, Hypophyse, ob Gehirn, Schilddrüse,
Nebenniere, ob Fettgewebe, Tonsillen, Lymphdrüsen, ob
Magen, Appendix, Herz oder Gallenblase - jedes dieser
Organe wies schon zu Beginn der 60er Jahre bei
Amalgamträgern ein Mehrfaches der Hg-Belastung im
Vergleich zu den entsprechenden Organen von
Nichtamalgamträgern auf, und dies war bereits damals der
wissenschaftlichen Öffentlichkeit auf bekannt.
Bekannt war ebenfalls, dass selbst nach dem Entfernen von
Zähnen, die amalgamgefüllt waren, die Organe noch
weiterhin den höheren Quecksilbergehalt der Amalgamträger
aufweisen (Reise 1960 S.380).
Allen Amalgamherstellern, die behaupten, sich
pflichtgemäss über den wissenschaftlichen Kenntnisstand zu
den gesundheitlichen Folgen des von ihnen hergestellten
Arzneimittels informiert zu haben, war darüber hinaus auch
die folgende Tatsache bewusst:
"Eindeutig steht fest,
dass durch Amalgamfüllungen eine chronische
Quecksilber-Intoxikation hervorgerufen werden kann."
(Reis 1960 S.382)
Auch im "Biochemischen Taschenbuch" von Rauen (1964 S.402)
wird auf die Organanreicherung von Quecksilber aus
Amalgamfüllungen hingewiesen. Unter der Überschrift
"Gehirn" (S.67) findet sich als Angabe zum
Quecksilbergehalt (mg Hg / 100 g Frischgewicht
[Gehirnmasse]):
"Hg 0 - 0,009 (0,001 -
0,050 bei Amalgamträgern)".
Die angegebenen Spitzenwerte differieren also um mehr als
das 5fache.
Insgesamt war demnach bereits in den 60er Jahren bekannt:
Die Quecksilberbelastung
aus Amalgamfüllungen kann in den untersuchten Organen
ein Vielfaches der Hg-Belastung aus der Nahrung und
anderen Quellen ausmachen. Dieses schon damals
vorhandene Wissen ist in weiteren Studien auch aktuelleren
Datums bestätigt worden. Hg-Analysen am Sektionsgut
verstorbener Amalgamträger zeigten erneut amalgambedingte
Quecksilberanreicherungen u.a. in Leber, Nieren, Gehirn
und auch im Knochenmark. Es besteht eine Korrelation
zwischen der Zahl bzw. der Oberflächengrösse der
Amalgamfüllungen im Mund und dem Ausmass der Hg-Belastung
der untersuchten Organe. So berichtete Schiele (1984) über
seine Studie an der Universität Erlangen: "Die
korrelationsanalytische Auswertung ergab auch hier
"auffällige Zusammenhänge
(p < 0,05 - 0,001) zwischen der Zahl und den
bewerteten Flächen der Füllungen einerseits und den
Quecksilber-Konzentrationen von Gehirn und Nieren
andererseits."
[Friberg et al 1986:
Hauptbelastung anorganisches Quecksilber aus
Quecksilberdampf im Gehirn]
Bei vergleichbaren Studien am Karolinska-Institut in
Stockholm wurde zusätzlich ermittelt, wie hoch der Anteil
des aus
anorganischen
Hg-Verbindungen stammenden Quecksilbers am
Gesamt-Hg-Gehalt im Gehirn war. Aus dem vorgefundenen Wert
von 77 % schliesst der Leiter dieser (S.68) Forschungen
Friberg (Friberg et al. 1986), dass die Hauptbelastung des
Gehirns mit Quecksilber nicht aus der Nahrung mit ihren
vorwiegend organischen Quecksilberverbindungen herrührt.
Der hohe Anteil des Quecksilbers aus anorganischen
Quecksilberverbindungen spricht vielmehr für eine
Hauptbelastung durch das Einatmen von Quecksilberdampf,
wie er aus Amalgamfüllungen freigesetzt wird.
Weitere Studien in Schweden zeigten erneut eine
Korrelation zwischen Quecksilberanreicherungen im Gehirn
und der Zahl der im Mund vorhandenen Amalgamfüllungen
(Eggleston / Nylander 1987; Nylander et al. 1987). Darüber
hinaus war die gleiche Abhängigkeit wie bei den
Untersuchungen Schieles (1984) auch zwischen dem
Quecksilbergehalt in den Nieren und der Anzahl der
Amalgamoberflächen festzustellen (Nylander et al. 1987).
[Studien an Verseuchung
von Knochenmark, Nieren, Leber, Bauchmuskulatur und
Hypophyse (Hirnanhangdrüse) mit Quecksilber]
In nachfolgenden Untersuchungen am Institut für Arbeits-
und Sozialmedizin der Universität Erlangen (Bauer 1989
S.28-55) wurden darüber hinaus Knochenmark und Leber
einbezogen. Auch hier stieg die Quecksilberbelastung mit
Zunahme der Zahl der Amalgamfüllungen im Mund. Die gleiche
Korrelation ergab sich wiederum in einer schwedischen
Studie (Weiner / Nylander 1993) auch im Hinblick auf den
Quecksilbergehalt in der Bauchmuskulatur und in der
Hypophyse.
Bei Personen mit 10 und mehr Amalgamfüllungen war - so das
Ergebnis einer Studie am Institut für Rechtsmedizin der
Universität München (Drasch et al. 1992) - der
Quecksilbergehalt in den Nieren um den Faktor 11, der
Quecksilbergehalt in der Leber um den Faktor 4, und der
Quecksilbergehalt im Gehirn um den Faktor 2 höher als bei
amalgamfreien Personen (S.69).
|
Bauchmuskulatur [21]: Quecksilber aus Amalgam
wird ins Blut übertragen und reichert sich in
der Bauchmuskulatur an, ganz legal, ohne dass
ein Richter eingreifen würde...
|
|
Hypophyse
[22]: Quecksilber aus Amalgam wird ins Blut
übertragen und reichert sich in der Hypophyse
(Hirnanhangdrüse) an, ganz legal, ohne dass
bis heute (2008) ein Richter eingreifen
würde...
|
[Höchste Hg-Verseuchung
bei Nieren von Neugeborenen von Amalgammüttern mit
Amalgamzahnfüllungen]
Sogar Feten [Föten] und Säuglinge sind in Leber und Nieren
bzw. in Gehirn und Nieren als Folge von Amalgamfüllungen
der Mutter bereits quecksilberbelastet (Drasch et al.
1994). Das Ausmass dieser fetalen bzw. frühkindlichen
amalgambedingten Quecksilberbelastung ist gravierend:
Babys (im Alter von 11 - 50 Wochen) von Müttern mit mehr
als 10 Amalgamfüllungen wiesen - in Korrelation mit dem
Amalgamstatus der Mütter - Werte von bis zu
2.543,8 µg Hg / kg
Nierengewebe
(Feuchtgewicht, so auch bei den folgenden Gewichtsangaben)
auf. Diese amalgambedingte Quecksilber-Konzentration liegt
weit über dem von Drasch et al. (1992) bei einem
Gesamtkollektiv von 166
Erwachsenen festgestellten
Spitzenwert (1.598,0 µg Hg / kg Nierengewebe). Die von
Schiele et al. (1981) bei 51 Verstorbenen im Alter
zwischen 10 und 100 Jahren in den Nieren gemessenen
Spitzenwerte von bis zu 801 µg Hg / kg Nierengewebe werden
als Folge von Amalgamfüllungen der Mütter bei Babys z.T.
um mehr als das 3fache überschritten. auch die bei
Verstorbenen nach einem Berufsleben als
Zahnarzt in
den Nieren vorgefundenen Hg-Werte - bis zu 2.110 µg Hg /
kg Nierengewebe (Nylander et al. 1989) - liegen noch
deutlich unter den bei Babys amalgambehandelter Mütter
ermittelten Quecksilber-Konzentrationen in den Nieren.
Sogar ein Teil der von Kosta et al. (1975) untersuchten
Quecksilber-Bergarbeiter
hatte eine niedrigere Hg-Belastung in den Nieren (2.300 µg
Hg / kg Nierengewebe), als sie durch Amalgamfüllungen der
Mütter im Nierengewebe der Babys verursacht werden kann.
Babys (11 - 50 Wochen) von Müttern mit 0 - lediglich 2
Amalgamfüllungen wiesen in der Studie von Drasch et al.
(1994) einen Spitzenwert von 75,9 µg Hg / kg Nierengewebe
(S.70)
auf. Mit Zunahme der Zahl der Amalgamfüllungen der Mütter
auf über 10 steigt der Quecksilbergehalt (Spitzenwert) in
den Nieren von Baby also auf mehr als das 30fache.
[Tierversuch 1990:
Quecksilber in neugeborenen Tieren v.a. in Gehirn,
Nieren und Leber]
Diese Forschungsergebnisse aus dem Institut für
Rechtsmedizin der Universität München waren keineswegs
unerwartete Beweise für die mit der Verwendung von
Amalgamfüllungen verbundenen Risiken. Tierexperimentelle
Untersuchungen (Danscher et al. 1990; Hahn et al. 1990;
Vimy et al. 1990; Hahn et al. 1989) mit Amalgamen, deren
Quecksilberanteil zuvor radioaktiv markiert worden war,
hatten erneut als die Hauptzielorgane des Quecksilbers aus
Amalgamfüllungen ergeben: Gehirn, Nieren und Leber;
ausserdem fanden sich amalgambedingte
Quecksilberanreicherungen u.a. in Hypophyse, Schilddrüse,
Lunge, Pankreas [Bauchspeicheldrüse], Milz, Gallenblase,
Spinalganglien, in der Plazenta und sogar in Organen von
Feten [Föten], deren Muttertieren Füllungen aus Amalgam
gelegt worden waren.
gg)
Amalgambedingte
Quecksilberbelastungen im Zahn-Mund-Kiefer-Bereich
|
Zahn-Schema [26]:
Das Dentin ist mit der Pulpa verbunden, wo das
Blut durchfliesst. Quecksilber von einer
Amalgamfüllung gelangt durch das Dentin in die
Pulpa und ins Blut, so dass der gesamte
Zahnfleisch und auch der Kiefer mit Quecksilber
angereichert wird und im Extremfall degeneriert.
Die Gesundheitsämter handeln bis heute (2008)
nicht und verbieten Amalgam nicht...
|
Amalgambedingte Quecksilberanreicherungen zeigten sich
ausserdem im Kieferknochen (Strubelt et al. 1988; Till /
Maly 1978), im Zahnfleischgewebe (Fredén et al. 1974; vgl.
auch Geis-Gerstorfer / Sauer 1986: in dem "die ganze
Palette der Legierungsbestandteile gefunden werden
kann."), in den Zahnwurzeln (Brune 1986; Till / May 1978),
im Schmelz (Brune 1986; Söremark et al. 1968) und im
Dentin (Rossiwall / Newesely 1977; Mocke 1971; Söremark et
al. 1968) amalgamgefüllter Zähne. (S.71)
Die Pulpa [weiche, gefässreiche Gewebemasse im Zahn] ist
nach Untersuchungen von Schiele et al. (1987) bei
amalgamgefüllten Zähnen 35mal (Medianwert) höher mit
Quecksilber belastet als bei amalgamfreien Zähnen.
Willershausen-Zönnchen et al. (1994) geben die Ergebnisse
ihrer diesbezgl. Untersuchungen an der
Universitätszahnklinik München mit den Worten wieder:
"Alle 48 amalgamfreien
Zähne wiesen Quecksilber-Konzentrationen unterhalb von
0,2 µg / Hg / kg Gewebe auf. Erhebliche Streuungen
fanden sich bei amalgamgefüllten Zähnen: Die Hg-Werte
schwankten von 0,2 µg / kg bis 3808 mg / kg mit signifikant höheren
Konzentrationen als bei amalgamfreien Zähnen (p ≤
0,0001)."
Hiernach
kann
Amalgam zu einer
mehr als 19 Millionen mal
höheren Hg-Belastung
der Pulpa führen, als die Pulpa amalgamfreier Zähne
aufweist.
[Faktor Dentinkanälchen -
die Verseuchung des gesamten Kiefers]
Gleichzeitig ist u.a. durch diese Studie der Nachweis
erbracht, dass Quecksilber nicht nur aus der Oberfläche
der jeweiligen Füllung freigesetzt wird, sondern
zusätzlich an der Unterseite der Füllung durch Diffusion
über die Dentinkanälchen
- in Pulpanähe befinden
sich bis zu 75.000 Dentinkanälchen pro mm2
(Ketterl 1984) -
in den Zahn gelangt. Hierdurch ist die Gefahr gegeben,
dass Quecksilber aus Amalgam auch auf diesem Wege über das
Gefässsystem und den Blutkreislauf in den Organismus
eingeschleust wird (vgl. Volz 1990 S.5) (S.72).
Einen "erheblichen Transfer von Quecksilber aus
Amalgamfüllungen in die Mundschleimhaut" fanden
Willershausen-Zönnchen et al. (1992); Patienten ohne
metallische Restauration hatten im Mittel eine
Hg-Konzentration von 118,4 ng/g Mundschleimhaut-Gewebe,
während der Vergleichswert bei Personen mit mehr als sechs
Amalgamfüllungen 2.302 ng / g Gewebe,
also nahezu das 20fache,
betrug. Die Autoren gehen davon aus, dass das
amalgambedingte
"Quecksilber über die hochvaskularisierte
Mundschleimhaut direkt in den Kreislauf gelangt."
Es handelt sich also um einen zusätzlichen Resorptionsweg
(BfArM 1995 b; vgl. auch Rechmann 1993 und bereits Scheer
1960), auf dem Quecksilber aus Amalgamfüllungen in den
Organismus gelangt.
Die Quecksilberbelastung aus Amalgamfüllungen kann, so die
Schlussfolgerung von Schiele (1991 a), insgesamt das
20fache der nahrungsbedingten Hg-Belastung betragen.
f)
Toxikologische Bewertung
Die toxikologische Beurteilung der Hg-Aufnahme und der
Hg-Anreicherung aus Silberamalgamfüllungen ergibt:
aa)
Verwendung des Begriffs
"Vergiftung" [Vergiftung
ist auch dann Vergiftung, wenn noch keine
Krankheitssymptome vorliegen]
Der Begriff "Intoxikation" bzw. "Vergiftung" hat im
Verlauf der jüngeren Zeit eine Eingrenzung seines
Anwendungsbereichs erfahren. Heute wird nicht mehr jede
durch Gift verursachte gesundheitliche Schädigung als
"Vergiftung" bezeichnet; vielmehr müssen als Voraussetzung
für die Verwendung dieses Begriffes nach dem derzeit
üblichen (S.73) Sprachgebrauch häufig zusätzliche
Voraussetzungen wie z.B. das Überschreiten bestimmter
Gift-Konzentrationswerte in Körperflüssigkeiten, weitere
pathologisch veränderte Laborparameter und ein klar
abgegrenztes Krankheitsbild hinzukommen, das sich von
solchen
anderer
Genese [Entstehung] eindeutig unterscheidet.
Hiernach lehnen einige Autoren es ab, im Zusammenhang mit
Amalgamfüllungen von einer "Vergiftung" zu sprechen. Die
definitorische Abgrenzung zwischen einer "Vergiftung" im
engeren Sinne einerseits und weiteren toxisch bedingten
Gesundheitsschäden andererseits kann hier dahinstehen.
Wichtig im hier relevanten Zusammenhang ist allein das
Faktum, dass toxisch bedingte Gesundheitsschäden auch dann
möglich sind, wenn eine "Vergiftung" i.e.S. - noch - nicht
vorliegt.
bb)
Zusammenwirken
verschiedener Hg-Formen [Die Kombination der Hg-Formen
wirkt wahrscheinlich schlimmer]
Die Verwendung von Amalgam führt zu einer Exposition des
Patienten gegenüber Quecksilber in
unterschiedlichen
Formen dieses Gifts. Die Hauptaufnahme von Hg aus Amalgam
erfolgt in Form von Hg-
Dampf (Riedl 1993 S.9;
Beratungskommission Toxikologie 1990; Halbach 1989).
Zusätzlich
ergibt sich u.a. eine Exposition gegenüber Hg-Ionen. Es
ist ausgeschlossen, dass beide Hg-Formen sich in ihrer
toxischen Wirkung gegenseitig abschwächen. Vielmehr ist
von einer kumulativen, wahrscheinlicher sogar von einer
sich gegenseitig
verstärkenden toxischen Wirksamkeit
beider Hg-Formen auszugehen. Quecksilberdampfexpositionen,
deren Ausmass in anderen Fällen als noch tolerabel
beurteilt werden, sind im Zusammenhang mit
Amalgamfüllungen ggf. nicht mehr als tolerabel zu
beurteilen, da die zusätzliche Hg-Ionen-Exposition aus
Amalgamfüllungen zu einem insgesamt weit höheren
Belastungsgrad führt. (S.74)
cc)
Kontinuität der
Exposition gegenüber Quecksilber aus Amalgamfüllungen
[Amalgamzahnfüllungen dampfen Tag und Nacht - schwere
Belastung durch Schnarchen und Zähneknirschen in der
Nacht]
Die Hg-Aufnahme aus Amalgamfüllungen in Form von Hg-Dampf
vollzieht sich kontinuierlich über Monate, Jahre und
Jahrzehnte. Die Exposition besteht nicht nur tagsüber,
also während eines begrenzten Zeitraums mit der sich
anschliessenden Möglichkeit der Regeneration; die
Exposition erfolgt vielmehr auch nachts (vor allem beim
Schnarchen (Diehl 1974 S.42) oder bei Bruxismus
[nächtliches Zähneknirschen] (Bergman 1986; Störtebecker
1985 S.143), also bei Zähneknirschen). In bezug auf diese
zeitliche Komponente muss die Hg-Exposition aus
Amalgamfüllungen demnach als gravierender eingeschätzt
werden als die am Arbeitsplatz erfolgende, also auf acht
Stunden täglich an fünf Arbeitstagen pro Woche begrenzte
Exposition: 128 expositionsfreie Stunden pro Woche mindern
die toxischen Auswirkungen der Arbeitsplatz-Exposition;
nennenswerte expositionsfreie Zeiträume sind bei
Amalgamfüllungen als Hg-Quelle im Gegensatz dazu
ausgeschlossen.
dd)
Toxizität täglich in
Dampf-Form aufgenommener Hg-Mengen [stärkste Warnung vor
Hg-Dampf]
Seit vielen Jahren ist zu den toxischen Risiken einer
solchen Hg-Exposition in der toxikologischen Wissenschaft
und in den verwandten Wissenschaftsbereichen anerkannt:
"Sehr giftig sind
Quecksilberdämpfe" (Gadamer 1969 S.984).
"Quecksilber ist in Dampfform ausserordentlich giftig."
(Bader 1985 S.678)
"Wir müssen bereits vor den allerkleinsten Mengen, die
auf lange Dauer auf den Menschen wirken, grössten
Respekt haben" (Baader / Holstein, zit. bei Mayer 1975
und bei Mayer 1980). (S.75)
"Die chronische Form der Erkrankung entsteht in der
Regel durch langzeitige Aufnahme kleinster
Quecksilbermengen." (Valentin et al. 1979 S.19)
"Schon minimale Spuren von Quecksilber können durch die
Einatmung schliesslich eine Vergiftung erzeugen. ... Der
Chemiker Stock hat 1926 ... darauf hingewiesen, dass
schon 0,02 bis 0,1 mg Quecksilberaufnahme pro
[Tag] die bei empfindlichen Menschen
Krankheitserscheinungen verursachen kann." (Baader
1961).
Ein Vergleich dieses Werts (0,02 - 0,1 mg = 20 - 100 µg)
mit den unter III. 6. c) und d) genannten Werten der
täglichen Quecksilberfreisetzung und -aufnahme aus
Amalgamfüllungen ergibt, dass die bereits im Jahre 1961 in
der Arbeitsmedizin als krankheitsauslösend beurteilte
Hg-Aufnahme pro Tag als Folge von Zahnfüllungen aus
Amalgam überschritten werden kann.
ee)
Bewertung des
amalgambedingten Hg-Gehalts im Speichel [Der Grenzwert
für Trinkwasser ist über 100-fach überschritten]
Der Grenzwert für die Quecksilber-Konzentration im
Trinkwasser liegt gemäss Trinkwasserverordnung bei 1 µg /
l. Eine Senkung dieses Grenzwerts auf 0,5 µg / l wird
diskutiert (Projahn et al. 1992).
Im Speichel von Amalgamträgern sind als ständige
Dauerbelastung je nach Füllungszahl Hg-Werte festgestellt
worden, die um mehr als das 100fache über diesem Grenzwert
lagen (Gerhard et al. 1992: 101 µg / l; Zinecker 1992: 138
µg / l; Ott et al. 1984: 143 µg / l). Bei Stimulation der
Hg-Freisetzung durch Kauen, durch ein saures Mundmilieu,
durch Zähnebürsten usw. erhöht sich der Hg-Gehalt im
Speichel zusätzlich. (S.76)
Es wäre nun völlig undiskutabel, angesichts des Grenzwerts
von 1 µg Hg / l Trinkwasser dem Verordnungsgeber
vorzuhalten, mit seiner Grenzwertfestsetzung eine
Verunsicherung breiter Bevölkerungskreise durch eine
unverantwortliche Panikmache zu betreiben. Ebenso
undiskutabel wäre es, das beschriebene Ausmass der
ständigen amalgambedingten Quecksilber-Kontamination des
Speichels als toxikologisch irrelevant zu bezeichnen. Es
handelt sich für die Betroffenen vielmehr um eine
unakzeptabel hohe Giftfracht, die zu einer schleichenden
Einschleusung und Ablagerung von Quecksilber im Organismus
beizutragen vermag. Das Risiko von
Quecksilberschadwirkungen, das durch den Grenzwert von 1
µg / l Trinkwasser gerade verhindert werden soll, wird
ganz gezielt provoziert, wenn das 100fache und mehr als
permanente Dauerzufuhr über den Speichel in den Körper
gelangt.
Das Bundesgesundheitsamt (1992 b) sah in bezug auf eine
Flüssigkeit mit einem vergleichsweise niedrigen
Quecksilbergehalt von nur 4,9 µg Hg / l Veranlassung, von
einer Zufuhr
"dringend abzuraten"
(zugrundegelegt wurde die dem geschluckten Speichelvolumen
entsprechende Menge von täglich ca. 1,5 l).
Die vom BGA bei seiner Negativäusserung angesetzten 4,9 µg
Hg / l Speichel können amalgambedingt um nahezu das
30fache - Ott et al. (1984): 143 µg Hg/l als permanente
Quecksilber-Kontamination des Speichels - überschritten
werden. Erst recht bei derart hohen Werten war und ist den
Betroffenen daher von einer Aufrechterhaltung dieser4
Quecksilberexposition und gar von der Neuverlegung
zusätzlicher (S.77)
Amalgamfüllungen aus toxikologischen Gründen - so die
Worte des BGA (1992 b) - "dringend abzuraten".
ff)
Bewertung des
amalgambedingten Hg-Gehalts in der Atemluft [der
Grenzwert für Hg in der Raumluft wird bis um das
10-fache (D) bzw. um das 25-fache (WHO) überschritten]
Auch im Hinblick auf den Hg-Dampf-Gehalt in der Mundhöhle
werden als Folge von Amalgamfüllungen Werte überschritten,
die als Schutz vor Quecksilberschäden festgesetzt worden
und anerkannt sind.
- Bei einer zeitlich nicht auf den Arbeitsbereich
begrenzten, sondern ständig stattfindenden
Hg-Dampf-Exposition ist als Massstab der Grenzwert für Hg
in der Wohnraumluft heranzuziehen. Er wird mit 1/40 des
MAK-Werts angegeben (McNeil 1984 vgl. auch Günther 1992
S.10). Ausgehend von dem in Deutschland gültigen MAK-Wert
(100 µg Hg / m
3 Luft) ergibt
sich daher ein Wert von 2,5 µg Hg / m
3
Luft. In Ländern, deren Sachverständigen-Kommissionen den
MAK-Wert niedriger angesetzt haben, liegt auch der
Grenzwert für die Wohnraumluft entsprechend unterhalb des
in Deutschland gültigen Werts von 2,5 µg Hg / l. Die WHO
(Ollroge 1994) und die amerikanische Umweltbehörde U.S.
Environmental Protection Agency EPA (Hanson / Pleva 1991)
halten zu Recht bei der Allgemeinbevölkerung die
Einhaltung von 1 µg Hg / m
3 Luft
als Obergrenze der Hg-Dampf-Exposition durch die
Wohnraumluft für geboten.
Beide genannten Grenzwerte für die Hg-Kontamination der
Wohnraumluft können in der Mundhöhle bzw. in der
Ausatemluft als Folge von Amalgam überschritten werden.
Schon vor der Stimulation der Hg-Freisetzung aus den
Füllungsoberflächen durch Kauen, Zähneputzen usw. fanden
sich als ständige Dauerbelastung bei Amalgamträgern in
verschiedenen Studien (S.78)
(Vimy / Lorscheider (1985 a): 4,9 µg Hg / m
3
als Durchschnittswert; Aronsson et al (1989): bis zu 10,4
µg Hg / m
3; Patterson et al.
(1985): bis zu 28 µg Hg / m
3
Werte, die - z.T. um ein Mehrfaches -
über 2,5 µg
Hg / m
3 Luft liegen. Die täglich
häufig erfolgenden Kau- und Trinkvorgänge, ein saures
Mundmilieu, Zähnebürsten usw. erhöhen den Hg-Dampf-Gehalt
zusätzlich. In den Studien von Vimy / Lorscheider (1985 b)
und von Patterson et al. (1985) lag der Hg-Dampfgehalt
noch eine Stunde nach dem Ende der Kauphase bzw. des
Zähnebürstens deutlich über dem Ausgangswert (vgl. hierzu
auch Enwonwu (1987).
Der Hg-Dampfgehalt in der Mundhöhle bzw. in der
Ausatemluft liegt bei einem Teil der Amalgamträger demnach
mehrere Stunden lang täglich um ein
Zigfaches über dem
nach der WHO und der EPA einzuhaltenden Grenzwert für die
Hg-Kontamination der Wohnraumluft.
[Der Wert von K. Falck /
P. Weikart 1959 wird auch überschritten]
- Überschritten wird folglich auch der von Falck / Weikart
(1959 S.164) angegebene Wert:
"Es kann zu einer
Vergiftung kommen, wenn Beschaffenheit, Grösse und Lage
der Füllungen so sind, dass hinreichende Hg-Dampfmengen
in den Atemstrom gelangen, d.h. etwa 2 Gamma im
Kubikmeter Luft dauernd einwirken, bei beruflicher
Hg-Vergiftung dagegen nur zu bestimmten Zeiten."
Auf Grund dieser klar definierten Angaben bestand bereits
zum damaligen Zeitpunkt für die Amalgamhersteller (S.79)
dringender Anlass, Sorge dafür zu tragen, dass entweder
die genannten Quecksilberwerte nicht erreicht worden
wären, oder aber - über die Veröffentlichungen des
Degussa-Fachautors Loebich aus den Jahren 1954 und 1955
hinaus - offenzulegen, dass ihr Firmenprodukt je nach
"Beschaffenheit, Grösse und Lage der Füllungen" zu toxisch
bedingten Gesundheitsschäden führen konnte.
[Hg-Dampf nicht 40
Stunden pro Woche, sondern 168 Stunden pro Woche!]
- Die Ausgangswerte von z.B. 10,4 µg Hg / m
3
Luft oder von 28 µg Hg / m
3 Luft
als ständige, während 168 Stunden pro Woche fortbestehende
Dauerexposition gegenüber Quecksilberdampf in der
Mundhöhle geben auch in anderer Hinsicht zu denken: Diese
Hg-Konzentrationen liegen
über dem Schwellenwert von 10 µg / m
3
Luft, ab dem bei einer 40-Wochenstunden-Exposition der
Symptomenkomplex des Mikromerkurialismus verursacht werden
kann (siehe oben II. 6. a)). Die amalgambedingte
Quecksilberexposition wird zudem täglich mehrere Male
zusätzlich gesteigert durch die Hg-Freisetzung
stimulierende Vorgänge wie Kauen, Trinken einer heissen
Flüssigkeit, Zähnebürsten usw. Sie ist nicht auf 40
Wochenstunden begrenzt, sondern erstreckt sich auf 168
Wochenstunden. Nach den täglich mehrfach erfolgenden die
Hg-Freisetzung stimulierenden Vorgängen bleibt die
zusätzliche Erhöhung des Hg-Werts z.T. länger als eine
Stunde bestehen (Vimy / Lorscheider 1985 b; Patterson et
al. 1985). Selbst bei Berücksichtigung von
Durchmischungsvorgängen während des Einatmens ist bei
dieser Dauerexposition gegenüber Hg-Dampf die Gefahr
erkennbar, dass die Symptome des Mikromerkulialismus durch
Amalgam hervorgerufen werden (Störtebecker 1985 S.43; Vimy
/ Lorscheider 1985 b). (S.80)
Es ist auch dies ein toxisches Risiko, das allein oder im
Zusammenwirken mit den weiteren toxikologisch relevanten
Gesichtspunkten der Metallfreisetzung aus Amalgam zu
gesundheitlichen Schädigungen zu führen vermag.
gg)
ADI-Wert als Kriterium
[Der Acceptable Daily Intake (akzeptable tägliche
Aufnahme): Der Grenzwert der WHO, wird durch
Amalgamzahnfüllungen weit überschritten]
|
"WHO" [5]: Auch wenn der
WHO-Wert weit überschritten wird, handeln die
Regierungen nicht und verbieten Amalgam nicht...
|
Die von der WHO festgelegte Dosis für die duldbare
Gesamtaufnahme an Quecksilber bei der Allgemeinbevölkerung
beträgt 45 µg pro Tag (ADI-Wert). Sie wird durch die
Nahrung allein zu ca. 30 - 50 % ausgeschöpft (Schiele 1991
a; Müller / Ohnesorge 1987).
Wird dem Organismus jedoch zusätzlich zum
nahrungsbedingten Hg allein durch Amalgamfüllungen eine
tägliche Quecksilberfracht von bis zu 100 µg (Lorscheider
et al. 1995; Lorscheider / Vimy 1991; Schiele 1991 b)
zugeführt, so folgt daraus: Der von der WHO angegebene
Grenzwert kann als Folge von Amalgam ohne weiteres
überschritten werden. Zu dem gleichen Ergebnis gelangt
Schupp (1994 S.199) auf Grund ihrer "Untersuchungen an
menschlichen Organen zur Frage der Quecksilberbelastung
durch Zahnamalgam und weitere Faktoren".
Bei 17 % der Amalgamträger, die in die Studie an der
Universitätszahnklinik Ulm (Mayer et al 1994) einbezogen
waren,
wurde
der genannte WHO-Grenzwert als Folge von Amalgam
überschritten. Das gleiche gilt für die von Pleva (1995),
von Skare / Engqvist (1994), von Hanson / Pleva (1991) und
von Pleva (1989) vorgestellten Falldokumentationen mit
hohen amalgambedingten Quecksilberexpositionswerten.
Zwar besteht zwischen dem ADI-Wert und der von der WHO
festgesetzten "kritischen Dosis" ein Sicherheitsabstand.
Jedoch gilt davon unabhängig: Das jahrelange, z.T. (S.81)
jahrzehntelange Überschreiten des ADI-Werts für
Quecksilber als Folge von Amalgamfüllungen stellte und
stellt eine Risikoerhöhung dar, die unbedingt hätte
vermieden werden müssen, über die von seiten der
Amalgamhersteller zumindest hätte aufgeklärt werden
müssen, und die bei einem Teil der mit Amalgam Behandelten
gesundheitliche, toxisch bedingte Schädigungen zur Folge
hatte und hat.
hh)
Orientierungswerte des
BGA / BfArM als Kriterien
|

[6]
|
Die Fachliteratur belegt, dass die Grenzwerte zur höchsten
Kategorie III der vom BGA und vom BfArM zugrundegelegten
Orientierungswerte für die Quecksilberbelastung des Blutes
und des Urins (siehe oben II. 6. b) bb))
Kategorie III: Deutlich
erhöhter Wert, Gesundheitsgefährdung auf längere Sicht
nicht auszuschliessen; eine gezielte Abklärung und
Ausschaltung, zumindest aber Verringerung der
Belastungsquellen ist erforderlich.
Blut: > 10 µg Hg / l
Urin: > 20 µg Hg / l
als Folge von Amalgam überschritten werden kann (Blut:
Schäfer et al. 1994; Urin: Skare / Enqvist 1994, Weiner et
al. 1990).
Auch hierdurch sind toxische Risiken der Amalgamanwendung
dokumentiert, die sich bei einer neutralen Bewertung der
Hg-Exposition durch Amalgamfüllungen nicht bestreiten
lassen.
[Nicht erwähnt ist die Belastung der Gewässer durch
Quecksilber im Urin. Die Gewässer werden verquecksilbert,
die Fische und die Wasserpflanzen vergiftet und
missgebildet, und so wird das Meer immer
quecksilberhaltiger und der Fisch auch, was dann wiederum
auf unseren Tellern landet. Das Quecksilber ist
überall...].
ii)
Bandbreite individueller
Reaktionsweisen
[Die Reaktions- und
Krankheitsmuster sind von Mensch zu Mensch total
verschieden]
Die Unterschiede der individuellen Empfindlichkeit
gegenüber Schadstoffen sind innerhalb einer einheitlich
exponierten Personengruppe enorm gross (S.82).
Insbesondere im Hinblick auf eine langfristige Exposition
gegenüber Quecksilber in Form von Hg-
Dampf ist
dies seit Jahrzehnten bekannt.
[Es bleibt der Verdacht, dass die Empfindlichkeit
gegenüber Amalgam-Quecksilber mit den Blutgruppen
zusammenhängt. Diesbezügliche Forschung fehlt jedoch. Auch
die Zusammenhänge zwischen Amalgam und Nierenschäden oder
Leberschäden sind nicht erforscht, aber wahrscheinlich].
So beschrieben Friberg / Vostal (1972 S.120-126) bereits
vor 23 Jahren eindrucksvoll, dass sich die
Unterschiedlichkeit der Reaktionsweisen zunächst bei der
Frage erwiesen hat, inwieweit durch eine langfristige
Hg-Dampf-Exposition Anreicherungen von Quecksilber in den
Organen der Exponierten verursacht werden können. Das
betrifft des weiteren den Gesichtspunkt, inwieweit sich in
diesen Fällen das Ausmass einer erfolgten Exposition und
einer Depotbildung im Organismus in den Hg-Werten des
Blutes oder Urins widerspiegelt und ablesen lässt. Von der
grossen Bandbreite möglicher individueller Reaktionen ist
schliesslich auch erfasst, ob toxisch bedingte
Schädigungen in Form von Krankheitssymptomen bei einer
bestimmten Quecksilberanreicherung im Organismus oder auch
ab einem bestimmten Hg-Wert im Blut oder im Urin auftreten
(zum ganzen auch: Otto et al. 1994; Berlin 1986; Moeschlin
1986; Trakhtenberg 1974 S.123 u. 144; Siedlecki 1971;
Zangger 1930; aus der zahnmedizinischen Literatur: z.B.
Trinczek 1983 S.14-15 zur Variationsbreite des Hg-Gehalts
im Urin).
"Trotz scheinbar gleicher Aufnahme-Bedingungen des Giftes
überrascht die Verschiedenartigkeit seiner
Reaktionsformen", stellte bereits vor mehr als drei
Jahrzehnten der Arbeitsmediziner Baader (1961) fest
(ebenso Weichardt 1988; Socialstyrelsens Expertgrupp 1987;
McNeil et al. 1984).
Daraus folgt:
Innerhalb einer entsprechend grossen Gruppe Exponierter
wird es immer solche geben, die noch keine
Krankheitssymptome (S.83)
entwickeln, während andere bereits eindeutig infolge der
Exposition erkrankt sind. Es wäre daher unhaltbar, eine
hohe Wirkungsschwelle, die sich bei einem vergleichsweise
unempfindlichen Teil der exponierten Personen ergeben hat,
auf alle anderen Exponierten zu übertragen und mit einer
solchen Überlegung toxisch bedingte Schädigungen auch bei
ihnen von vornherein auszuschliessen. Vielmehr entspricht
es geradezu toxikologischem Erfahrungswissen, dass im
Falle langfristiger Quecksilber(dampf)expositionen bei
einem Teil der Betroffenen Krankheitssymptome möglich
sind, während der andere Teil bei gleicher oder höherer
Exposition (bzw. Hg-Anreicherung in den Organen) noch
keine Symptome zeigt (Friberg / Vostal 1972 S.120-121).
Dies alles war auch den Amalgamherstellern bekannt. Weise
(1988), als Chemiker und als Professor wissenschaftlich
ausgewiesener Mitarbeiter des damaligen Amalgamherstellers
Bayer AG, Leverkusen, publizierte im Jahre 1988 eine
"allgemeine Darstellung der unterschiedlichen
Empfindlichkeit einer Bevölkerung gegenüber einer Substanz
x". Er veranschaulichte diese Darstellung mit dem
folgenden Schaubild:
|

Grafik von Weise 1988 [27]
|
(S.84)
und kommentierte sie wie folgt: "Der Darstellung ist zu
entnehmen, dass eine spezifische Dosis, die bei einem Teil
des betrachteten Kollektivs noch nicht einmal die
Grunddosis überschreitet, die zu irgendeiner Reaktion des
Körpers führt, bei einem anderen Teil bereits akute
Vergiftungserscheinungen zeigt."
Auch der Mitarbeiter der Bayer AG Zirngiebl (1992)
veröffentlichte hierzu ein Schaubild:
|

Grafik von Zirngiebl 1992 [28]
|
Er erläuterte dieses Schaubild auf dem Amalgam-Hearing des
Niedersächsischen Umweltministeriums am 16.10.1991 und
bezog es ausdrücklich auf Quecksilber. Das Schaubild
verdeutlicht, dass eine Spezialdosis an Gift (z.B.
Quecksilber), die bei einem Teil der Exponierten noch in
der Wirkungskategorie "no observed effect level"
verbleibt, bei einem anderen Teil der Bevölkerung die
Kategorie "chronische toxische Wirkung" erreicht. Dieses
seit Jahrzehnten allgemein bekannte Wissen konnte auch
(S.85)
den anderen Amalgamherstellern nicht verborgen gewesen
sein.
[Menschen mit einer
Vorbelastung sind sensibler auf Quecksilber als andere]
Gleiches gilt für das seit Jahrzehnten immer wieder
beschriebene Faktum, dass bestimmte Bevölkerungsgruppen,
z.B. "Jugendliche, Astheniker [Leute mit muskelarmen,
knochenschwachen Körpern], durch irgendeine Krankheit
Geschwächte, Haut- oder Nierenkranke, Schwangere und
besonders solche, die eine akute oder subakute
Hg-Vergiftung schon erlitten haben, dem Hg gegenüber eine
verminderte Resistenz aufweisen." (Gmelin 1960 S.171)
[Der Beweis, dass Hg
nicht gefährlich ist, ist nicht erbracht - es fehlen
Werte für die Organbelastung]
Diese Gesichtspunkte wären im Zusammenhang mit der
Amalgamproblematik allenfalls dann ohne Belang,
(1)
wenn es einen allgemeingültigen Wirkungsschwellenwert für
Hg (aus Amalgam) in denjenigen Organen gäbe, in denen Hg
aus Amalgam sich anreichert, und
(2)
wenn ein solcher Wirkungsschwellenwert durch Amalgam
unterschritten würde, und
(3)
wenn keine zusätzlichen, die Toxizität des Hg aus Amalgam
verstärkenden Umstände hinzuträten.
ad 1:
Nicht einmal für die Hg-Konzentration in den
Hauptzielorganen des Quecksilbers aus Amalgamfüllungen -
Gehirn und Nieren - gibt es einen Wirkungsschwellenwert
für Quecksilber, unterhalb dessen toxische Wirkungen
ausgeschlossen sind (Zinke 1994; WHO 1991 S.20; Friberg
1986). Dies gilt erst recht im Hinblick auf die Gesamtheit
der zahlreichen weiteren Organe, in denen Amalgamfüllungen
zu einer Vervielfachung des Hg-Gehalts führen (S.86).
Auch für die immunpathologischen Hg-Wirkungen ist bisher
ein NOAEL (no observed adverse effect level) nicht
festgelegt (Abel et al. 1990). Dies alles war und ist auch
im Zusammenhang mit Amalgam bekannt (Beyer 1985 S.63).
ad 2:
Wissenschaftlich unbewiesen sind daher Behauptungen, die
durch Amalgam verursachte Quecksilberbelastung
verschiedener Organe liege unterhalb einer Grenze, bis zu
der toxische Wirkungen ausgeschlossen seien. Eine solche
Grenze existiert nicht.
ad 3:
Zusätzlich zu Quecksilber werden auch weitere
Legierungsbestandteile aus Amalgamfüllungen freigesetzt.
Diese sind als Sensibilisierungsfaktoren ebenfalls "nicht
ausser acht zu lassen" (Riethe 1982; vgl. auch Brune
1986).
Eine "Vergleichende In-vitro-Untersuchung zu Verfärbungen
und zum Masseverlust korrodierter Amalgame", durchgeführt
an der Universitätszahnklinik Tübingen und am
Max-Planck-Institut Düsseldorf (Geis-Gerstorfer / Sauer
1986), ergab eine die dort ermittelte Hg-Freisetzung (20
µg / cm
2 / Tag) um den im
folgenden jeweils genannten Faktor übersteigende
Freisetzung von Zinn (Faktor 32), Kupfer (Faktor 25),
Silber (Faktor 2).
Es handelt sich hiernach also durchaus um
Grössenordnungen, die in einer toxikologischen Betrachtung
zu berücksichtigen sind.
[Quecksilber in Fisch
wird durch Selen in der Giftigkeit reduziert]
Ein wirkungsabschwächender Effekt dieser Metallkombination
[von Silberamalgam] auf die Hg-Toxizität ist - (S.87)
anders als bei der
Aufnahme von Quecksilber mit der Nahrung, die
gleichzeitig Anteile an Selen enthält (z.B. Fisch);
Selen vermag die Hg-Toxizität zu vermindern
(Arzneimittelkommission Zahnärzte 1990, Wu et al. 1990,
Eley / Cox 1988, Lindh / Johansson 1987, Magos et al.
1987, Brodersen 1982, Ohi 1980, sämtlich bezogen auf
Tierversuche; Schrauzer 1995, Ahlrot-Westerlund 1985,
Aoi et al. 1985, Schrauzer 1983 S.60, Michels / Einbrodt
1982, Altmann 1978, letztere bezogen auch auf den
menschlichen Organismus) -
nirgendwo beschrieben.
[Mehr Stress durch die
Kombination von Amalgam-Metallen - die
"Summationswirkung"]
Es ist vielmehr davon auszugehen, dass die über Hg
hinausgehende Metallaufnahme aus Amalgamfüllungen einen
zusätzlichen Stressfaktor für den Organismus darstellt und
zumindest bei einem Teil der Exponierten zu einer
Wirkungsverstärkung in bezug auf die gleichzeitig
erfolgende Hg-Aufnahme führt (vgl. zu den Fragen einer
solchen Summationswirkung allgemein Wassermann 1985, Manz
/ Manz 1987 a und 1987 b; auf Quecksilber aus
Amalgamfüllungen bezogen: Mayer et al. 1995; ders. 1985
und bereits Kramer 1967). Die zusätzliche Aufnahme von
Spuren der weiteren Amalgammetalle kann die Vielfalt der
durch Amalgam verursachten Symptome sogar über den Bereich
der reinen Quecksilbersymptomatik hinaus vergrössern.
(S.88)
Die in der Toxikologie allgemein anerkannten Fakten zur
Unterschiedlichkeit der individuellen Reaktionsweise auf
eine langfristige Hg-Dampf-Exposition mit den Folgen
vielfältiger Quecksilberanreicherungen sind daher auch
dann zu beachten, wenn das Quecksilber, um das es geht,
aus Amalgamfüllungen herrührt.
Gerade weil nur
"eine geringe Korrelation
zwischen klinischer Symptomatik einerseits und Dauer
bzw. Ausmass der Exposition andererseits"
(Zeitlhofer et al. 1988 unter Berufung auf Jacobs et al.
1963) besteht, betonen Ahlqwist et al. (1988) bei der
Auswertung ihrer Forschungsergebnisse an 1024 Personen:
Selbst wenn auf eine Gruppe
bezogen keine Korrelation zwischen der Zahl der mit
Amalgam behandelten Zahnflächen einerseits und
Krankheitssymptomen andererseits festgestellt werden
kann, ist bei der jeweiligen Person eine Kausalität
zwischen Amalgam und gesundheitlichen Beschwerden nicht
ausgeschlossen.
Sogar ausdrücklich verlangte in seiner Dissertation Seitz
(1960 S.86) wegen der mit Amalgamfüllungen verbundenen
Nachteile die "Berücksichtigung von Alter,
Gesundheitszustand und Reaktionsfähigkeit des Patienten"
bei der Entscheidung, ob im jeweiligen Fall Amalgam
überhaupt verwendet werden dürfe.
Den (abgesehen von den Fällen einer Allergie) pauschalen
Ruf, ein bei allen Patienten gleichermassen in beliebigem
(S.89) Umfang zu verwendendes und gesundheitlich
unbedenkliches Füllungsmaterial zu sein, hat Amalgam im
ernstzunehmenden Schrifttum daher zu Recht nie besessen.
jj)
Gefahr fetaler [fötaler]
und frühkindlicher Schädigungen
Die bei Babys im Alter von 11 - 50 Wochen ermittelte
amalgambedingte Quecksilberbelastung der Nieren (siehe
oben III. 6. e) ff)) bis zu
2.543,8 µg / kg (Drasch
et al. 1994)
liegt über dem Wert, bei dem auf Grund von
tierexperimentellen Studien die Gefahr von
Immunschädigungen [Allergien!] auch beim Menschen
angenommen wird (2.400 µg Hg / kg Nierengewebe, vgl.
Hultman / Eneström 1992; die Gefahr schädigender
Auswirkungen des Amalgams auf das Immunsystem bestätigen
auch Abel et al. 1990, Eggleston 1984 sowie auf Grund
weiterer tierexperimenteller Forschungen ebenso Hultmann
et al. 1994; zur Schädigung des Immunsystems durch
Quecksilber detailliert bereits auch Piechotta / Witting
1983 S. 82-171, 176).
Die Gefahr von Immunschäden und ggf. von weiteren Formen
der Körperverletzung des Kleinkindes als Folge von Amalgam
ist zusätzlich auch deshalb anzunehmen, weil der sich
entwickelnde Organismus im Falle einer langfristigen
Exposition im Vergleich zum Erwachsenen z.T. einen höheren
Prozentsatz des aufgenommenen Quecksilbers retiniert
[aufnimmt] (Günther 1992 S.14; Clarkson et al. 1988 a;
Curtis et al. 1987) bzw. weit empfindlicher auf
Quecksilber reagiert als der Erwachsene (vgl. u.a. Drasch
et al. 1995; Drasch 1994; von Mühlendahl et al. 1994; von
Mühlendahl 1992; von Mühlendahl 1991; Kuntz et al. 1982).
(S.90)
[Hg-Grenzwert für
Schwangere in Kalifornien seit 1976]
Gerade wegen der teratogenen Wirkung von
Quecksilberdämpfen, Quecksilberionen und Methylquecksilber
(siehe oben II. 5.) wurde bereits im Jahre 1976 an der
Universität Loma Linda, Kalifornien, Grenzwerte für die
Hg-Exposition von Frauen im gebärfähigen Alter festgelegt.
Dieser Grenzwert in bezug auf Hg-Dampf beträgt < 10 µg
Hg / m
3 Luft bei einer auf 40
Wochenstunden begrenzten Exposition (Koos / Longo 1976).
Wie unter III. 6. f) ff) dargelegt, ist die Gefahr
erkennbar, dass durch das Tragen von Amalgamfüllungen
dieser Grenzwert überschritten wird.
[Amalgam-Quecksilber
provoziert Resistenzen von Bakterien und gegenüber
Antibiotika]
In diesem Zusammenhang ist auch der wissenschaftlich
begründete Verdacht zu bedenken, dass die Amalgam-Metalle
nachhaltige negative Auswirkungen auf die Erfolgsaussicht
der Therapie bakterieller Erkrankungen entfalten können.
Amalgamfüllungen führten in einer Studie an der
Universität Georgia (Summers et al. 1993) bei sechs
Primaten zu einer erhöhten Resistenz von Mund- und
Darmbakterien nicht nur gegenüber Quecksilber, sondern
auch gegenüber Antibiotika. Viele dieser resistenten
Bakterien zeigten gleichzeitig eine Resistenz gegenüber
zwei oder mehr Antibiotika, obwohl die Primaten diese
Antibiotika nie erhalten hatten.
|
Lungenentzündung,
Röntgenfoto [29]: Die dauernde Aufnahme von
Quecksilber durch Amalgamfüllungen kann
Resistenzen von Mund- und Darmbakterien fördern
und Resistenz gegenüber Antibiotika zur Folge
haben. Die Lungenentzündungen häufen sich, und
die Medizin "weiss nicht" warum, und die
Regierungen schlafen, weil ja sowieso nur
gesunde Menschen an der Regierung sind... |
[Kinder und das
Ungeborene von Amalgammüttern sind noch mehr
amalgamgefährdet als Erwachsene]
Insgesamt ergeben sich aus der frühkindlichen, z.T.
extremen Belastung mit Quecksilber aus Amalgamfüllungen
der Mutter und später durch eigene Amalgamfüllungen im
Kindesalter "toxische Einwirkungen" (Moeschlin 1986) auf
den noch in der Entwicklung befindlichen Organismus (u.a.
im Hinblick auf das Immunsystem). Angesichts dieser
toxischen Einwirkungen muss das jahrzehntelange
bedenkenlose In-Verkehr-Bringen von Dental-Amalgam zur
nach Hersteller-Ansicht unbegrenzten Verwendung auch bei
Schwangeren (S.91)
und bei Kindern als ungerechtfertigt risikoreich und
gesundheitsgefährdend bezeichnet werden.
Die hiermit aufgezeigten Beurteilungskriterien und die
tatsächlichen Gegebenheiten bei der Anwendung von Amalgam
führen zu der zwingenden Schlussfolgerung:
Amalgam konnte und kann zu
toxisch bedingten gesundheitlichen Schädigungen führen.
Die im Zusammenhang mit toxischen Amalgambelastungen
vorgetragenen gesundheitlichen Beschwerden weisen nach
Beobachtungen am Hygiene-Institut des Ruhrgebiets (Ewers
1991) eine beachtliche Übereinstimmung mit solchen
Symptomen auf, die bei Quecksilber exponierten
Arbeitnehmern als Folge einer chronischen Hg-Vergiftung
beobachtet wurden und anerkannt sind (ebenso Godfrey 1990;
Weiner et al. 1990).
[Die Industrie nimmt die
Körperverletzung bei amalgamsensiblen Menschen in Kauf -
keine Aufklärung]
|
Degussa,
Forschungszentrum [30]: Die Degussa schützt die
Menschen nicht vor der Körperverletzung durch
das produzierte Amalgam und stellt die
Produktion nicht ein, trotz besseren Wissens,
bis heute (2008) ganz legal, in
Volkszahnkliniken, in Zahnarztpraxen, in
"Entwicklungsländern".
Die korrupten Regierung und die korrupte Justiz
schützt die Menschen vor Degussa nicht.
Und das Gift-Amalgam kostet noch und wird von
den Krankenkassen bezahlt!
|
Die entsprechenden Faktenkenntnisse werden auch die
Amalgamhersteller nicht in überzeugender Weise leugnen
können. Die Schlussfolgerung liegt nahe, dass man dort
angesichts vorauszusetzender Kenntnis von vornherein
billigend in Kauf genommen hat: Ein gewisser Prozentsatz
der mit Amalgam Behandelten erleidet durch die - je nach
Umfang der Amalgamanwendung - "hohe Belastung mit
Quecksilber aus Amalgamfüllungen" (BGA 1991 c)
gesundheitliche Schäden.
[Und die korrupten Regierungen und korrupten Richter
schweigen bis heute und verbieten Amalgam nach wie vor
nicht].
Indem die Amalgamhersteller in der Zeit ab dem Jahre 1956
die gesundheitlichen Folgen der Hg-Freisetzung aus
Amalgamfüllungen öffentlich nur unzureichend oder
überhaupt nicht darstellten und gebotene Aufklärungen
unterliessen, haben sie massgeblich zu einer Fortdauer der
Leiden der bereits durch Amalgam Geschädigten und auch zu
einer Erhöhung der Zahl der Betroffenen beigetragen.
(S.92)