aus: Amalgame in der
zahnärztlichen Therapie. Eine Informationsschrift des
Bundesinstituts für Arzneimittel und Medizinprodukte;
Bundesinstitut für Arzneimittel und Medizinprodukte BfArM;
Druckerei Eberwein, Bonn, Januar 2005
Kommentar
Die Zahnärzte sind diejenigen Ärzte, die am wenigsten lang
leben. Bei Leichenuntersuchungen hat man in der Schweiz hohe
Quecksilberanteile in den Knochen gefunden. Nicht nur dies
ist ein Hinweis auf die unmögliche Legalisierung von Amalgam
mit hohem Quecksilberanteil seit den 1850-er Jahren. Die
kriminelle Volksvergiftung mit Amalgam schreitet bis heute
in den Zahnarztpraxen fort, z.B. in den "Volkszahnkliniken".
Die Werbeschrift für Amalgam des
Bundesinstituts für Arzneimittel und
Medizinprodukte, die von
swissmedic mir gegenüber im Jahr 2005 als
Argument gegen ein Amalgamverbot angebracht wurde, warnt
dabei selbst vor Amalgam. Diesen Widerspruch merkt
swissmedic in Bern jedoch nicht. Wie dumm muss eine
"Zivilisation" sein, die sich planmässig vergiften lässt?
Wann wird diese planmässige Körperverletzung endlich
verboten?
Michael Palomino 2006
|
Swissmedic, Logo [2].
Die Swissmedic meint, sie sei ein "schweizerisches
Heilmittelinstitut". In Wirklichkeit ist die von
deutschen "Ärzten" und Chemikern unterwanderte
Swissmedic aber ein Giftinstitut, die deutsche
Produkte in der Schweiz vermarktet, u.a. das
hochgiftige Amalgam. Das alles passiert ganz
legal, und die börsengeilen Regierungen von
Deutschland und der Schweiz schauen zu, wie die
Börsenkurse der Pharmaproduzenten steigen, und wie
die Bevölkerungen immer kränker werden... |
Amalgam birgt schwere
Gefahren durch Quecksilber und Korrosionsprodukte
Das BfArM warnt in seiner Schrift:
<Nachteile sind die zwar kontinuierliche, aber geringe
Quecksilberfreisetzung auch aus ausgehärteten Füllungen und
die mangelnde Ästhetik, da Amalgam nicht zahnfarben ist.>
(S.7)
Das BfArM gibt also zu, dass jede Amalgamfüllung Tag und
Nacht 24 Stunden täglich Quecksilber freisetzt.
Zahlenangaben fehlen.
|
Jede Amalgamfüllung
[3] gibt 24 Stunden täglich Quecksilber
frei. Das BfArM macht dabei keine Zahlenangaben.
Das ist alles andere als "wissenschaftlich"... |
<Durch das Korrosionsverhalten von Amalgamfüllungen
können wie bei allen anderen metallischen Restaurationen in
seltenen Fällen Missempfindungen (z.B. metallischer
Geschmack) hervorgerufen werden. Die Korrosion bewirkt
allerdings auch ein Auffüllen feiner Randspalten zwischen
Füllung und Zahnhartgewebe mit Korrosionsprodukten, sowie
durch die Ausbildung einer so genannten Passivierungsschicht
eine Reduktion der Quecksilberabgabe.> (S.7)
Das BfArM gibt also zu, dass Korrosion des Amalgams vorkommt
und Korrosionsprodukte die Randspalten auffüllen. Welche
Korrosionsprodukte dies sind, wird verschwiegen. Dafür soll
durch eine "Passivierungsschicht" die Quecksilberabgabe
verringert sein. Zahlenangaben fehlen.
|
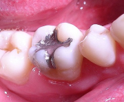
Alte, raue
Amalgamfüllungen [4]. Von einer
"Passivierungsschicht" ist nichts zu erkennen, und
wieder macht das BfArM dabei keine Zahlenangaben.
Das ist alles andere als "wissenschaftlich"... |
<Die Lebensdauer einer Amalgamfüllung im kaubelasteten
Seitenzahngebiet liegt nach Angaben der DGZMK [Deutsche
Gesellschaft für Zahn-, Mund- und Kieferheilkunde] bei
durchschnittlich 6 bis 10 Jahren.> (S.7)
Wenn alle Leute Amalgam durch Porzellan im vorgeschriebenen
Turnus ersetzen lassen würden, wäre in 10 Jahren kein
Amalgamproblem mehr vorhanden.
|
Alte, poröse
Amalgamfüllungen [5]: Wenn Amalgamfüllungen
kaputt sind, setzen sie besonders viel
Quecksilber frei. Das BfArM macht dazu keine
Zahlenangaben. Das ist alles andere als
"wissenschaftlich"...
Amalgamfüllungen
bilden unter sich schon Strom. Wenn
Goldlegierungen und Amalgamfüllungen kombiniert
sind, dann wird erst recht Strom im Mund
gebildet, mit allen negativen Auswirkungen auf
die Körperzellen...
|
<Amalgamfüllungen geben Quecksilber (Hg) ab und können
somit für den Einzelnen neben der Nahrung eine Quelle der
Quecksilberbelastung für den Organismus darstellen.
Entscheidend für die Exposition aus Amalgamfüllungen ist
hauptsächlich die Aufnahme von metallischem, dampfförmigen
Quecksilber über die Lunge.> (S.9)
Das BfArM gibt also zu, dass Quecksilber von Amalgam vor
allem in Dampfform aufgenommen wird und betont damit
ausdrücklich, dass Tag und Nacht 24 Stunden am Tag diese
Belastung existiert.
Die Grenzwerte der "WHO"
<Von der Weltgesundheitsorganisation (WHO) werden
industriell abgeleitete Schwellenwerte der Konzentration von
Quecksilber in der Atemluft für die Bewertung der
chronischen Toxizität angegeben:
-- 100 Mikrogramm pro m
3 als
Schwelle für klinische Vergiftungs-Symptome
-- 25 Mikrogramm pro m
3 als
industrieller Schwellenwert ohne beobachtete Symptome
-- 5 Mikrogramm pro m
3 als
Schwellenwert für die Allgemeinbevölkerung
-- sowie 1 Mikrogramm pro m
3 als
Schwellenwert für Kinder und Schwangere.
Legt man letzteren Wert zugrunde, ergibt sich bei einer
vermuteten Ventilationsrate [m
3
Atemluft pro Tag] von 22 m
3 pro
Tag eine Sicherheitsschwelle für pulmonal resorbiertes [über
die Lunge aufgenommenes] Quecksilber von ca. 20 Mikrogramm
pro Tag.> (S.9)
|
Eine
Schwangere im 5. Monat [6].
Wieso gilt für
Schwangere ein so viel niedriger Grenzwert als
für die "Allgemeinbevölkerung"? Die Frage bleibt
in der Propagandaschrift des BfArM
unbeantwortet. Eigentlich müssen gemäss WHO also
alle Frauen, die schwanger werden wollen, zuerst
alles Amalgam herausnehmen lassen. Das BfArM
verschweigt, dass der Quecksilberdampf
proportional zur Anzahl Amalgamfüllungen zu-
oder abnimmt.
|
<Über Nahrungsmittel werden durchschnittlich täglich 2
bis 3 Mikrogramm Hg, hauptsächlich als organisches
Quecksilber, aufgenommen; nach Verzehr von Hg-kontaminiertem
Fisch kann die Resorption bedeutend höher sein (Kommission
"Human-.Biomonitoring" des Umweltbundesamtes, Berlin, 1999).
Untersuchungen zur Bestimmung der genauen Menge der
Quecksilberfreisetzung aus Amalgamfüllungen führten zu
unterschiedlichen Ergebnissen. Dies zeigt sich an den 1991
von der WHO angegebenen Werten für die Hg-Aufnahme, die
zwischen 3 und 17 Mikrogramm pro Tag liegen. Neuere
Veröffentlichungen ergaben Werte einer Hg-Aufnahme von ca. 2
Mikrogramm pro Tag.
Die von der Europäischen Kommission eingesetzte ad hoc
Arbeitsgruppe zu Amalgam ist nach der Bewertung der
vorliegenden Daten in ihrem Bericht zu dem Schluss gekommen,
dass bei der überwiegenden Mehrzahl der Patienten mit
Amalgamfüllungen die Hg-Gesamtexposition bei unter 5
Mikrogramm pro Tag liegt. Verschiedene Studien haben
gezeigt, dass Einflussfaktoren wie z.B. Kaugummikauen oder
Zähneknirschen die Abgabe von Quecksilber aus
Amalgamfüllungen erhöhen.> (S.9)
|
Das BfArM gibt zu,
dass Kauen von Kaugummi mehr Quecksilber aus den
Amalgamfüllungen löst als normal. Das BfArM
verschweigt aber, dass jeder Kauvorgang und jede
Einnahme warmer Speisen (z.B. eine Gemüsesuppe
[7]) oder Getränke (Tees, Kaffee etc.) zusätzlich
Quecksilber aus den Füllungen löst, und dass vor
allem defekte Füllungen viel mehr Quecksilber
abgeben, auch wenn man den Defekt gar nicht
bemerkt. Und wenn eine defekte Amalgamfüllung
60-70 Grad heiss wird, was dann passiert, das wird
erst recht nicht geschrieben. Das ist gar nicht
"wissenschaftlich"... |
Schlussfolgerungen
Um die Aufnahme von Quecksilber aus den Amalgamfüllungen zu
unterbinden, dürfen Amalgamträger nicht mehr atmen, nicht
mehr essen und nicht mehr trinken, kurz, nicht mehr leben.
Da wäre es besser, das Amalgam zu verbieten.
Ausserdem ist nicht erwähnt, dass Amalgam-Quecksilber sich
vielleicht auch über den Speichel beim Küssen übertragen
kann.
|
Kuss mit
Amalgam-Folgen [8]. Der Speichel von Menschen mit
Amalgamfüllungen enthält Quecksilber. Die
Schlussfolgerung, dass beim Küssen Quecksilber
verbreitet wird und so Menschen vergiftet werden,
scheint nur logisch, wird aber bis heute nirgendwo
erwähnt... |
Fisch-Quecksilber
<In der Bundesrepublik Deutschland liegen die
durchschnittlichen Konzentrationen von Quecksilber im Blut
bei 0,4 Mikrogramm pro Liter bei Kindern und 0,6 Mikrogramm
pro Liter bei Erwachsenen sowie im Urin bei 0,5 Mikrogramm
pro Liter (Umwelt-Survey 1990/1992), wobei nicht
berücksichtigt ist, ob Amalgamfüllungen vorhanden sind oder
nicht. Im Vergleich dazu werden für Länder mit hohem
Fischkonsum, wie z.B. Schweden, bedeutend höhere Werte, die
im Bereich von 3 bis 4 Mikrogramm pro Liter liegen,
berichtet.>
Schlussfolgerung
Fisch ist inzwischen scheinbar derart mit
Industrie-Quecksilber belastet, dass man keinen Fisch mehr
essen kann. Das BfArM gibt zu, dass der Urin der Menschen
quecksilberverseucht ist, sagt aber nicht, dass ein Teil des
Quecksilbers im Fisch aus dem gelösten Amalgam der Menschen
mit Amalgamfüllungen stammt, die das Quecksilber über den
Urin in die Gewässer und ins Meer ausscheiden. Das
kriminelle BfArM schlussfolgert zwischen den Zeilen anders:
Weil im Fisch bereits so viel Quecksilber ist, sei das
Amalgam-Quecksilber meist unbedenklich. Diese
"Schlussfolgerung" ist leider gar nicht "wissenschaftlich",
weil die Gesamtbevölkerung der Welt, die Amalgamfüllungen
hat und somit Quecksilber durch ihren Urin verbreitet, viel
höher ist (vielleicht 50 mal so gross ist) als die
Bevölkerung, die an der Küste viel Fisch isst.
|
Quecksilber im Urin,
und das Amalgam-Quecksilber landet im See [9]: Wer
pinkelt - egal ob Mann oder Frau - pinkelt auch
Quecksilber aus seinen Amalgamfüllungen in die
Gewässer, und schlussendlich ins Meer. Das sagt
kein Zahnarzt, kein Schulbuch, kein Gutachten. Es
wäre interessant, wie viel Amalgam-Quecksilber pro
Tag von der Weltbevölkerung, die Amalgamfüllungen
trägt, in die Gewässer gelangen. Es dürfte sich um
mehrere Tonnen Amalgam-Quecksilber pro Tag
handeln. Die "Wissenschaft" schweigt dazu... |
Das kriminelle BfArM hat
keine Messmethoden für Amalgam-Quecksilber!
<Nach derzeitigem wissenschaftlichen Kenntnisstand gibt
es keine Indikation für routinemässige Untersuchungen zur
Abschätzung einer Quecksilberbelastung aus
Amalgamfüllungen.> (S.11)
Messungen von Quecksilber im Blut und im Urin können nur
Anhaltspunkte liefern, können jedoch nicht von der
Dauerbelastung aus den Amalgamfüllungen und den
Quecksilberbelastungen aus den Lebensmitteln unterscheiden,
und "Speicheltest" seien umstritten:
<Neben der Methodik der Quecksilber-Bestimmung in Blut
bzw. Urin finden weitere wissenschaftlich umstrittene
Verfahren, wie die Gabe von Komplexbildnern oder
Speicheltests, Anwendung.> (S.11)
Das kriminelle Bundesamt für Arzneimittel und
Medizinprodukte (BfArM) definiert also Amalgam weiter als
"Medizinprodukt", verweigert aber die konsequente Messung
seiner Giftigkeit. Wo keine genaue Messung stattfindet, kann
auch keine genaue Belastung festgestellt werden, und die
Vergiftung der Bevölkerung schreitet fort, danke
Deutschland.
|
Ein Labor des BfArM
[10]. Die "Wissenschaft" in Deutschland verweigert
die Entwicklung von Messgeräten für
Amalgam-Quecksilber. Für andere Messungen sind zu
Hauf Messgeräte vorhanden. Diese Diskriminierung
gegen die Messung von Amalgam-Quecksilber ist gar
nicht "wissenschaftlich"... |
Das kriminelle BfArM
empfiehlt, nicht zu messen - bzw. es existieren bis heute
keine zuverlässigen Messmethoden!
<Komplexbildner, wie DMPS [Dimercaptopropansulfonat] oder
MDSA [?] besitzen eine hohe Bindungsaffinität zu
Quecksilber- und anderen, zum Teil essentiellen Metallionen.
Ihre Anwendung zur Beurteilung einer Quecksilberbelastung
aus Amalgamfüllungen ist nicht zu empfehlen, da weder die
Wirksamkeit noch die Harmlosigkeit für dieses
Anwendungsgebiet belegt sind. Komplexbildner werden nach
Applikation mit kurzer Halbwertszeit aus dem Organismus
wieder ausgeschieden und führen daher vor allem zu einer
Komplexierung des in der Niere gebundenen Quecksilbers.
Informationen, die mögliche Rückschlüsse auf die
Quecksilberbelastung des Organismus insgesamt oder auf
Konzentrationen in einzelnen Organen zulassen, sind nicht zu
erwarten.> (S.11)
Das kriminelle BfArM meint also, keine Messung ist die
Lösung für das Problem.
Die Messung mit "Komplexbildnern" sei gefährlich, so das
BfArM:
<Die Anwendung von Komplexbildnern kann zu unerwünschten
Wirkungen wie Fieber, Schüttelfrost, schweren allergischen
Hauterscheinungen, Herz-Kreislauf-Symptomen und Störungen
des Mineralhaushaltes führen. In Einzelfällen wurden
klinische Symptome einer Quecksilbervergiftung durch DMPS
ausgelöst.> (S.12)
Hier gilt das Argument von manchmal auftretenden
unerwünschten Wirkungen als Argument, die Tests mit DMPS
oder MDSA ganz wegzulassen. Für Amalgam sollte doch dann
dasselbe gelben: Amalgam ganz weglassen. Aber das BfArM will
es anders.
Speicheltests zum Kauabrieb der Amalgamfüllungen seien auch
nicht empfehlenswert, so das kriminelle BfArM:
<Die Methode des Speicheltests, bei der die
Quecksilbergehalte im Speichel vor und nach dem Kauen von
Kaugummi gemessen werden, ist nicht geeignet, die Belastung
des Organismus durch Amalgamfüllungen zu quantifizieren.
Durch das Kauen entsteht ein Abrieb an
den
Amalgamoberflächen, d.h. im Speichel finden sich vorwiegend
intakte metallische Partikel und anorganisches Quecksilber.
Diese werden nur zu einem geringen Teil im Magen-Darm-Trakt
resorbiert. Auch sind zwei punktuelle Messungen von nur
geringer Aussagekraft, da die Speichelproduktion und -
zusammensetzung grossen Schwankungen unterliegt. Vor allem
ist aber darauf hinzuweisen, dass die für Amalgam
toxikologisch entscheidende Form des dampfförmigen
Quecksilbers durch den Speicheltest nicht erfasst wird.>
(S.12)
Pauschal werden auch noch alle anderen Messmethoden
verurteilt:
<Weitere Methoden wie die Elektroakupunktur nach Voll,
die Bioresonanztherapie, die Kinesiologie oder vergleichbare
Verfahren, die oftmals in Zusammenhang mit Amalgam
angewendet werden, sind zur Abschätzung einer Belastung
durch Amalgam oder andere Stoffe nicht geeignet.> (S.12)
Anders gesagt: Man sollte auf Amalgam verzichten, da die
metallische Belastung durch Amalgam bis heute gar nicht
richtig messbar ist.
Die Giftwirkung von Amalgam
gemäss BfArM
<In seltenen Fällen können bei sensibilisierten Personen
allergische Erscheinungen auftreten, wobei sich die
klassische Amalgamallergie in einer Typ IV-Immunreaktion,
d.h. einer zellvermittelten Reaktion vom Spättyp, äussert.
Diese ist durch Haut- oder seltener Schleimhautreaktionen,
wie z.B. Exantheme, Urtikaria, ekzematöse Hauterscheinungen
oder Stomatitis gekennzeichnet.> (S.13)

Exanthem (Hautausschlag) [11] |

Urtikaria / Urticaria [12] |

Ekzem, z.B. ein atopisches Ekzem am Fuss [13]
|
Das BfArM gibt also schwere Störungen des Organismus durch
Amalgam zu, verniedlicht aber die Gefahr, es handle sich nur
um "eine geringe Zahl von Fällen":
<Trotz der hohen Anzahl weltweit gelegter
Amalgam-Füllungen wird derzeit in der wissenschaftlichen
Literatur nur eine geringe Zahl von Fällen einer sicher
dokumentierten Amalgamallergie beschrieben.> (S.13)
Zahlenangaben und Vergleichszahlen von Jahr zu Jahr
verweigert das BfArM. Das ist nicht nur nicht
"wissenschaftlich". Spätestens ab diesem Punkt wird das
BfArM kriminell. Die Liste der Krankheiten durch Amalgam ist
ausserdem noch nicht fertig, wie das BfArM selbst zugibt:
<Eine weitere, seltene Nebenwirkung von Amalgamfüllungen
sind lokale Symptome an der Mundschleimhaut oder am
Zahnfleisch, die in unmittelbarer Nachbarschaft zu
zahnärztlichen Restaurationen (z.B. Amalgam,
Goldlegierungen) auftreten können. Diese so genannten oralen
lichenoiden Reaktionen zeigen sich als grauweisse nicht
abwischbare Streifen oder Flecke, die oft nur schwach
ausgeprägt sind. Im Unterschied zum echten Lichen planus der
Mundschleimhaut können sich die Symptome oraler lichenoider
Reaktionen nach Entfernung der Füllung zurückbilden. Es wird
empfohlen, in solchen Fällen bei der weiteren Behandlung
nichtmetallische Werkstoffe zu verwenden.> (S.13)
<In Einzelfällen sind elektrochemische Reaktionen infolge
korrosiver Prozesse an Amalgamfüllungen nicht
auszuschliessen, wobei Geschmacksveränderungen
(Metallgemschmack, im Extremfall Stanniolpapiereffekt)
beschrieben wurden. Solche korrosiven Prozesse werden
insbesondere durch den direkten Kontakt von Amalgam mit
anderen, edleren Legierungen begünstigt. Entsprechende
klinische Situationen sind der approximale bzw. okklusale
Kontakt von Amalgam mit anderen metallischen Restaurationen
sowie die Verwendung von Amalgam als Material für
Stumpfaufbauten zur Aufnahme von festsitzendem Zahnersatz
oder als Füllungsmaterial unter Kronen und Inlays. Es wird
empfohlen, auf neue Amalgamfüllungen in solchen Situationen
zu verzichten.> (S.14)
Das kriminelle BfArM behauptet, die Korrosion von Füllungen
würde Strom verursachen. Dabei ist es genau umgekehrt: Der
Strom zwischen den Füllungen fördert die Korrosion. Das
kriminelle BfArM behauptet ausserdem auch noch, der Strom
zwischen den Metallfüllungen sei "nicht aussagekräftig":
<Die Befürchtung weitreichender elektrochemischer bzw.
galvanisch bedingter Störungen durch Amalgam ist dagegen
nicht begründet. So sind die Ergebnisse direkter
Strommessungen zwischen metallischen Restaurationen in der
Mundhöhle, bei denen kurzzeitig hohe Stromstärken gemessen
werden, nicht aussagekräftig, da hier ein Stromfluss über
einen künstlichen Leiter (entsprechend einer
Kurzschlusssituation), der so in der Mundhöhle nicht
vorhanden ist, erfolgt. Der tatsächliche Stromfluss über den
Speichel oder das System Dentin-Pulpa-Kieferknochen ist
aufgrund der hohen Widerstände erheblich geringer. Hinzu
kommt bei Amalgam die Ausbildung einer oxidischen
Passivierungsschicht an der Füllungsoberfläche.> (S.14)
Das kriminelle BfArM verschweigt, dass schon zwischen
Amalgamfüllungen selbst Strom entsteht, auch wenn keine
Füllungen mit anderen Metallen vorhanden sind. Und der Strom
zwischen Metallfüllungen schädigt alle Körperzellen.
Das kriminelle BfArM behauptet auch, Amalgamfüllungen
ergäben keine Quecksilbervergiftung:
<Nach dem gegenwärtigen wissenschaftlichen Kenntnisstand
besteht kein begründeter Verdacht dafür, dass ordnungsgemäss
gelegte Amalgamfüllungen negative Auswirkungen auf die
Gesundheit des zahnärztlichen Patienten haben. Ausnahmen
sind die selten auftretenden lokalen Reaktionen in der
Mundhöhle sowie die sehr seltenen Fälle allergischer
Reaktionen.> (S.15)
Das kriminelle BfArM verweigert somit die Kenntnisnahme
aller wissenschaftlichen Arbeiten über Amalgamopfer, die
nachweislich seit Stock seit 1926 existieren. Jegliche
Zahlenangabe wird verweigert, was "sehr seltene Fälle" genau
bedeutet. Ausserdem heisst "ordnungsgemäss gelegt", dass
viele Zahnärzte die Amalgam-Füllungen eben NICHT
ordnungsgemäss legen, weil sie zu wenig Zeit zur Verfügung
haben. Und "ordnungsgemäss gelegt" heisst auch, dass alle
Amalgamfüllungen alle 6 bis 10 Jahre ersetzt werden müssen,
was aber vielen Leute nicht machen. Somit laufen heute viele
Menschen mit Amalgamvergiftung herum, weil ihre Füllungen
Risse haben und die Menschen von den Rissen keine Ahnung
haben.
Das kriminelle BfArM behauptet, Vergleichsstudien hätten
keine Unterschiede bezüglich Amalgamträger und
Nicht-Amalgamträger erbracht, verweigert dazu aber jegliche
Quellenangabe und Angabe über Ernährung und Lebensführung
bzw. Beruf. Das kriminelle BfArM handelt somit wieder
sträflich unwissenschaftlich:
<Von grosser Bedeutung für die Erfassung und Bewertung
möglicher Gesundheitsschädigungen durch Amalgam sind die
nach wissenschaftlichen Kriterien durchgeführten
epidemiologischen Studien. Eine Untersuchung an 587
schwedischen Zwillingen, bei denen durch das Vorhandensein
einer "Zwillings-Kontrolle" der Einfluss genetischer
Faktoren vernachlässigt werden kann, ergab keinerlei
Hinweise auf eine durch Amalgam hervorgerufene negative
Beeinflussung der körperlichen oder geistigen Gesundheit
(einschliesslich von Gedächtnisfunktionen). Eine Studie mit
129 Nonnen, d.h. einer bezüglich von Umwelteinflüssen sehr
homogenen Population, lieferte ebenfalls keinen Hinweis für
eine Gedächtnis-Beeinträchtigung durch Amalgam. Auch eine
Studie an über 1200 schwedischen Frauen zeigte keinen
Zusammenhang zwischen der Anzahl von Amalgamfüllungen, der
Quecksilberkonzentration im Blut und den berichteten
Symptomen oder Krankheiten wie Diabetes, Herzinfarkt,
Schlaganfall oder Krebserkrankungen. Verschiedene andere
wissenschaftliche Veröffentlichungen kommen zu
vergleichbaren Resultaten.> (S.15)
Das kriminelle BfArM gibt für die zitierten Studien keine
einzige Quelle oder Autor bekannt!
Das kriminelle BfArM kommt zum Schluss, dass man nur bei
"Ausnahmen" auf Amalgam verzichten soll:
<Es ist darauf hinzuweisen, dass es derzeit keinen
wissenschaftlich begründeten Verdacht für ein
gesundheitliches Risiko durch ordnungsgemäss gelegte
Amalgamfüllungen gibt (Ausnahmen siehe oben).> (S.16)
Schlussfolgerung: Amalgam
sofort verbieten, weil man die Belastungen nicht messen
kann - die Widersprüche des kriminellen BfArM
|
Gedankenblitz [14]:
Die Schlussfolgerungen zum hochtoxischen Amalgam
kommen einem von selbst, wenn man berücksichtigt,
dass das kriminelle BfArM die
Quecksilberbelastungen gar nicht messen kann:
Weltweites und absolutes Verbot von Amalgam.
Aber das kriminelle Bundesamt für Arzneimittel und
Medizinprodukte findet immer wieder neue
Ausflüchte, und lässt dabei entscheidende Angaben
und vor allem jegliche Zahlenangaben weg:
|
Das das kriminelle BfArM ist nicht einmal fähig ist, die
Quecksilberbelastung durch Amalgam richtig zu messen. Somit
erscheint diese Gebrauchsanweisung für Amalgam alles andere
als logisch. Logisch wäre ein Amalgamverbot, weil man die
Belastung bis heute nicht messen kann und die "Einzelfälle"
nicht so "einzeln" zu sein scheinen, wie dies das kriminelle
BfArM vorgaukelt. Inzwischen haben sich ganze Zahnarztpraxen
auf das Herausnehmen von Amalgamfüllungen bzw. auf
Amalgamsanierungen spezialisiert...
Man solle erst dann auf Amalgam verzichten, wenn bereits
eine Allergie auf Amalgam existiert:
<Bei einer nachgewiesenen Allergie gegen Bestandteile von
Amalgam darf das Füllungsmaterial nicht angewendet
werden.> (S.17)
Der Mensch muss also zuerst allergisch gegen Amalgam werden,
damit er/sie es nicht mehr bekommt. Das kriminelle BfArM
macht damit die Menschen nachweislich krank.
Kinder soll man vor Amalgam schützen:
<Aufgrund der besonderen Umstände im kindlichen Gebiss
sowie bei der Behandlung von Kindern an sich sollte
indikationsbezogen das entsprechende Restaurationsmaterial
ausgewählt werden. Da Amalgamfüllungen zu einer Belastung
des Organismus mit Quecksilber führen können, sollte aus
Gründen des vorbeugenden Gesundheitsschutzes sorgfältig
geprüft werden, ob eine Amalgamtherapie bei Kindern
notwendig ist. Dies hat unter Berücksichtigung einer
möglichen Belastung durch andere Restaurationsmaterialien zu
erfolgen.> (S.17)
|
Kinder, z.B. in einem
Kinderhaus [15]. Wieso soll man Kinder vor Amalgam
schützen und Erwachsene nicht?? |
Auch Schwangere soll man vor Amalgam schützen:
<Amalgamfüllungen sollen bei Schwangeren möglichst nicht
gelegt oder entfernt werden.> (S.17)
|
Eine Schwangere, hier
mit Babysöckchen [16]. Wieso soll man Schwangere
schützen und andere Erwachsene nicht?? |
Das Ungeborene soll durch Amalgamfüllungen bei der Mutter
nicht geschädigt sein:
<Nach derzeitigem Stand des Wissens gibt es aber keinen
Beleg dafür, dass die Belastung des Ungeborenen mit
Quecksilber aus den Amalgamfüllungen der Mutter
gesundheitliche Schäden beim Kind verursacht.> (S.17)
Ist das kriminelle BfArM mit dieser Aussage nach all den
nachgewiesenen Widersprüchen und Unwissenschaftlichkeiten
noch glaubwürdig? Das Amalgam-Quecksilber kursiert im
Speichel und im Blut der Mutter:
<Im Zusammenhang mit Amalgamfüllungen sind
ausschliesslich das metallische dampfförmige und das
anorganische ionisierte (zweiwertige) Quecksilber von
Bedeutung. Infolge seiner Lipidlöslichkeit kann das
metallische Quecksilber als Dampf über die Atemorgane in die
Blutbahn gelangen [Resorptionsquote: 80%] oder im Speichel
gelöst nach Verschlucken über den Magen-Darm-Trakt
resorbiert werden [Resorptionsquote: 1%]. Während bei
letzterem Weg die Resorptionsquote nur bei ca. 1% liegt,
wird das inhalativ [durch die Atmung] aufgenommene
Quecksilber zu ca. 80% resorbiert.
Die Resorption von anorganischem zweiwertigen Quecksilber
erfolgt über den Magen-Darm-Trakt und liegt bei ca. 10%.
Andere Resorptionswege, wie die über Pulpa [unterer Teil des
Zahns, durch den das Quecksilber ins Zahnfleisch und ins
Blut gelangt], Gingiva [Zahnfleisch] oder
Mundschleimhaut sind mit hoher Wahrscheinlichkeit zu
vernachlässigen.> (S.8)
|
Eine Schwanger mit dem
Ungeborenen, ein Schema [17]. Wenn das Quecksilber
über die Atmung tagtäglich zu 80% aufgenommen wird
und im Blut der Mutter zirkuliert, ist es sehr
wahrscheinlich, dass das Ungeborene dieses
Quecksilberblut abbekommt.
Aber schliesslich meint das BfArM, es sei für eine
Belastung des Ungeborenen mit Amalgam-Quecksilber
"kein Beleg" vorhanden...
|
Darüberhinaus ist gemäss dem Kieler Amalgam-Gutachten
erwiesen, dass das Quecksilber sich auch durch den Zahn
(Pulpa) ins Zahnfleisch verbreitet und so ins Blut gelangt.
Das kriminelle BfArM argumentiert aber nun mit dem Argument,
es sei für die Belastung des Ungeborenen "kein Beleg"
vorhanden. Wenn man die entsprechenden Bücher nicht im Büro
hat, ist im Büro tatsächlich "kein Beleg" vorhanden.
Das kriminelle BfArM gibt an anderer Stelle sogar an, dass
ein "Pulpa-/Dentinschutz" erforderlich sei:
<Unter einer Amalgamfüllung ist ein geeigneter
Pulpa-/Dentinschutz erforderlich.> (S.19)
Dieser Schutz ist erforderlich, damit das Quecksilber sich
nicht durch den Zahn ins Zahnfleisch und so ins Blut
verbreiten kann. Dies wird vom kriminellen BfArM aber
verschwiegen.
Ersatzmaterialien - das
kriminelle BfArM fördert weiterhin Körperverletzung durch
Amalgam und Harze
Das kriminelle BfArM empfiehlt "Glasionomer-Zemente und
Kompositkunststoffe" (S.21), ohne die gefährlichen Harze in
den Kunststoffen zu erwähnen, die inakzeptabel sind.
Das kriminelle BfArM will also Amalgam und
Kompositkunststoffe als "Medizinprodukt" behalten und die
Bevölkerung weiter mit Amalgam, und auch mit
Kunststoffharzen, vergiften, eine planmässige
Körperverletzung. Wer sensibel auf Amalgam ist, soll daran
selber Schuld sein!
So wird das BfArM weiterhin gegen die Krankheiten, die durch
Amalgam und Kunststoffharze entstehen, neue Medikamente
anpreisen prüfen und bewilligen müssen. Die Regierungen sind
nicht fähig, mit diesem Medizinbetrug aufzuräumen!
Damit verbunden sind das
Bundesgesundheitsministerium
in Deutschland und
swissmedic
in der Schweiz. So geht diesen beiden Organisationen
die Arbeit sicher nie aus, wenn die Menschen durch immer
mehr Amalgam-Krankheiten immer kränker werden...
|
Reichstag Berlin [18]
in Sachen Amalgam: Es herrscht noch tiefe Nacht,
bis die Bundesregierung endlich erwacht und
Deutschland mit einem konsequenten Amalgamverbot
vor weiterem Amalgam und Amalgam-Quecksilber
bewahrt. Die deutschen, börsengeilen
Trottelregierungen schaffen das bis heute nicht...
|
 |
Schweizer Regierung,
Bundeshaus in Bern [19] in Sachen Amalgam: Es
herrscht noch tiefe Nacht, bis der Bundesrat
endlich erwacht und die Schweiz mit einem
konsequenten Amalgamverbot vor weiterem Amalgam
und Amalgam-Quecksilber bewahrt. Die schweizer,
börsengeile Trottelregierung schafft das bis heute
nicht...
|
Bezüglich Amalgam und Amalgam-Quecksilber sind diese beiden
börsengeilen Regierungen, die Regierungen Deutschlands und
der Schweiz, absolut hochkriminell.
Es ist eigenartig, dass viele Krankheiten - z.T. schwerste
Krankheiten - erst existieren, seit es Amalgam gibt. Aber in
Deutschland und in der Schweiz wollen die kriminellen,
börsengeilen Regierungen das einfach nicht merken, und auch
in anderen Ländern nicht, wo Amalgam nicht verboten ist. Die
Aktien der Pharmafirmen und von Degussa sind wichtiger als
die Millionen Menschen, die wegen Amalgam krank werden oder
sogar sterben (MS, Alzheimer etc.).
Wenn alle Menschen nur noch Keramik erhalten würden, dann
würde die Keramikfüllung billiger, und niemand hätte mehr
Metalle im Mund, und die Quecksilberverseuchung der Welt
würde bedeutend abnehmen. Aber vielleicht würden dann einige
Regierungen stürzen, und das wollen die kriminellen,
börsengeilen Regierungen doch verhindern...