Kontakt / contact     Hauptseite / page
                principale / pagina principal / home     zurück /
                retour / indietro / atrás / back

Zahnfleisch implantieren: Zahnfleischkorrektur - Zahnfleischtransplantation - frei liegende Zahnhälse abdecken

Vom Zahnfleischrückgang zum Wiederaufbau von Zahnfleisch - Vorteile und Risiken

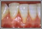
Zurückgegangenes
                        Zahnfleisch
Zurückgegangenes Zahnfleisch und frei liegender Zahnhals
Zahnfleischtransplantation:
                        Angenähtes Fleisch aus dem Gaumenbereich
Zahnfleischtransplantation: Angenähtes Fleisch aus dem Gaumenbereich

(http://www.zahnaerzte-buchloe.de/ZH_Zch.htm)


Zusammenstellung von Michael Palomino (2006)

Teilen / share:

Facebook







aus: Internetbeiträge


Zahnfleischrückgang und die Gründe

-- Zahnfleischrückgang kommt durch Zusammenbeissen der Zähne
(Angabe eines Zahnarzt in Lima)

-- Zahnfleischrückgang kommt meist durch eine längere Zahnfleischentzündung, wenn zu wenig gründlich geputzt wird und die Zahnseide vergessen wird

-- Zahnfleischrückgang kommt aber auch von zu harten Zahnbürsten, wenn zu viel gebürstet wird

(http://www.med1.de/Forum/Zahnmedizin/115801/1/)

-- Zahnfleischrückgang kommt wird durch zu druckvolles Bürsten der Zahnaussenflächen begünstigt

(http://www.arsdentalis.de/symtome/Sym_06.htm)

-- Zahnfleischrückgang ist möglich durch die Zugkräfte von Zahnspangenklammern, diese Kräfte können das Zahnfleisch zum zurückziehen bewegen

(http://www.zahnklammern.de/forum/messages/2267.html)

-- Zahnfleischrückgang ist möglich, wenn Lippenbändchen, Zungenbändchen oder Wangenbändchen zu nah am Zahn ansetzen, ziehen sie das Zahnfleisch nach oben bzw. nach unten

(http://www.med1.de/Forum/Zahnmedizin/115801/1/)

-- Zahnfleischrückgang wird auch durch Rauchen begünstigt

(http://www.med1.de/Forum/Zahnmedizin/115801/2/)


Begleiterscheinung des Zahnfleischrückgangs: Temperaturempfindliche Zahnhälse

Wenn der Zahnhals bis zur Zahnwurzel frei liegt, tritt oft eine Temperaturempfindlichkeit des Zahnhalses auf, denn das Material der Zahnwurzel, der Wurzelzement, ist wesentlich temperaturempfindlicher als der Zahnschmelz. So kommt es zur bekannten heiss-/kalt Empfindlichkeit der Zähne.

(http://www.arsdentalis.de/symtome/Sym_06.htm)


Zahnfleisch streicheln, damit es sich "erholt"

-- weiche Zahnbürste kaufen
-- sanft putzen
->> so erholt sich das Zahnfleisch langsam wieder

(http://www.med1.de/Forum/Zahnmedizin/115801/1/)


Zahnfleischtransplantation: Bezeichnungen

-- Zahnfleischtransplantation, "englisch: gum  graft"; (http://www.wer-weiss-was.de/theme49/article3320144.html)

engl. gum: dt. Zahnfleisch; Gummi
engl. graft: dt. Transplantation (Langenscheidt: Grosses Schulwörterbuch)


Zahnfleischtransplantation: Die Umstände

-- in der Regel wird das neue Fleisch aus dem Gaumenbereich entnommen und dann am Zahnfleisch an der Front angenäht

-- diese Stelle, wo nachher das Zahnfleisch des Gaumens ist, wird immer heller sein als der Rest des Zahnfleisches. Ist aber nicht wirklich schlimm.

-- Auch wichtig zu wissen ist, dass es gerade wichtig ist, dies im Jungen alter zu machen. Je länger du damit wartest, desto höher ist die Wahrscheinlichkeit, dass es das neue Zahnfleisch abstosst und dieser Vorgang (Operation) wiederholt werden muss.

-- Schmerzen sind nicht mal so wild, aber es ist einfach unangenehm

-- gestocktes Blut und des Weiteren ist halt normal

-- die Front ist als erstes schneeweiss

-- nach der Operation kann vorerst nur flüssige Nahrung eingenommen werden.

(http://www.med1.de/Forum/Zahnmedizin/115801/1/)

-- das angesetzte Zahnfleisch bleibt heller als das alte

(http://www.zahnarzt-team.ch/ecm/ecm.cgi?c=behandlung6.html)


Zahnfleischtransplantation: Generelle Aussagen

Es kann durch "spezielle Verfahren der regenerativen, wiederherstellenden Parodontologie sogar ein Nachwachsen des abgebauten Gewebes erreicht werden."
(http://www.zahn-online.de/zahninfo/zahnkosmetik5.shtml)

Es "kann auch zurückgegangenes Zahnfleisch durch Transplantation ersetzt werden."
(http://www.wdr.de/tv/rundum_gesund/sendungen_2003/20030605/schoene_zaehne.jhtml)

"Mit speziellen chirurgischen Verfahren können die Zähne evtl. wieder ganz oder teilweise mit Zahnfleisch bedeckt werden."
(http://www.blzk.de/service/oav10/artikel.asp?lnr=1283)

Transplantierung von Gaumenfleisch als Zahnfleisch

Sogar verloren gegangenes Zahnfleisch kann wieder aufgebaut werden. Dazu wird ein Stückchen Gewebe (z.B. aus dem Gaumen) entnommen und auf die Stelle gelegt, wo es fehlt. Die Entnahmestelle wird vernäht oder wie die Empfängerstelle mit einem Verband abgedeckt. Beide Stellen verheilen in kürzester Zeit symptomlos. Diese Methode wird auch als `Freies Schleimhauttransplantat´ bezeichnet. Gleiches ist auch bei fehlendem Kieferknochen in vielen Fällen möglich."
(http://www.dr-micke.de/aest.htm)

Transplantierung von Gaumenbändchenfleisch oder Gaumenfleisch als Zahnfleisch
-- vom Gaumenbändchen (unten) wird ein Stück entfernt
-- oder für die Auffüllung aus dem Gaumen (oben) etwas "Material" entnehmen
-- Kontakt mit dem verbliebenen Zahnfleisch herstellen.
(http://parodontosehilfe.de/archiv/messages/841.html)

Zahnfleischtransplantation je nach Schweregrad
"Je nach Schweregrad der Rezessionen gibt es verschiedene Techniken der Deckung der Wurzeloberfläche, zum Beispiel
-- Deckung durch Verschiebung der Gingiva
-- oder das Gingivatransplantat.

Gingivatransplantat: Dabei wird meist aus dem Oberkiefer im Gaumenbereich ein Stück Gewebe entnommen, auf den rezessiven Defekt platziert und angenäht. Nach ca. 8 bis 10 Tagen werden die Nähte wieder entfernt.
(http://www.drrschrott.de/leistungen-chirurgie.htm)


Zahnfleischtransplantation
"Bei zu langen Zähnen wird umliegendes Zahnfleisch verschoben oder bei grossen Flächen Gewebe aus dem Gaumen an den Zahnfleischrand angenäht. Beim Transplantieren von Zahnfleisch kann es zu Wundheilungsstörungen kommen, wenn die Mundhygiene nicht stimmt oder der Patient Raucher ist. Die Operationswunden sind einige Zeit recht empfindlich. Die Kosten solcher Zahnfleischoperationen sind je nach Aufwand sehr unterschiedlich."
(http://www.oekotest.de/oeko/bin/hefte/R0357-lp2-Zahnpflege.pdf)


Mögliche negative Folgen von Zahnfleischtransplantationen

--  grosse Zahnfleischtaschen bergen ein hohes Kariesrisiko

-- wenn das Zahnfleisch abgestossen wird, sieht es noch schlimmer aus der Ausgangszustand

(http://www.med1.de/Forum/Zahnmedizin/115801/2/)

-- Rauchen kann nach Zahnfleischtransplantationen Entzündungen im Mundraum provozieren

(http://www.prosieben.de/lifestyle_magazine/swan/episoden/episode_1/)


Zahnärzte, die Zahnfleischtransplantationen durchführen

Dr. med. dent. Manuela Venosta
Eidg. dipl. Zahnärztin SSO (www.sso.ch) (Stand 2006)
Rütistrasse 23, 8636 Wald (ZH)
Telefon
Fax

055 266 26 26
055 266 26 27

(http://www.zahnarzt-team.ch/ecm/ecm.cgi?c=behandlung6.html)
-- http://www.zahnaerzte-buchloe.de bei München (Stand 2006)


Teilen / share:

Facebook



Heilung durch Nahrung - Heilkräuter, Extrakte, Pulver - alles Bio-Vollkorn, kein weisser Gift-Zucker Powershake vom
                                        Regenbogenkreis 
Rohköstlichkeiten (Kekse, Schokolade, Brote, Oliven, Miso etc.)
Regenwaldprodukte (Kräftigung, Heilung und Prävention)
Algen (Ausleitung, Vitamine, Mineralien, Eiweisse, Nährstoffe)
Energetisierung von Wasser (Blumenmuster, Filteranlagen)
Bücher und DVDs (veganes Kochen, Heilen, Geistiges, günstig!) etc.
Regenbogenkreis - Lübeck - Versand: Ganz Europa



^