La dentadura en general
Primero el niño tiene "dientes de leche" que caen paso a
paso después de 6 años, y paso a paso vienen los dientes
permanentes.
Dientes son de calcio, y personas que comen mucho calcio,
automáticamente tienen dientes mejores .
<Un cuerpo humano de 60 kg contiene apr. 1.1 kg de
calcio. 99% de esos 1.1 kg son en los huesos y en los
dientes. El resto de 1% es usado para otras funcionas
vitales como la transmisión de impulsos de los nervios, para
contracciones musculares etc. Cuando no hay ese 1% de calcio
vital diariamente en la alimentación, el cuerpo se toma el
calcio de los huesos> [18] y de los dientes, p.e. cuando
una mujer es embarazada o da leche [17].
Normalmente se deberían ser acogidos apr. 800 mg de calcio.
Comestibles ricos de calcio son (en una forma ligeramente
resorbable):
-- leche
-- productos de leche, sobre todo queso de pasta dura [18].
Prevención contra heridas y inflamaciones bucales y a la
encía es posible por té de manzanilla resp. por un enjuague
bucal [18].
Dientes de leche - la
dentadura de leche
El niño recibe sus dientes de leche (lat.: dentes decidui,
dentes lactales [12]). Cuando sale un diente eso es llamado
una "dentición" [12].
Unos dientes de leche singulares pueden existir ya desde el
nacimiento - eso es por un factor hereditario. Esos dientes
son llamados "dens natalis" [12]. En ese caso la dentición
sucedió ya antes del parto [12].
La arqueada antes de la salida se llama "quiste de
dentición" (es una gibosidad de la "bolsa del diente")
[12].
Considerando la ortodoncia es muy importante que todos los
dientes de leche son bien conservados [6].
Un modelo en color de una dentadura de leche, con
dientes incisivos, dientes caninos y dientes
molares.
|
x
|
La dentadura de leche (dentadura infantil) en una
esquema de color con las indicaciones cuando más o
menos salen: los dientes incisivos centrales salen
con 6-8 meses, los segundos dientes incisivos
salen con 8-12 meses, los primeros dientes molares
salen con 12-16 meses, los dientes caninos salen
con 16-20 meses, y los segundos dientes molares
salen con 20-24 meses [16]. Son 10 dientes de
leche en cada hueso, en total son 20 dientes de
leche [6].
|
Fiebre puede provocar salidas de dientes porque cuando hay
fiebre va ser también un metabolismo más activo [28].
Salida de los dientes
permanentes [28]
|
Salida de los
dientes permanentes
Sobre resp. debajo de los dientes de leche esperan
los dientes permanentes, resp. los dientes
permanentes expulsan los dientes de leche en la
niñez y en la juventud [16].
|
La dentadura con los dientes de leche y con los dientes
permanentes al mismo tiempo es llamado la "dentadura en
cambio". Hay algunos factores para considerar:
a) cuando sale un nuevo diente, el esmalte dental todavía no
ha terminado su proceso de maduración
b) lo más existen superficies dentales, lo más brotes
existen
c) los dientes tienen menos abrasión cuando los dientes
todavía no están en sus posiciones final, y por eso más
sarro es posible [26].
Dientes de leche pueden dejar más tiempo que normal. Se
habla pues de una persistencia de dientes de leche. Eso va
ser p.e. cuando faltan dientes permanentes o cuando dientes
permanentes han movido a un otro lugar [20].
Los dientes permanentes -
la dentadura permanente ("dentadura adulta")
La "dentadura permanente" (lat. dentes permanentes [12])
pues tiene más dientes (16+16=32) [12]. La dentadura de
leche solo tenía 20 dientes que van ser reemplazados por 32
dientes fuertes [6]. Son 12 dientes más, y son llamados
"dientes de aumento" [28]. También difusiones de dientes son
posibles, de manera que van ser menos dientes en total [28].
En ciertas culturas los dientes frontales van ser tallado
[28]. Algunos dientes tienen - por razón genética - una
corona dental reducida y pues parecen como raigones
dentales, llamados también "dientes espigas" [39].
|
Dentadura
("dentadura permanente" de personas adultas), el
hueso maxilar, esquema [12]
|
Un modelo en
color de una dentadura permanente de una persona
adulta con dientes incisivos, dientes caninos y
dientes molares y las muelas del juicio
|
![La dentadura adulta en una esquema en
color con indicaciones de los años cuando salen
los dientes más o menos: los primeros dientes
molares (muelas) con 5-6 años, los dientes
incisivos centrales con 6-8 años, los segundos
dientes incisivos von 7-9 años, los primeros
premolares con 9-11 años, los segundos
premolares con 10-12 años, los dientes caninos
con 11-13 años, los segundos dientes molares
(muelas) con 12-17 años, los terceros molares
(muelas del juicio) con 18-30 años [16]. La dentadura adulta en una esquema en color
con indicaciones de los años cuando salen los
dientes más o menos: los primeros dientes
molares (muelas) con 5-6 años, los dientes
incisivos centrales con 6-8 años, los segundos
dientes incisivos von 7-9 años, los primeros
premolares con 9-11 años, los segundos
premolares con 10-12 años, los dientes caninos
con 11-13 años, los segundos dientes molares
(muelas) con 12-17 años, los terceros molares
(muelas del juicio) con 18-30 años [16].](d/merkblatt-zahnfehlstellungen-d/gebiss-erwachsene-farbiges-schema-m-jahresangaben-ESP.jpg)
La dentadura
adulta en una esquema en color con indicaciones
de los años cuando salen los dientes más o
menos: los primeros dientes molares (muelas) con
5-6 años, los dientes incisivos centrales con
6-8 años, los segundos dientes incisivos con 7-9
años, los primeros premolares con 9-11 años, los
segundos premolares con 10-12 años, los dientes
caninos con 11-13 años, los segundos dientes
molares (muelas) con 12-17 años, los terceros
molares (muelas del juicio) con 18-30 años [16].
Normalmente el primer diente molar de los
dientes permanentes sale con 6 años y
adecuadamente es llamado el "molar de 6 años" o
simplemente "el 6" [22].
Las muelas del juicio son llamado también
serotinus, plural serotini, lat. dentes serotini
[22].
Dientes espigas
son dientes que - por razón genético - tienen
una corona dental reducida
y tienen una forma de tronco, como aquí los
segundos dientes incisivos en la foto.
|
Más nombres para los
dientes ("idioma del dentista")
-- dientes incisivos (lat.: dens incisivus, pl. dentes
incisivi) [12]
-- colmillos [12], canino [6], (lat.: dens caninus) [12]
-- premolares (lat.: dens bicustildatus, dens praemolaris)
[12]
-- molares, muelas, (lat. dens molaris, pl. dentes molares),
son los dientes los más grandes con superficies con muchos
remolones [12]
-- muelas del juicio (lat.: dens sapientiae, dens serotinus)
[12]
![Dentadura ("dentadura
permanente" de personas adultas),
mandíbula, esquema [12] Dentadura ("dentadura permanente"
de personas adultas), mandíbula, esquema [12]](d/merkblatt-zahnfehlstellungen-d/gebiss-unterkiefer-schema-ESP.jpg)
|
Dentadura
("dentadura permanente" de personas adultas),
mandíbula, esquema [12]
dientes incisivos - colmillos - premolares -
molares - muelas del juicio
|
La posición dentaria
La posición dentaria con una dentadura bien desarrollada es
la psalidodoncia.

Mordida normal (psalidodoncia), esquema
El desarrollo del hueso maxilar con el niño
El desarrollo de grandes
huesos maxilares con el pecho de la madre - huesos
maxilares demasiado cerrados por alimentación de biberón -
el desarrollo del maxilar que falta por el biberón con
chupetes que funcionan demasiado fácilmente
Normalmente el bebe recién nacido tiene una mandíbula muy
corta. Cuando el bebe va tomar leche al pecho de la madre,
eso va ser equilibrado, porque el bebe tiene que chupar
fuertemente lo que es un impulso de crecimiento y los dos -
el hueso maxilar y la mandíbula - van ser bien desarrollados
y más tarde todos los dientes permanentes van encontrar
bastante espacio.
Pero cuando el niño recibe alimentación de biberón con un
chupete chiquito y apuntado, pues el bebe no tiene que
chupar fuertemente, y así no va ser una buena formación de
la boca, y los huesos maxilares quedan demasiados chiquitos.
Así muchas veces los niños con biberones desarrollan un
mentón subdesarrollado y un maxilar cerrado, la boca va ser
mucho demasiado chiquito, y la lengua se mete entre los
dientes frontales resp. se mueve de frente. La cara queda
delgada y también la nariz con sus vías respiratorias
superiores queda delgada lo que provoca muchas veces vías
respiratorias cerradas y una respiración por la boca. Como
niño entre 2-5 años una prótesis bucal puede corregir el
desarrollo de los dientes molares. Desde 6 años va ser un
aparato, el bionador [2].
Dar
leche, alimentación de biberón y
desarrollo de los huesos maxilares
|
|
Dar leche al
bebe por mucho tiempo es la óptima condición
para un buen desarrollo de la cara del bebe
porque el niño tiene que chupar fuertemente y
por eso el crecimiento del maxilar es bien
provocado. Más tarde todos los dientes tienen
bastante espacio pues [2].
|
x
|
Cuando el bebe
va crecer con el biberón, el bebe no solo tiene
que aceptar una alimentación de segunda calidad,
pero el bebe chupa tan ligeramente que no hay
impulso de crecimiento para los huesos maxilares
y el desarrollo de los huesos maxilares, y así
no hay impulso de desarrollo de la cara. Los
huesos maxilares y la cara van ser mucho
demasiado delgados y más tarde los dientes
permanentes no tienen bastante espacio pues [2].
|
|
La prótesis
bucal es aplicado con pequeños niños para
desacostumbarlos de chupar el dedo y para
correcciones de huesos maxilares demasiados
delgados y para corregir posiciones dentarias.
Cuando el bebe va ser alimentado al pecho de la
madre no va ser un desarrollo demasiado delgado
de los huesos maxilares [3].
|
|
El aparato
"bionador" puede ser aplicado por el niño
durante su tiempo escolar [2].
|
![En África mucha gente no tienen ningún
problema con posiciones dentarias porque tienen
huesos maxilares anchos porque a todos los niños
va ser dado el pecho dela madre [8]. Además en
África se come huevos con las cáscaras y así
siempre hay bastante calcio en el organismo y
los dientes van ser muy fuertes... [17] En África mucha gente no tienen ningún
problema con posiciones dentarias porque tienen
huesos maxilares anchos porque a todos los niños
va ser dado el pecho dela madre [8]. Además en
África se come huevos con las cáscaras y así
siempre hay bastante calcio en el organismo y
los dientes van ser muy fuertes... [17]](d/merkblatt-zahnfehlstellungen-d/breites-gebiss-afrika.jpg)
En África mucha gente no tienen ningún problema
con posiciones dentarias porque tienen huesos
maxilares anchos porque a todos los niños va ser
dado el pecho de la madre [8]. Además en África se
come huevos con las cáscaras y así siempre hay
bastante calcio en el organismo y los dientes van
ser muy fuertes... [17]
|
Considerando que en el "mundo civilizado" del Oeste dar
leche a un niño es calificado como una acción erótica o como
una acción impopular y por eso es censurado o aun es
parcialmente prohibido en la publicidad, y considerando que
por eso niños no reciben mucha leche de la madre o las
madres no dan ninguna leche al bebe, así es claro que los
huesos maxilares en los paises de la "civilización" muchas
veces son demasiados pequeños y que hay siempre más
problemas con posiciones dentarias y más o menos siempre se
tiene que operar las muelas del juicio. Poblaciones adonde
las madres dan mucha leche no tienen esas problemas "del
juicio"... [8].
Malformaciones dentarias
Las malformaciones
dentarias y las consecuencias
Malformaciones dentarias son posiciones que alteran de la
posición dentaria ideal del arco dental. Eso son dientes
volteados, dientes inclinados, o malformaciones completas
[7].
Malformaciones dentarias pueden provocar caries o pueden
formar focos infecciosos porque los dientes parcialmente no
son accesibles más con el cepillo [8].
Dientes inclinados pueden impedir a tomar la comida, y
pueden provocar alteraciones del lenguaje [29].
Es importante a saber algo sobre malformaciones dentarias
para darse sí mismo un diagnóstico y para saber cuando falta
una corrección con el dentista, porque malformaciones
dentarias no deben ser de todo [1].
Cada malformación está con la denominación "oclusión
traumática", quiere decir "defecto de dentellada" [24],
traducido al pie de la letra más o menos significa "proceso
de cerramiento irregular" de la dentadura superior y
inferior [8].
Trauma de diente de leche
(caída dental múltiple con accidente) y malformación
dentaria por consecuencia
Después de accidentes (muchas veces después de caídas en el
ambiente privado) con pérdidas de dientes parciales o con
pérdidas de dientes completas (casi siempre los dientes
incisivos son afectados) no es improbable que eso provoca
malformaciones a los dientes quedantes. Cuando no van ser
medidas, así van ser consecuencias para la dentadura más
tarde: rebordes del encía, descolorimientos del esmalte
dental y salidas movidas de dientes permanentes [23].
Pérdidas de dientes son cambios en el aparato dental por
violencia, resp. son "paradontopatías traumatógenas" [24].
Pueden formarse dientes de hoz (dientes en forma de hoz,
dens falciformis), quiere decir que los dientes incisivos
van crecer con una raíz que es inclinada en la región del
cuello del diente, causado por una éxtasis de brotes durante
un trauma de dientes de leche [22].

En esa foto se ve los primeros dientes incisivos
como dientes de hoz, dientes "inclinados", "doblados".
Malformación dentaria
"mordida abierta" ("dentellada abierta") por chupetes o
por mucho tiempo de chupar el dedo - "habits"
Una primera malformación dentaria puede desarrollarse ya en
la niñez por costumbres falsos (ingl. "bad habits"). Esos
falsos costumbres son: chupar el dedo, chupar al labio resp.
morder el labio [4] o chupar permanentemente al biberón o al
chupete [5]. Por eso los primeros dientes incisivos van ser
levantado, el hueso maxilar se desarrolla falsamente, y pues
la dentadura tiene un grande "hueco" frontal [8].
![Malformación dentaria por demasiado
chupar a biberones (chupete de biberón),
chupetes (chupetes de tranquilización) y por
chupar demasiado el dedo [5]: Los primeros
dientes incisivos van ser levantado [8]. Malformación dentaria por demasiado chupar
a biberones (chupete de biberón), chupetes
(chupetes de tranquilización) y por chupar
demasiado el dedo [5]: Los primeros dientes
incisivos van ser levantado [8].](d/merkblatt-zahnfehlstellungen-d/sauger-u-daumenlutschen-schema-ESP.jpg)
Malformación
dentaria por demasiado chupar a biberones
(chupete de biberón), chupetes (chupetes como
tranquilizante) y por chupar demasiado el dedo
[5]: Los primeros dientes incisivos van ser
levantado [8].
|
x
|
![Por chupar demasiado el dedo o chupar al
biberón o al chupete de tranquilización se forma
la malformación dentaria de la "mordida
abierta" con los dientes permanentes [5]. Por
chupar demasiado el dedo o chupar al biberón o
al chupete de tranquilización se forma la
malformación dentaria de la "mordida
abierta" con los dientes permanentes [5].](d/merkblatt-zahnfehlstellungen-d/offener-biss-wegen-daumenlutschens.jpg)
Por chupar
demasiado el dedo o chupar al biberón o al
chupete de tranquilización se forma la
malformación dentaria de la "mordida abierta"
con los dientes permanentes [5].
|
Malformación dentaria de
protrusión y la posición mesial
![Protrusión o sobre mordida
horizontal o dientes superiores salidos: La
mandíbula no es bien formada, el maxilar
superior es mucho más grande que la mandíbula
[32] Protrusión o sobre
mordida horizontal o dientes superiores salidos:
La mandíbula no es bien formada, el maxilar
superior es mucho más grande que la mandíbula
[32]](d/merkblatt-zahnfehlstellungen-d/distalbiss.jpg)
Protrusión o
sobre mordida horizontal o dientes superiores
salidos: La mandíbula no es bien formada, el
maxilar superior es mucho más grande que la
mandíbula [32]
|

Posición mesial: La mandíbula es mucho más grande
que el maxilar superior
|
La ortodoncia puede ampliar los huesos maxilares con
aparatos [25].
Malformación dentaria
Mordida cerrada anterior (sobre mordida vertical profunda)
[32]
Los dientes incisivos superiores recubren los dientes
incisivos inferiores por más que 3 mm y apenas se ve los
dientes incisivos inferiores [24].
|
Malformación
dentaria Mordida cerrada anterior (sobre
mordida vertical profunda) (Foto de la oficina
de Dr. Kuster). |
Malformación dentaria
apinamiento
Apinamiento es llamado la falta de espacio de los dientes en
un hueso maxilar demasiado chiquito [6]. Los dientes
maxilares van a ser demasiado chiquitos
-- cuando no hay bastante impulso de crecimiento cuando la
madre no da el pecho al bebe pero solo da el biberón [2]
-- por la pérdida de dientes de leche en la niñez entre 2-5
años por caries de biberón de manera que los dientes de
leche no cubren más sus puestos [5].
Un apinamiento p.e. puede dificultar la salida de dientes
("salida de diente difícil") [6]. Consecuencias pueden ser
-- salidas de dientes a falsas posiciones cuando dientes
permanentes bloquean posiciones de otras salidas de dientes
permanentes [8]
-- dolores fuertes
-- inflamaciones fuertes y fiebre [6]
El apinamiento puede provocar caries o puede formar focos
infecciosos porque los dientes parcialmente no son
accesibles más con el cepillo [8].

Apinamiento de
los dientes, una vista frontal: Un apinamiento
de los dientes va ser cuando el bebe solo recibe
su alimentación por el biberón y así fue siempre
fácil a chupar. Así eso no provoca un grande
crecimiento del maxilar. Más tarde los dientes
no tienen bastante espacio [2] y la dentadura
parece a cereales [8].
|

Apinamiento de una mandíbula, una vista de arriba
(con la vista a los superficies, lat. facies [7])
|
En el caso de un apinamiento por huesos maxilares demasiados
chiquitos se tiene que eliminar dientes en muchos casos
("terapia de extracción") para crear nuevos puestos para
otros dientes en una bella dentadura [6]. Ese procedimiento
tiene como condición una foto radiográfica, ANTES que los
últimos dientes han salido, pues eso significa que se
necesita una foto radiografía panorámica en el edad de apr.
11 años [8]. El espacio necesario para los últimos dientes
que no han salido todavía (caninos y premolares) va ser
calculado con la "tabla Huckaba" [9]. Cada extracción está
en conección de un grande riesgo de infección [10].
También es posible extender el hueso maxilar con un
aparato (aparato Y) [27].
En caso de dientes que no han salido todavía van ser
extraido dientes a fin de que los dientes que faltan pueden
salir todavía ("terapia de extracción controlada") [6].
Cuando los dientes salen pero no hay espacio, así van crecer
fuera del arco dental y pues van estar en una "falsa
posición" [1].
Cuando los dientes permanentes no pueden salir a causa de
dientes en falsas posiciones, así los dientes no pueden
llegar el nivel de mascar y van estar - según la manera de
vista - en una "alta posición" resp. en una "baja posición",
llamado con un extranjerismo en una "retención media" [9].
Dientes afectados son dientes frontales del arco dental que
salen como los últimos, pues son casi siempre los colmillos
(caninos) [8]. Dientes apretados son "dientes impactados".
Eso es el caso sobre todo con las muelas del juicio [10].
En caso de dientes que faltan se habla de una hipodoncia.
Cuando hay demasiados dientes se habla de una hiperodoncia
[9], lo que es una "superioridad numérica dentaria"
constitucional [11].
Malformación dentaria con
dientes volteados
Existen dientes que giran alrededor de su eje y pues están
en una falsa posición en la dentadura. Eso es una "posición
girada" [12].
|
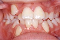
Cuando los dos dientes incisivos
frontales no tienen bastante despacio, así salen
muchas veces en una "posición girada céntrica", la
posición llamada "posición de reja". Además se ve
en la foto muchas manchas blancas, precursores de
caries, y grandes caries entre los dos premolares
[13]. |
Pero también colmillos (caninos) o molares pueden llegar a
una posición girada.
|
Aquí se ve un segundo diente incisivo
arriba al lado izquierdo en una posición girada
"saliendo el arco dental". |
Mordida bis a bis
|
Con una mordida bis a bis los bordes de
los dientes incisivos y los puntos de los dientes
molares se tocan y se desgastan mutuamente. |
Mordida cruzada lateral
|
Con la "mordida cruzada" [30] cuando se
trata de una "mordida cruzada lateral" los molares
inferiores están en una posición más afuera que
los molares superiores. Los pitones al lado de la
mejilla ("pitones bucales") de los molares
inferiores no son cubiertos [31]. |
Nonoclusiones (dientes que
no se tocan, no cierren los dientes superiores con los
dientes inferiores)
|
Con esa nonoclusión
una hila dental completa está "al lado" |
 |
Con esa nonoclusión
los colmillos (caninos) están libre en el aire.
Los padres no han hecho ningún control
radiográfico cuando el niño tenía 11 años, y pues
los caninos - que salen como los ulteriores de los
dientes frontales - han salido al lado de los
dientes incisivos. Con un control radiográfico con
11 años eso no había ocurrido, pero el hueso
hubiera sido agrandado o habría sido posible
eliminar los segundos dientes incisivos para crear
espacio para los caninos [14]. |
Mordida cruzada frontal
|
Con la mordida
cruzada frontal los dientes incisivos inferiores
están antes de los dientes incisivos superiores |
Mordida abierta lateral
|
Con la mordida abierta lateral los molares
superiores no llegan a los molares inferiores. |
Dientes "movidos"
Cuando faltan dientes en la dentadura, así van avanzar los
dientes vecinos. Eso siempre va ser en dirección "avanzada"
en dirección a los dientes incisivos ("movimiento mesial")
[19].
Subsanación y prevención contra malformaciones
dentarias
Dar leche del pecho para el
desarrollo de los huesos maxilares del bebe
Cuando muchos bebes van ser criados con el biberón, así los
huesos maxilares van ser más chiquitos y las malformaciones
dentarias van ser más [15]. Dar leche al bebe a un pecho
femenino por mucho tiempo es la mejor prevención pues a fin
de que los niños más tarde desarrollan grandes huesos
maxilares de manera que todos los dientes tienen bastante
espacio [8].
Fotos radiográficas para
controlar las condiciones espaciales
Con un sistema de control dental durante el tiempo escolar
por un control nacional dental en una clínica dental escolar
con fotos radiográficas se puede prever muchas
malformaciones dentarias y se puede tomar medidas antes con
la eliminación de ciertos dientes, p.e. para dar espacio a
los colmillos (caninos) importantes, o para la corrección
del hueso maxilar con aparatos [15].
Cursos obligatorios para padres así saben educar a
sus niños protegiendo las posiciones dentales
En cursos obligatorios para padres se puede informar antes
del primer niño sobre la conexión problemática de la
alimentación de biberón, chupetes y chupar el dedo con el
desarrollo del hueso maxilar del niño [8].
Los gobiernos que no tienen
ninguna idea tienen que ser enseñados
Pero tanto que los gobiernos no se dan cuenta que la
alimentación de biberón provoca un mal desarrollo de los
huesos maxilares con el niño, y tanto que eso no está
escrito en el biberón, así siempre van a ser niños con
huesos maxilares subdesarrollados, y los niños van sufrir
mucho pues, y también el monedero de los padres va sufrir
mucho - pero esos padres han pensado que se puede rechazar a
dar la leche del pecho femenino al bebe [8].